
Fedaa Najdawi MD
@DrFedaa
Followers
648
Following
612
Media
20
Statuses
431
Director of Informatics & Digital Pathology at Vanderbilt. GI Pathology, Digital and AI-powered Pathology
Nashville, TN
Joined December 2009
At #PathVision2025 conference! Always a great space to exchange ideas and connect. #digitalpathology #artificialIntelligence
0
0
0
Exciting discussions and collaboration over the past two days with the CAP DCPC and AI Committees ahead of #PV25!
Ahead of Pathology Visions 2025, the CAP Digital and Computational Pathology Committee (DCPC) and AI Committee held a dynamic joint meeting. The collaboration and energy were fantastic! #PV25 @Pathologists @dpatweet @MoffittNews @IHC_guy @MeredithKHerman
0
1
2
Making Sense of AI: A Beginner's Guide for GI Pathologists by Fedaa Najdawi @harvardmed 's Frontiers in GI and Hepatobiliary Pathology Course
0
3
5
Thank you @Vik_deshpandeMD and @Mvgs1706 for the invite to speak at today’s “Frontiers in GI & Liver Pathology” HMS @harvardmed course. It was a pleasure demystifying #AI and its application in #GIPath for pathologists.
0
1
10
Learning AI from a pathologist. 🤗
“Making Sense of AI: A Beginner's Guide for GI Pathologists” by Dr. Fedaa Najdawi! Don't miss this insightful talk!  @Mvgs1706 @Vik_deshpandeMD @BIDMCpath #FIGHP
0
6
16
Thrilled to share I've started a new role as Medical Director of Informatics & Digital Pathology at @VUMChealth! Grateful to my colleagues at @PathAI for an incredible journey advancing AI-powered pathology Excited for this new chapter! #Informatics #DigitalPathology #Vanderbilt
2
0
6
Dear colleagues and friends, as I am sure all of you know, my mentor, colleague, and friend Dr. Chris Fletcher passed away last month. Several of his friends are initiating a fundraising activity through the USCAP Foundation to support an annual award in his name at the USCAP
2
69
145
As pathologists, we need to do all we can to raise awareness of our specialty in the #medicalstudent community. I’d like to invite you to amplify your impact by joining the @Pathologists #FuturePathologistChampions community. https://t.co/903C8Fss6F As a Champion, you’ll play a
4
33
76
It's just antral mucosa with reactive gastropathy, but you could open a bottle of Pouilly-Fuissé with those corkscrew-shaped glands. #umiamipath
3
32
193
Congratulations to all of this year's #40UnderForty honorees! #40UnderForty awards the top innovators whose achievements provide new pathways forward in the lab. Review the gallery to see who made the top 40 and cast your vote on who advances to the top 5: https://t.co/zU1vdfand9
2
16
35
Your vote not only supports me, but also reinforces the importance of innovation and precision in pathology. I am proud to be part of a community dedicated to pushing the boundaries of traditional pathology.
0
0
1
Honored to be selected as one of @ASCP_Chicago's 40 Under 40 in pathology! Grateful for the support of my incredible team at @PathAI. ASCP is inviting votes for the Top 5, and I’d appreciate your support! Vote here: https://t.co/B90JWaypN8
#ASCP40Under40 #PathTwitter
woobox.com
Recognize the brightest emerging leaders and innovators of pathology, laboratory medicine, and ASCP by voting!
8
3
25
Duodenal taxane effect . The patient was given an infusion of paclitaxel (Taxol) the day before the sample was obtained. A ring mitosis (arrow) and an apoptotic body (two arrows) are indicated; a vintage reference is below. #UMiamiPath PMID: 18300801.
1
37
120
Looking forward to sharing some of the recent innovative work at @PathAI on AI-powered pathology in the GI space. Thank you @AIGImed’s organizing committee for the invite. #AIpoweredPathology #Medicalinnovation #precisionmedicine
Excited to announce @Path_AI as a Bronze sponsor for #AIGI2024! Director of Pathology, @DrFedaa will present on AI in GI pathology. PathAI’s innovative work is accelerating research into #IBD, #IBS, & #ColorectalCancer. DM to sponsor & support AI in GI!
