
Divyanshu Dubey
@Div_Dubey
Followers
897
Following
193
Media
4
Statuses
91
Autoimmune Neurologist, Mayo Clinic, Rochester
Joined August 2020
Utilize MATCH score — Male, Ataxia, Testicular cancer, and Hearing alterations — as proposed by Vogrig et al. (PMID: 34557666) to aid in early recognition of KLHL11 antibody associated encephalitis.
0
0
2
Starting to see KLHL11 antibody associated paraneoplastic encephalitis cases reported from all over the world, with growing recognition and availability of antibody testing — including this case from UAE diagnosed by Dr. Anu Jacob. @mayocliniclabs
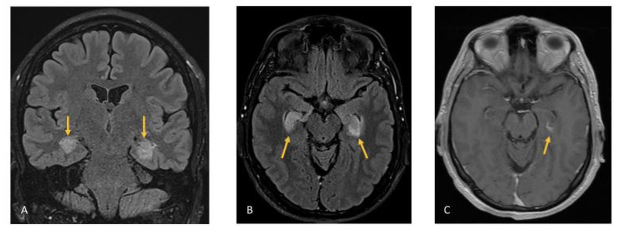
🧠 New in Practical Neurology: Paraneoplastic KLHL11 antibody encephalitis presenting with progressive tinnitus, hearing loss, and cerebellar ataxia. KLHL11-IgG - strongly linked to testicular germ cell tumours - shows a distinctive “sparkles” pattern on immunofluorescence 🔬
1
0
1
Seizures and status epilepticus may be the first clue to anti-GABAB receptor autoimmune encephalitis. Our study demonstrates how improved antibody assays (including live CBA) sharpen diagnosis and guide timely treatment. #AutoimmuneNeurology #Seizures
onlinelibrary.wiley.com
Objectives γ-Aminobutyric acid B receptor (GABABR)-IgG (immunoglobulin G) is an intermediate-risk paraneoplastic autoantibody often associated with seizures. We aimed to assess the clinical and...
1
12
46
Grateful for the opportunity to join colleagues in Egypt for the neuromuscular conference. Wonderful discussions, new collaborations, and warm hospitality. Thanks Heba!
We were thrilled to have Dr. Divyanshu Dubey and Dr. Andrea Cortese in Egypt to participate in the neuromuscular conference. I would like to thank the #peripheral_nerve_society for sponsoring this session and a big thank you to @MarcusVPinto, who facilitated this collaboration
1
0
9
Outstanding editorial by @Div_Dubey on our recent publication in Neurology 👏🏻 https://t.co/F51WtmSv4b
neurology.org
1
5
27
Case report: a man who tested positive for IgLON5-IgG antibody after intermittent episodes of paresthetic feeling involving the throat and jaw. https://t.co/BfT8ao0BXH
2
30
81
Excellent study that highlights AChR-IgG very low titers in low-pretest probability scenarios warrant caution to avoid MG misdiagnosis. #MyastheniaGravis
Risk of False Acetylcholine Receptor Autoantibody Positivity by Radioimmunoprecipitation Assay in Clinical Practice | Neurology https://t.co/iBFs7QQW4p Well done @PietroZara6 & @PaolaChessa4 🤝
0
1
29
Using high-throughput PhIP-Seq, we identified NPAS4-IgG, a novel autoantibody in CSF of antibody-negative autoimmune limbic encephalitis & additional AK5-IgG cases, highlighting PhIP-Seq’s role in uncovering new autoimmune biomarkers#AutoimmuneEncephalitis
pubmed.ncbi.nlm.nih.gov
Our study demonstrates the utility of high-throughput PhIP-Seq in identifying potential autoantigens in antibody-negative ALE. The identification of NPAS4 as a putative antigen and identification of...
0
19
61
Join our team as a post-doctoral researcher to advance the understanding of neurological disorders. Dive into protein aggregation studies, EV proteomic analysis. Ideal candidates have proteomics & bioinformatics experience. #Research #Neurology #Proteomics
fa-euwp-saasfaprod1.fa.ocs.oraclecloud.com
A Research Fellow position in Life Sciences (LS) will require knowledge of either clinical-based research or laboratory-based research often obtained from a postdoctoral program. We are looking for a...
