CenterOceanLife Profile Banner
Anderson Cabot Center at NEAQ Profile
Anderson Cabot Center at NEAQ

@CenterOceanLife

Followers
1K
Following
867
Media
393
Statuses
2K

The Anderson Cabot Center for Ocean Life at the New England Aquarium (@NEAQ) is saving species, habitats, and strengthening the overall health of our oceans.

New England Aquarium, Boston,
Joined March 2016
Don't wanna be here? Send us removal request.
@CenterOceanLife
Anderson Cabot Center at NEAQ
4 years
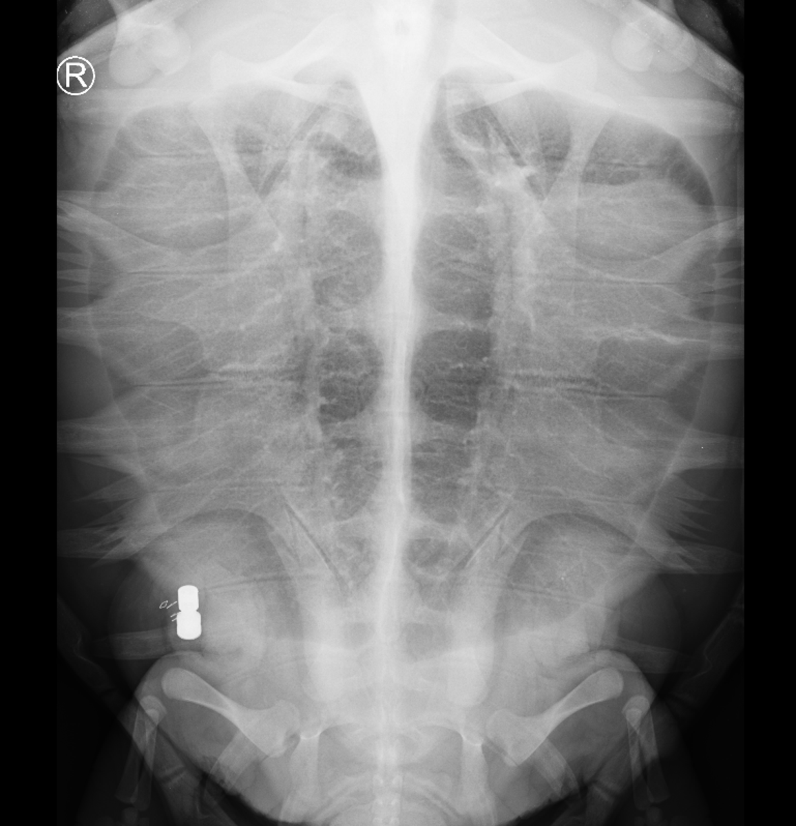
Below is an X-ray of one of our released #Loggerhead sea turtles, which depicts a surgically implanted #AcousticTag. We released three rehabilitated sea turtles back into the wild w/ these acoustic tags. Now, we are retrieving the data from them. More: https://t.co/tCaZHZJVBb
0
2
6
@CenterOceanLife
Anderson Cabot Center at NEAQ
4 years
🌟 New #Shark Study! 🌟 Dr. Nick Whitney, Senior Scientist at the @CenterOceanLife, is the lead author on a new study, which measures the resiliency of #sharks that are caught + released in commercial longline fisheries. @NewportAquarium @MoteMarineLab https://t.co/GDq1l6ia5H
0
3
8
@CenterOceanLife
Anderson Cabot Center at NEAQ
4 years
Although the biggest threats to #NorthAtlanticRightWhales are human caused (entanglements + ship strikes), these critically endangered #MarineMammals face yet another challenge: #ClimateChange. More by @NEAQ Research Scientist Dan Pendleton: https://t.co/bZL50yZ6LU
0
4
18
@OceanswellOrg
Oceanswell
4 years
Congratulations to our research assistants @HafsaJamel and Chiran Weerarathne who received @MCAF_NEAQ Early Career Ocean Professionals (ECOP) grants for two new exciting projects! Wish them luck and stay tuned for more! @CenterOceanLife
0
2
12
@NEAQ
New England Aquarium
4 years
Have you ever wondered what it's like for our researchers to go out in the ocean and look for #NorthAtlanticRightWhales? Tomorrow, @CenterOceanLife NEAQ Right Whale Research Scientist Kelsey is taking over our Instagram to take you on a research cruise! Join us tomorrow!
0
5
17
@NEAQ
New England Aquarium
4 years
We are disappointed that federal regulations aimed to protect North Atlantic right whales are lacking more aggressive measures that are crucial to saving this critically endangered species, which numbers approx. 350 individuals. Read our full statement: https://t.co/If9HfJHgn3
0
11
28
@CenterOceanLife
Anderson Cabot Center at NEAQ
4 years
Congrats to Gayathra Bandara for being selected for the Erasmus Mundus Joint Master’s program!👏 Gayathra received a scholarship from @blue_resources where he worked on elasmobranch research with @MCAF_NEAQ Fellow Daniel Fernando. Read about his work:
0
1
2
@SmithsonianEnv
SmithsonianEnv
4 years
#DYK A sea turtle rescued at the @NatlAquarium may travel 1400 miles from rescue to release? Tonight at 7pm ET, learn more about rescuing endangered #seaturtles with Animal Rescue Director Jennifer Dittmar at our August evening webinar. Sign up at https://t.co/v6JXZ39epj
