
Ivandito Kuntjoro MD, FACC, FESC, FAMS, FAPSIC
@Ditongaje
Followers
750
Following
349
Media
177
Statuses
574
Structural Intervention Cardiologist. NUHCS - National University Heart Center of Singapore, NUH, Singapore.
Singapore
Joined September 2016
Interactive and immersive training village on PFO Closure led by Dr @Ditongaje and Dr Low Ting Ting at #AiCTPCR
@PCRonline @aayshacader @MichaelChiangCS @jeremyquah88 @keithachanmd
0
4
6
The countdown is ON! #AICTPCR is coming to #Singapore 🇸🇬 and we’re thrilled to host everyone for 3 days of innovation, learning, and connection. Let’s shape the future of interventional cardiology — together!🫀@PCRonline
#Cardiology
0
5
8
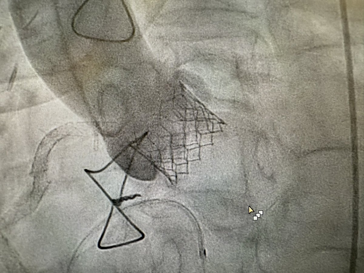
Featuring the use of #S3Ultra 20mm in small annulus. Plus 1cc on the initial balloon inflation followed by double tap post. No leak with peak to peak of 0. New era of #tavi #tavr with perfect result even in complex anatomy #structuralheart @EdwardsLifesci
Our #NUHCS structural heart team showcased a live TAVI case at the West China Minimally Invasive Cardiovascular Conference 2025, led by Asst Prof Ivandito Kuntjoro & Asst Prof Jimmy Hon, to highlight advances in balloon-expandable valves for small annulus cases.
0
0
1
From stethoscope to catheter 🫀 A meaningful session with our GP colleagues, emphasizing the role of primary care in early detection of #AorticStenosis. Catheter-based therapies like #TAVI now offer safer, less invasive treatment—especially for our elderly patients @NUHCS #tavr
0
2
6
#AICTPCR 2025 is coming! New venue. Fresh vibes. Big ideas. Live the experience in the heart of #Singapore 🇸🇬. Not just a conference - it is about being part of THE FUTURE of our regional coronary &structural intervention🫀 #Cardiology #PCR #MedTwitter @PCRonline
📢 Hear from those who’ve been there! 🫀 #AictPCR is more than just a course — it’s an experience. Discover what sets it apart through the voices of previous participants 🗓️ Be part of it in Singapore this 10–11 October, secure your place now! https://t.co/yhuQPcDjEz
0
2
6
#NUHCS took part in the 19ᵗʰ Oriental Congress of Cardiology 2025, where our NUHCS specialists Asst Prof Ivandito Kuntjoro, Asst Prof Jimmy Hon Kim Fatt, & Adj A/Prof William Kong Kok Fai, performed a complex bicuspid TAVI case which was broadcasted live to the conference.
1
4
7
From anatomical hurdles to next-generation valve designs, TAVI is breaking boundaries in bicuspid aortic valve disease. Read more in #EHJ. https://t.co/X3QKJVhUKF
#bicuspid #TAVI #TAVR @barbanti_marco #cardiotwitter @ESC_Journals @escardio
0
7
24
Novel Circulating Biomarkers in Aortic Valve Stenosis https://t.co/jUz68O95HA
#mdpiijms via @IJMS_MDPI glad to publish this with good friends and mentors
0
5
9
Our first #Mitral #TEER #Pascal prior CABG patient, severe DMR, large prolapse P2-P1, flail segment P2/P1 junction. No residual MR with one #PascalACE. Echo POD 1 showed trivial MR, MG of 1mmHg. Thrilled with the result and grateful for the strong teamwork @NUHCS structural heart
1
2
9
Just wrapped up an incredible few days at #AictPCR @PCRonline 2024 - #Singapore. Different role this year #tavi #tavr live case Operator, Chairing learning session and hand-on training plus the opportunity to lead #SoMe incredible team. Excited for what’s next ! @apsic @NUHCS
2
4
12
Closing ceremony #AictPCR @PCRonline 2024. All good things must come to an end. What a great 2.5 days it has been ! Thank you all for coming and see you NEXT YEAR. @APSIC6 @IndahSP_MD @keithachanmd @MichaelChiangCS @jeremyquah88 @ankitbusy
0
11
16
Congratulatons Dr Yongcheol Kim for Best Abstract #AictPCR @PCRonline 2024. The SEVEN-BOX trial 7.
1
2
9
And the winner for the Best Case #AictPCR @PCRonline 2024 is #Structural Case -Mitral Valve Thrombosis Intervention. Dr. Mohamed Kasim from Tamil Nadu, India.
1
2
12
#AictPCR @PCRonline 2024 is coming to the end. Stay tune for the announcement of Best Clinical case and Abstract followed by the Closing Ceremony. Join us at the main arena. @APSIC6
🎯2024 was a remarkable year for clinical cases at #AictPCR, with over 300 submissions breaking records! In this interview, @Ditongaje and @MichaelChiangCS discuss the significance of this achievement and why participation is crucial for #interventionalcardiology fellows!
0
2
5
Congratulation on your well deserved Life Time Achievement Award - Datuk Dr. Rosli Mohd Ali #AictPCR @PCRonline. Join our #SoMe team interview by @jeremyquah88 following this session @IndahSP_MD @MichaelChiangCS @keithachanmd
0
8
18
Opening Ceremony live from #Singapore #AictPCR @PCRonline 2024. Welcome all the delegates and faculty. Looking forward for a great 2 days of Learning ! @APSIC6 @NUHCS
0
5
12
📸Our fabulous #SoMe team in the flesh @Ditongaje @keithachanmd @IndahSP_MD @MichaelChiangCS @jeremyquah88 (only missing @DrAnkushG )! Do follow them (and @PCRonline 😉) to get the latest news from #AictPCR !
0
1
2