0
5
20
Our new study highlights the clinical features and treatment outcomes of Neurofascin 155-IgG4 autoimmune nodopathy in children! Pediatric patients show rapid disease progression (often suspected to have GBS) and respond favorably to rituximab.
neurology.org
Background and ObjectivesWhile it is well characterized in adults, little is known about the clinical features of neurofascin 155-IgG4 autoimmune nodopathy (NF155-IgG4 AN) in the pediatric populati...
0
10
40
Grateful to be part of this collaborative effort with Dr. John Mills and the amazing team at @MayoClinicLabs. A testament to teamwork and the lab’s continued commitment to advancing diagnostics for demyelinating neuropathies. #Neurology #Neuropathy
"Specificity is a critical part of our lab. We utilize the best possible assays and set our cutoffs to minimize false positives," says Divyanshu Dubey, M.B.B.S. Learn how our demyelinating neuropathy panel can identify a specific cause and guide treatment. https://t.co/sUPEY1L0Er
0
2
16
A true legend in the field of peripheral neuropathy. Professor Peter J. Dyck's contributions have shaped and will continue to shape generations of research and clinical care. #PNGoat
The Peripheral Nerve greatest of all time #PNGoat, Professor Peter J. Dyck, one of the founders of the @PNSociety1, will retire on December 31st at 97 years old. To celebrate this legend's retirement, I will post one of his seminal papers monthly starting next week. Stay tuned!
0
2
18
Don’t miss this amazing opportunity to learn, connect, and unwind! 🌴🧠✨ #AutoimmuneNeurology
Quick reminder Fantastic #autoimmune #neurology course in Florida ☀️🏖️👨⚕️ 👩🏾⚕️ Come and enjoy sun, beach and great speakers….a stellar line up! https://t.co/sVuTmIfvMy
@MayoClinicNeuro @MayoFL_NeuroRes @MayoClinic @DoctorQMd @mdsebaslopez @Div_Dubey @EoinFlanagan14 @GDay_Neuro
0
0
7
Our study on ANNA1 (anti-Hu) autoimmunity reveals distinct phenotypes, cancer links, and biomarkers across ages.PhIP-Seq identified phenotype specific immunosignatures, serum NfL levels correlated with poor outcomes. https://t.co/yWx2jTTGUN
onlinelibrary.wiley.com
Objective To describe the phenotypes, oncological associations, biomarker profiles, and outcomes across different age groups in patients with ANNA1 (anti-Hu) autoimmunity. Methods A retrospective ...
0
15
45
Congratulations to Dr. Neeraj Kumar on receiving the Distinguished Clinician Award, one of Mayo Clinic’s highest honors! This well-deserved recognition celebrates his unwavering commitment to patient care, mentorship, and advancing medical education.
Tonight, Neeraj Kumar received The Distinguished Clinician Award, one of the top honors a Mayo Clinic physician can receive🤩 One of his most memorable quotes is “I have 100% protected time, and that time is protected to see patients” Nobody more deserving 👏
0
4
29
Our study validates the 2021 PNS-CARE score with high sensitivity (93%) and specificity (100%), improving on the 2004 criteria. We highlight key antibodies and phenotypes for earlier, accurate diagnosis. @HZhaoFleming
neurology.org
Background and ObjectivesParaneoplastic neurologic syndrome (PNS) diagnostic criteria were first proposed in 2004 and updated in 2021. The PNS-CARE score, derived from the updated criteria, is a...
0
11
35
It was an honor to be invited for the Naveen Deshpande Lectureship at the University of British Columbia, Vancouver. Great neurology program and an amazing city!
0
0
18
Thank you @headacheMD for featuring our discussion in the latest Autoimmune Neurology issue of Continuum. Grateful for the opportunity to share insights on autoimmune neuromuscular disorders.
Listen to Drs. Teshamae Monteith and Divyanshu Dubey discuss his article from the latest Autoimmune Neurology issue. Full episode available on podcast platforms or at https://t.co/PsKm8UqKxm. Get CME for this episode at https://t.co/Z0wubMVp3A
@AANmember @headacheMD @Div_Dubey
1
0
16
"These antibodies are going to help not only with the diagnosis of these patients but also to guide the search for underlying tumor types," says Divyanshu Dubey, M.B.B.S. Learn more about autoantibody tests for paraneoplastic neurological syndromes. https://t.co/Uz2HzRtb5F
news.mayocliniclabs.com
Divyanshu Dubey, M.B.B.S., explains how Mayo Clinic Laboratories' unique PDE10A and TRIM46 tests facilitate the management of central nervous system disorders triggered by cancers. Early diagnosis...
1
1
3