Avinash Jha MD FNB FFICM
@Dr_AvinashJha
Followers
107
Following
243
Media
23
Statuses
107
Please click the link for the case report published by us https://t.co/3n7iwSGIPa
cureus.com
Pulmonary embolism (PE) represents a significant cause of preventable death among critically ill patients, with the immediate diagnosis impaired by the presence of hemodynamic compromise and lim...
0
0
1
Is that a clot or vegetation? #MedTwitter #Cardiology #echofirst @pocusmeded @WINFOCUS @Echo_Masters @Crit_Care @POCUSJournal @ICS_updates
1
0
0
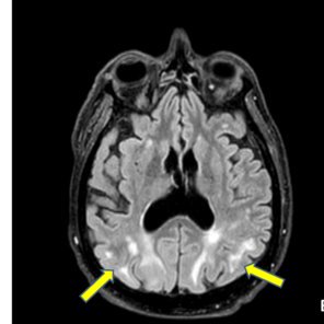
A rare cause of PRES secondary to EPO analogue. Our case report https://t.co/BfjiqvYsQW
cureus.com
Posterior reversible encephalopathy syndrome (PRES) is a potentially life-threatening but reversible neurological disorder. Commonly seen in the intensive care unit (ICU), PRES can arise from un...
0
5
9
📖Transcranial ultrasound in the critically ill patient: a narrative review🧠 - The Past, Present and Future! 🔗 https://t.co/4Kcp0EptST
#TCD #TCCD #Ultrasound #IntensiveCare #CriticalCare #POCUS #NeuroPOCUS #FOAMed #NeuroICU #Neurosonology #Neuroultrasound
@ICMexperimental
0
13
24
#criticalcare
@ANWICU
#icu
#MedTwitter
@IM_Crit_ Is this a new ray of hope for Alteplase? with a higher risk of ICH Alteplase for Acute Ischemic Stroke at 4.5 to 24 Hours
jamanetwork.com
This randomized clinical trial examines the safety and efficacy of intravenous alteplase administered 4.5 to 24 hours after stroke onset in patients with salvageable brain tissue.
0
0
0
The FICM Portfolio Pathway (CESR) Workshop will be held online on Monday 7 July 2025. Don't miss out! Register here: https://t.co/XSXIHWsYlb
0
5
8
1/2🏅 A UK first for our Intensive Care team Congratulations to Dr Avinash Jha, who has become the first ICU Consultant in the UK to achieve the prestigious European Society of NeuroSonology and Cerebral Hemodynamics (ESNCH) certification.
1
3
25
An excellent endeavour by the team at King's. This is surely the future. I clearly see the reason for intensivists to attend this.
We are looking forward to our second #Neuro #POCUS course on July 1st. It's been 10 mths since our original workshop! We will cover @esicm #genius and most probably #fusic #neuro (when it gets released) Click on link for Timetable/learning outcomes. 👇 https://t.co/w7LYMJ5agZ
0
0
2
#nightcrawler #Budapest #reflections @neurosonology #CityLife @RMJCashmore reflections, as good as they can get. Thanks to the ESNCH team for conducting an excellent conference
0
0
1
🧠 Prof. @GaramiZsoltMD demonstrating a PFO detection test at #ITC2025 in Budapest! Hands-on experience is key to advancing neurosonology. #WON #ESNCH #Neurosonology #Stroke #MedicalEducation #Budapest
0
3
7
It's been fantastic at #ESNCH @neurosonology ITC in Budapest🇪🇺🇭🇺 Great sessions! Proud that myself and @Dr_AvinashJha passed our exams......not bad for a couple of 🇬🇧Intensivists! Looking forward to learning more from Neurology & #Neurosonology colleagues! #CritCare #NeuroICU
3
2
8
B-ICONIC Consensus. A proposal to apply non invasive methods to help managing TBI when invasive tools are not available
4
27
82
Huge congratulations to our consultant @shond3 on his appointment as President of @ICS_updates. Very well deserved and very exciting!
1/3 We are delighted to celebrate Professor Shondipon Laha, Critical Care Consultant at Lancashire Teaching Hospitals, on his appointment as the new president of the Intensive Care Society.
1
2
30
Today's Paper of the Day is on cardiac output monitoring: technology and choice https://t.co/JKgcYjlUQ5 Join us to read 1 paper per day and stay up-to-date as we cover the spectrum of critical care across 2024
0
54
173
I’ve been a member for over 20 years and I am very grateful for this opportunity to support an incredible community. Couldn’t do it without @ajroper55 ! @LancsHospitals
@CritcareLTHTR @ANWICU @BAPIOUK
We're thrilled to announce that @Shond3 has officially taken up the post of our President Elect at our Annual Members Meeting this evening!
21
11
89
FICM are hosting a virtual event to discuss the changes to the Portfolio pathway (CESR), how to submit a successful ICM application and what the assessors’ are looking for. Follow this link to book onto the event: https://t.co/KUKoo8dHhc We look forward to seeing you there.
0
7
12
#POCUS #MedTwitter @yourICM @ICS_updates @CritcareLTHTR @Shashi_bc @shond3 #radiology Brain ultrasound- focused TCD with features of high ICP and poor perfusion. Confirmed on CT brain that showed devastating brain injury.
0
1
3
Today we’re launching our updated CVC Insertion Safety Checklist alongside @ICS_updates. It takes into account learning from patient safety incidents arising from this common procedure in ICU. See https://t.co/AA4nNvOOjG for more.
2
24
43