ChamsiPash Profile Banner
Mohammed Chamsi Pasha, FACC, FASE Profile
Mohammed Chamsi Pasha, FACC, FASE

@ChamsiPash

Followers
4K
Following
12K
Media
457
Statuses
4K

Multimodality Cardiac Imaging, #Echofirst, #WhyCMR, #YesCCT at Houston Methodist, TX. Associate PD of CV imaging fellowship. T + RT my own opinion

Houston, TX
Joined October 2017
Don't wanna be here? Send us removal request.
@alex1708ander
Alexander Mladenow MD
22 hours
33 yo female, parachute MV or MV arcade or both #echofirst #TTE #TEE #3Decho 🔘 Parachute MV = all chordae tendineae insert into a single papillary muscle 🔘 MV arcade = hammock-like fibrous band connecting two papillary muscles, with shortened or absent chordae
7
29
90
@ChamsiPash
Mohammed Chamsi Pasha, FACC, FASE
4 days
Truly honored and privileged to be promoted to associate professor ⁦@HMethodistMD⁩ . Grateful always to unwavering support from ⁦⁦@WilliamZoghbi⁩ . ⁦⁦@HMethodistCV#neverstoplearning
36
3
173
@ChamsiPash
Mohammed Chamsi Pasha, FACC, FASE
6 days
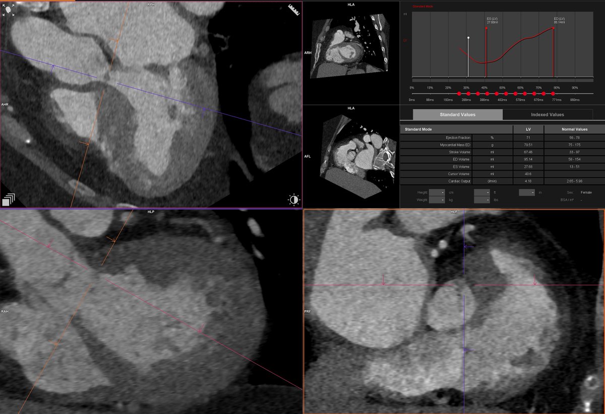
Shone's complex, parachute MV with single papillary muscle attachement (video), subaortic membrane (still) #YesCCT @Heart_SCCT
0
0
5
@DocStrom
Jordan Strom, MD, MSc, FACC, FASE
11 days
It's time already! As Abstract Chair #ASE2026 in June along with @ppsengupta1 , it is our pleasure and honor to invite you to submit an original science or case report abstract for presentation at #ASE2026 in gorgeous Colorado - deadline Jan 14. ( https://t.co/etfOMNDTkM). @ASE360
@ASE360
American Society of Echocardiography
11 days
NOW OPEN: Submit your abstract of original science or clinical case report to be considered for presentation at our #ASE2026 Scientific Sessions! https://t.co/hHGRCjsPsZ The #deadline to submit is January 14. #ASE2026 will take place on June 26-28 in Aurora, Colorado.
8
23
55
@JACCJournals
JACC Journals
18 days
In aortic valve regurgitation, a staging system using #whyCMR aided prognostication beyond surgical risk, AVR, & regurgitation severity. https://t.co/UwLxKBBoKs #cvVHD #vhdAR #JACCIMG @WilliamZoghbi @SachinGoelMD @MaanMalahfji @MujtabaSaeed17
Tweet card summary image
jacc.org
0
24
85
@AnaBaracCardio
Ana Barac, MD, PhD, FACC, FAHA
23 days
The Power of Seeing 🔥has never been more important. Latest #CVImaging tools provide precise definitions & empower clinical decisions. It is time to integrate them! Thank you Dr.@WilliamZoghbi for leading the future with this powerful meeting @MethodistHosp
@WilliamZoghbi
WilliamZoghbi
23 days
Starting in an Hour! 👍🏻
1
7
43
@WilliamZoghbi
WilliamZoghbi
23 days
Start of our 14th annual CV Imaging Conference--first session on innovations--more than 350 attendees from 14 countries. 💚⁦@ACCinTouch⁩ ⁦@ASE360⁩ ⁦@Heart_SCCT⁩ ⁦@SCMR⁩ ⁦@MyASNC⁩ ⁦@HMethodistCV
1
5
43
@DeBakeyCVedu
DeBakey CV Education - World Class CV Training
25 days
