John F. DiPersio Lab
@DiPersioLab
Followers
574
Following
24
Media
14
Statuses
58
#Immunotherapeutics for #hememalignancy. Stem cell mobilization. #CARTcell #GvHD #CRISPR #CytokineReleaseSyndrome @wustlmed @sitemancenter
Joined January 2021
DiPersio’s Altered Career Path Led to Groundbreaking Developments in Leukemia https://t.co/dpgZh8jyGQ via @onclive
onclive.com
A teenage injury cost him a career among the stars, so John F. DiPersio, MD, PhD, became a star hematologist/oncologist instead.
0
3
36
DiPersio recognized for discoveries in cancer biology
source.washu.edu
John F. DiPersio, MD, PhD, the Virginia E. and Sam J. Golman Endowed Professor of Oncology at Washington University School of Medicine, is being recognized by the American Italian Cancer Foundation...
0
1
13
Congratulations, Steve, on the final publication. You took the lead on this project and I, like you, hope it will have a transformative effect on improving the safety of patient transplants in the future.
0
0
12
More hope for preventing chronic #GvHD! Small prophylactic trial in patients using belimumab, an antibody against BAFF, to keep from activating the B cells. Early results suggest it may help! https://t.co/5acbEnMSQO
vjhemonc.com
John DiPersio, MD, PhD, Washington University School of Medicine, Saint Louis, MO, describes the role of belimumab, a monoclonal antibody currently approved in systemic lupus erythematosus (SLE) that...
0
0
3
Mobilizing stem cells in #myeloma patients with motixafortide (BL8040). #hememalignancies
https://t.co/uw6mDjNLIC
vjhemonc.com
John DiPersio, MD, PhD, Washington University School of Medicine, Saint Louis, MO, presents results from the Phase III double blind GENESIS trial (NCT03246529) of motixafortide, a CXCR4 antagonist,...
0
0
1
ASH! Using Jak-inhibitors to prevent #GvHD in patients. Low #CRS. Good anti-leukemic effect. https://t.co/hYsJ7TctJ7
vjhemonc.com
John DiPersio, MD, PhD, Washington University School of Medicine, Saint Louis, MO, discusses strategies to reduce graft-vs-host disease (GvHD) and cytokine release syndrome (CRS) severity in patients...
0
3
21
Indeed! Good news for our patients and scientists!
It's official! Wonderful news that we'll be expanding the BTCF/GMP to develop novel therapies, including cellular therapies! @WUSTLmed @SitemanCenter School of Medicine to expand Lipstein BJC Institute of Health building https://t.co/t8kCUKFLJC via @wustlmed
0
0
8
Agree! Good team. Good work.
Congrats to Jeff Ward, Nancy Bartlett, and the whole @WUSTLmed @SitemanCenter team! Promising new combination for rel/ref DLBCL. Phase I/Dose Expansion Trial of Brentuximab vedotin/Lenalidomide in Relapsed or Refractory DLBCL #lymphoma
0
0
5
Also see the lay friendly in the WU Record:
medicine.washu.edu
Method, in mice, can eliminate need for chemotherapy, radiation, in treating blood cancers, other diseases
0
0
6
The Pachynski Lab is looking to hire! Leukocyte trafficking, tumor immunology, and basic/translational projects with a focus on prostate cancer. Please RT! https://t.co/NbRZi2kr83
#postdocjobs @PCF_Science @WUSTLdbbs @WUSTLImmuno @ACS_Research @WUSTLmed
sites.wustl.edu
We are looking for inspired, enthusiastic people who are excited about leukocyte trafficking, tumor immunology, and immunotherapy and are interested in doing basic/translational research in an outs…
0
13
13
Welcoming Jingyu Xiang to the lab today! Jerry has the distinction of publishing with us in September before he even joined! Welcome Jerry!
2
0
24
Wanted: level two technicians to work on immunological approaches to cure blood cancers (#myeloma #leukemia) at Washington University in St. Louis. General lab and animal handling experienced preferred. Email: joneal@wustl.edu #sciencejobs #CARTcells
0
3
12
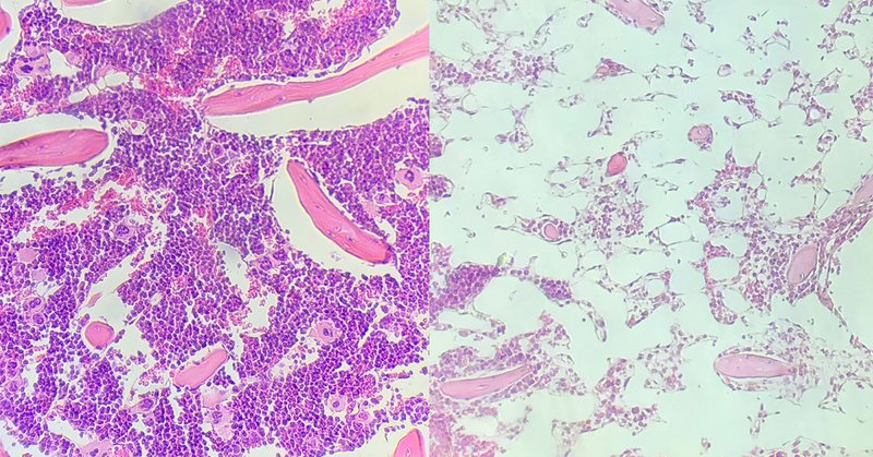
#CARTcell targeting CD7 could significantly decrease a patient’s immune function. Our recent preclinical work led by Dr. Miriam Kim shows that a transplant of hematopoietic stem cells with CD7 #CRISPR’d out could solve that problem. https://t.co/9CTZ3VAcpF
0
6
33
Amazing opportunities to develop cutting edge #neoantigen vaccine trials (@GavinGpdunn @LabFehniger @Pachynski_Lab @malachigriffith @chrisamiller), #ctdna studies (@aadel_chaudhuri @ChrisMaher_Lab) and novel #ProstateCancer treatments (@MReimersMD @uropro)!
Want to know what we are up to @SitemanCenter in St. Louis? @WUSTLmed @WUDeptMedicine @WashUHeme @RPachynski @mpndoc @dgermain21
https://t.co/kBGHVora14
1
3
11
0
2
3
Siteman has been ranked No. 1 in Missouri, No. 1 in St. Louis and among the top 1% of cancer centers nationally by U.S. News & World Report. Learn more: https://t.co/xXoyxE7gxn.
0
14
35