0
4
8
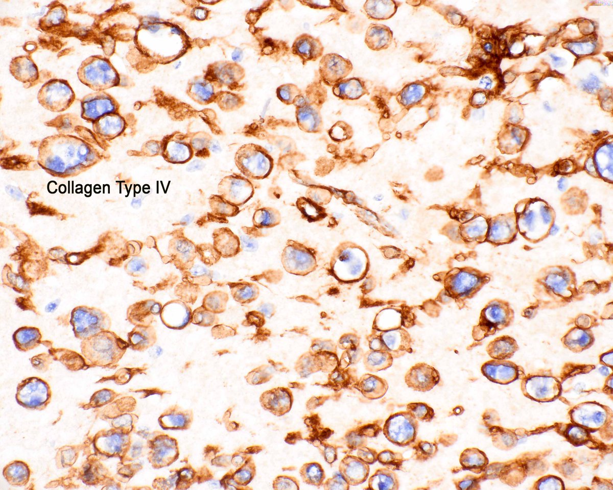
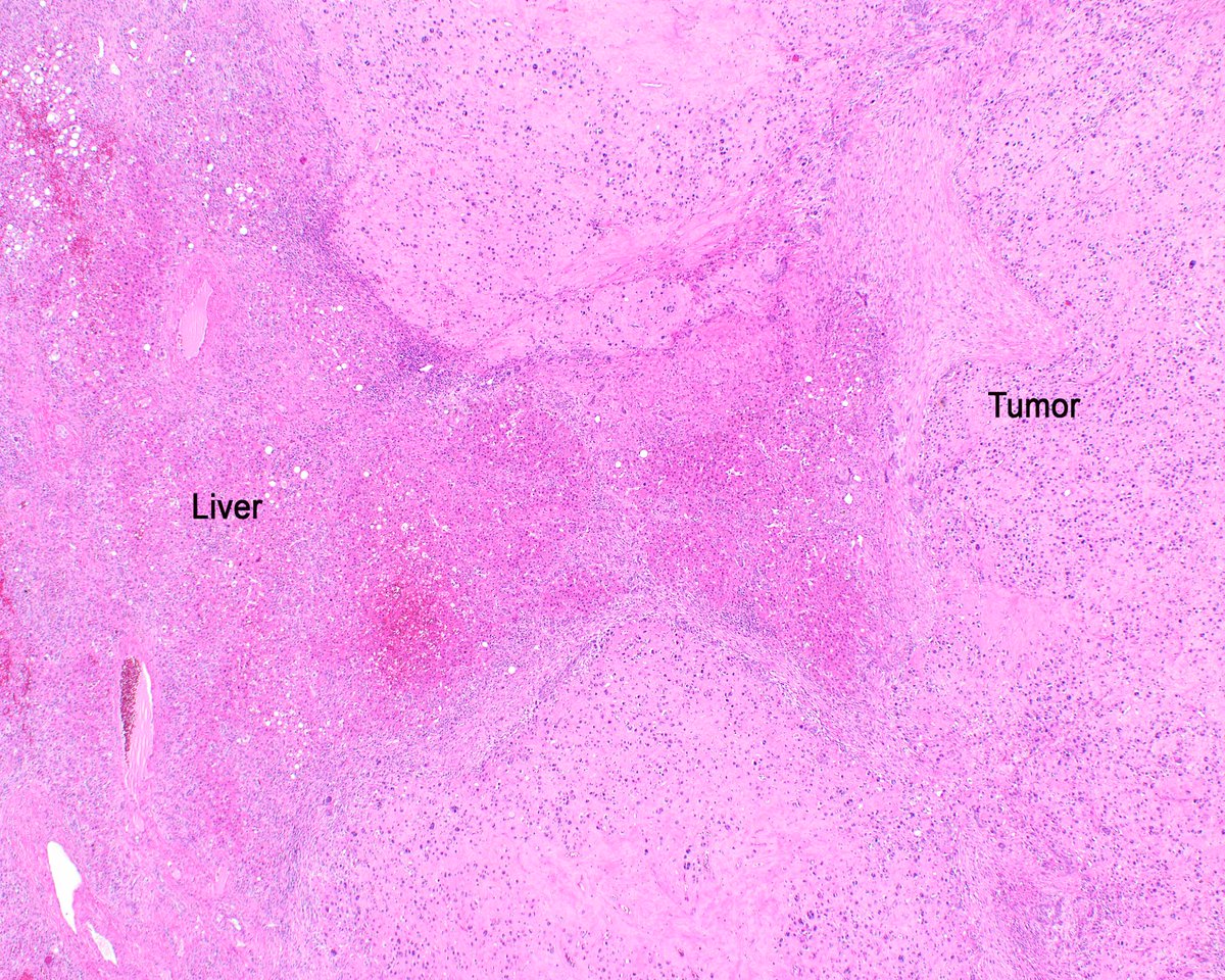
Hepatic metastasis of gastric malignant gastric glomus tumor. The primary harbored a NOTCH2-MIR143 fusion; actin and basement membrane labeling around each cell using collagen IV stains are confirmatory. Without history, the top choice would be treated GIST. #umiamipath
3
62
149
"Precision medicine is the practice of getting the most suitable drug or treatment option to each individual patient at the right time. In Crohn's disease and ulcerative colitis, we need to learn more about the diversity of patients to deliver precision medicine."
0
0
0
This comprehensive document highlights significant gaps in inflammatory bowel disease (IBD) research and offers actionable strategies to address them.
1
0
0
I am pleased to share our recently published manuscript, by the precision medicine working group of the @CrohnsColitisFn "Challenges in IBD Research 2024: Precision Medicine" https://t.co/GnbpDHrKuW
#IBDResearch #PrecisionMedicine
#Biomarkers #HealthcareInnovation
academic.oup.com
Abstract. Precision medicine is part of 5 focus areas of the Challenges in IBD Research 2024 research document, which also includes preclinical human IBD m
1
0
2
Key Highlights: 1. The Value of Histology in UC Trials 2. Current Challenges and Limitations in the existing paradigm of histology assessment. 3. Automation and AI Innovations to enhance reproducibility, accuracy, and biomarker discovery. 4. The power of consortium Collaboration
0
0
0
It was a pleasure sharing my insights during a panel discussion in DC #DDW24, hosted by @Path_AI and @FNIH_Org. Our conversation centered on the role of histology in UC clinical trials and the multifaceted challenges we encounter in the field. #pathology #UC #Innovation #AI
1
3
4