
Practical Neurology
@PracticalNeurol
Followers
19K
Following
994
Media
267
Statuses
2K
Practical Neurology - For the inquisitive neurologist
Ivory Towers
Joined December 2013
š§ New in Practical Neurology: Paraneoplastic KLHL11 antibody encephalitisĀ presenting with progressive tinnitus, hearing loss, and cerebellar ataxia. KLHL11-IgG - strongly linked to testicular germ cell tumours - shows a distinctive āsparklesāĀ pattern on immunofluorescence š¬
1
60
224
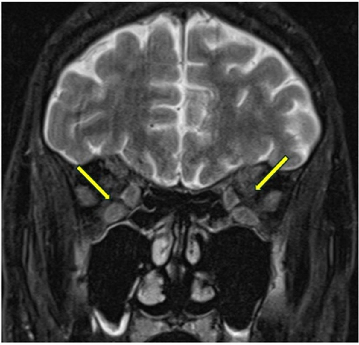
š§ VEXAS syndrome can present as orbital pseudotumour. MRI shows bulky inferior, medial & superior recti with sparing of lateral recti mimicking thyroid eye disease. In any man >50 with macrocytic anaemia + multisystem inflammation, think UBA1 mutation. š
1
32
113
š§ Tongue tremor is rare in most CNS infections but occurs in up to 30% of patients with tick-borne encephalitis. Watch the video and read the case: š https://t.co/ZcGwU3YyLj
#neurotwitter #neurology #infectiousdisease #MedEd
0
23
85
Great podcast discussing this too⦠https://t.co/GRudSUr834
0
4
13
š§ Read the updated ABN guidelines for autoimmune myasthenia gravis - summarised in the infographic below. Highlights includeš ⢠Daily (not alternate-day) steroids ⢠Early thymectomy for AChR+ MG (<50 yrs; consider ā¤65 yrs) ⢠Evidence for early rituximab ⢠New targeted
2
95
266
š§ Read the updated ABN guidelines for autoimmune myasthenia gravis - summarised in the infographic below. Highlights includeš ⢠Daily (not alternate-day) steroids ⢠Early thymectomy for AChR+ MG (<50 yrs; consider ā¤65 yrs) ⢠Evidence for early rituximab ⢠New targeted
2
95
266
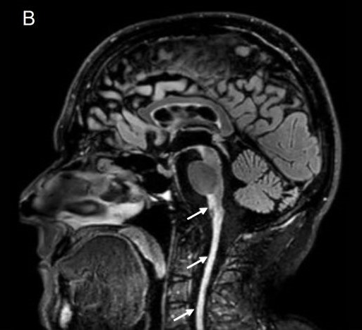
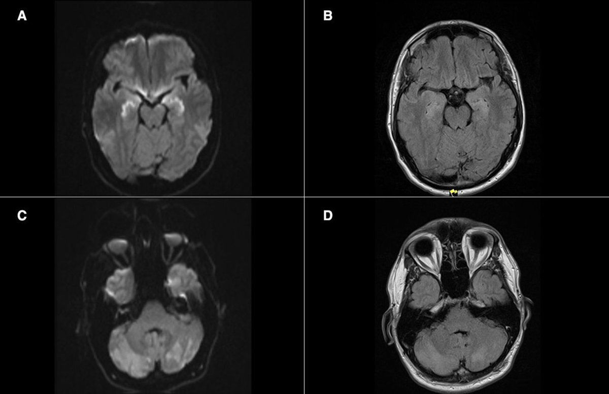
š§ Fentanyl misuse can cause CHANTER syndrome: Cerebellar, hippocampal and basal nuclei transient oedema with restricted diffusion. Thereās a characteristic MRI pattern: restricted diffusion in the basal ganglia and hippocampi, with cerebellar oedema and haemorrhage. š Open
1
69
217
šļø New podcast episode! Rethinking Myasthenia Gravis: A global perspective on the ABNās latest guidelines Join us as we explore what the updated recommendations mean for clinical practice. š§ Listen here: š Apple: https://t.co/qz7MOvMJAU šµ Spotify: https://t.co/AQl432MHRM š
0
3
8
Another sensational summary of the incoming selection from the latest edition of Practical Neurology- the journal for the jobbing neurologist (and bird watcher..) Links: ā¶ļø Apple: https://t.co/ffW56LB6tf ā¶ļø Spotify: https://t.co/J62FKOLXEL ā¶ļø Web: https://t.co/vFULEH2ANJ
0
0
5
Thanks @AmyRossRussell and Huw Green for a great discussion on "Health anxiety in a neurological setting" for this @PracticalNeurol podcast. https://t.co/fuvdbhRcdU
New review on health anxiety for neurologists with Huw Green @PracticalNeurol āHealth anxiety is NOT FND. ā
Can occur in any neurological condition ā
Reassurance usually makes it worse ā
Specific treatment. https://t.co/krEwyx3MoJ Free link - https://t.co/f6URLaXiZI
2
7
35
šļøš Syrinx in spontaneous intracranial hypotension treated by surgical disconnection of CSF venous fistula ā¬ļø (š) āļø @_davidrowland et al. via @PracticalNeurol
#spinalCSFleak #CSFVF #SIH #CSFVenousFistula #Syringomyelia #Syrinx
pn.bmj.com
A 49-year-old woman developed symptoms of syringomyelia 3 years after having presented with spontaneous intracranial hypotension (SIH). She had previously undergone two unsuccessful non-targeted...
0
3
11
Donāt miss the latest from the case reports team⦠Including some dietary advice.. Apple: https://t.co/vOslY3g7i5 ā¶ļø Spotify: https://t.co/gSSrrqU171 ā¶ļø Web: https://t.co/zuo1NLJbeE
0
0
3
Latest from the case reports team out now⦠and itās terrific!
0
0
2
Hereās a backstage peek at the making of our latest podcast on health anxiety. Donāt miss this one
0
0
8
Prof Alasdair Coles returns with a SENSATIONAL podcast discussing the use of IVIg in neurology with an international expert panelā¦. Donāt miss out! Apple https://t.co/CoZTate02Q Spotify https://t.co/0SEgBRApdn Podbean: https://t.co/B4pTy6EX0L
1
4
6