At Grand Rounds today we had the pleasure of hosting Dr. Muthiah Vaduganathan from Brigham and Women's Hospital and Harvard Medical School. Join us in-person/online every Thur. 8-9am CST. https://t.co/fR5PrJEjXR @AlanLumsdenMD #DeBakeyCVEducation #HoustonMethodist #GrandRounds
0
4
24
@RHAAttar
Rowa H Attar, MD, FRCPC, FASE- رواء حسن عطار
25 days
Sizing the Heart in the Middle East 🫆🌍 📆9th of October 2025 ⏱️13:00
0
1
3
@RHAAttar
Rowa H Attar, MD, FRCPC, FASE- رواء حسن عطار
24 days
📆10th October 2025 ⏱️09:00 am 🔥Talks not to be missed by @ChamsiPash @alialshahrani #Ahmad al Jizeeri
1
1
4
@DeBakeyCVedu
DeBakey CV Education - World Class CV Training
27 days
Join us Oct 2 for a Grand Rounds conference featuring Muthiah Vaduganathan, MD, MPH, presenting “GDMT For HFPEF: Are We There Yet?” Watch https://t.co/jpOYqbjSSC. #CardioEd #CardioTwitter
0
3
10
@WilliamZoghbi
WilliamZoghbi
1 month
Privileged to work with this amazing ❤️team @HMethodistCV @ACCinTouch @ASE360 @SCMR @Heart_SCCT @escardio @SCAI
@HMHCardioFellow
Houston Methodist Cardiovascular Fellowships
1 month
Strong hearts, stronger team 💪❤️ Picture Day 2025 at HMH Cardiovascular Disease Fellowship! #HeartOfMedicine #HMHCardioFellows
1
9
66
@ecocardio_cl
Julián Vega Adauy
1 month
📢 If your right ventricle imaging in CMR 🧲 doesn’t look like this ⚡, you’re not doing it "RIGHT" ⚠️
2
3
15
@ii7_8
زياد | Ziyad AlOtaibi
1 month
أعجبني جدًا الرسم البياني يشرح الفرق بين الشفقة (Pity)، التعاطف (Sympathy)، التقمص الوجداني/التعاطف العاطفي (Empathy)، والرحمة (Compassion) 🔹 Pity – الشفقة أقل درجة: “أشعر بالأسف عليك.” فيها مسافة بينك وبين الشخص، ما فيها فهم عميق ولا استعداد كبير لمساندة. 🔹 Sympathy –
11
148
1K
@purviparwani
Dr. Purvi Parwani
1 month
*ACC Imaging Council Survey: Define what the job market looks like* - https://t.co/3g9hvv0lBO Hi everyone, if you have just a few minutes today, the ACC Imaging Council would love if it you could fill out the following brief survey. We are aiming to gather *anonymized* data on
2
38
58
@VLSorrellImages
V.L.Sorrell, MD (@CASEfromASE EIC)
2 months
#JADEL Another amazing CASE in @CASEfromASE: https://t.co/RYKyoEA5cl 74 man with dyspnea on exertion... you never know what that complaint will bring. Follow thread for amazing images (including the surgically removed pericardium). @ASE360
1
5
18
@ChamsiPash
Mohammed Chamsi Pasha, FACC, FASE
2 months
Pericardial constriction comes in different flavors, interesting case of calcified pericardial hematoma with great outcomes post surgery. Thanks to @CASEfromASE for publishing this at @CASEfromASE #echofirst @ASE360 #WhyCMR @mramchandani @Joe_Aoun_ https://t.co/we13fV7EzM
5
7
41
@ppsengupta1
Partho P Sengupta
2 months
What an honor to stand at the wall-of-fame @ASE360 with Mayo-Houston-Cleveland Clinic giants-in-echo @JaeKOh2 @pattypellikka @WilliamZoghbi @AllanLKleinMD1
4
7
83
@estelais
Dra. Isabel Carvajal.
2 months
⭐Nuclear Cardiology for #Amyloidosis and future directions by @MasriAhmadMD #ASNC2025 @MyASNC 1/3🧵 👉Early diagnosis remains uncommon 👉18F #ThinkPET Tracers for Amyloid 👉Bone Scintigraphy frequently misses disease
1
4
10