0
8
9
@CenterOceanLife
Anderson Cabot Center at NEAQ
4 years
Our scientists recently conducted an aerial survey of the Northeast Canyons & Seamounts #MarineNationalMonument! Scientists hope aerial surveys will unlock the secrets of a biodiversity hotspot. 🐋🐬🐳 Learn more in our blog:
neaq.org
At the Anderson Cabot Center for Ocean Life, we use marine science to protect animals and help others use the ocean responsibly.
0
0
5
@CleantechOpenNE
Cleantech Open Northeast
4 years
Join @SeaAhead on June 22nd for a Bluetech Free Swim! This virtual networking session is meant to spark connections and collaboration within the #bluetech community. https://t.co/m5em0CUczn
0
4
3
@CenterOceanLife
Anderson Cabot Center at NEAQ
4 years
Recently, a commercial lobster diver found himself in the mouth of a #HumpbackWhale. Dr. Peter Corkeron, says "humpbacks can open their jaws 90 degrees as they suck in hundreds of gallons of food and water, which makes [his] experience possible." More:
0
3
2
@CenterOceanLife
Anderson Cabot Center at NEAQ
4 years
The United States, United Kingdom, Chile, Costa Rica, and France announced a new global partnership to advance the role of #MarineProtectedAreas (MPAs). Read more: https://t.co/ANZJnHuIYI 📸: Reef fish in the Papahanaumokuakea Marine National Monument. (NOAA) #ClimateChange
0
5
4
@IFF
IFF
4 years
On #UNWorldOceansDay, we join the @un in emphasizing the importance of ocean health for sustainable ocean livelihoods. Learn how our Responsible #Seaweed Program contributes to the sustainable use of ocean resources. https://t.co/3O02SgWoJr #DoMoreGoodxIFF @Safe_Seaweed
0
4
8
@CenterOceanLife
Anderson Cabot Center at NEAQ
4 years
Protecting special places in the ocean—like we do with national parks on land—creates sanctuaries where wildlife can thrive and ecosystems are more resilient to #ClimateChange. Sign in support of #Protect30x30: https://t.co/PiVbrUez5c #WorldOceanDay #NationalOceanMonth 🌊❤️
0
3
2
@NEAQ
New England Aquarium
4 years
.@CenterOceanLife scientists have identified a #NorthAtlanticRightWhale mother + calf spotted swimming off Brier Island, Nova Scotia, as the 18th pair of the season! This marks the second calf for mom "Lobster" (Catalog #3232). Read more: https://t.co/mVOvvd1l6R 📸: Amy Tudor
neaq.org
At the Anderson Cabot Center for Ocean Life, we use marine science to protect animals and help others use the ocean responsibly.
0
11
39
@CenterOceanLife
Anderson Cabot Center at NEAQ
4 years
Summertime on Cape Cod makes people think of one thing: Sharks! 🦈 Our researchers are studying many species of sharks that roam the Cape's waters this time of year, including the #GreatWhiteShark. #Sharks #SharkScientists #FSET https://t.co/Nv5mOLDLSy
Tweet card summary image
bostonherald.com
While much of the focus is on Cape Cod’s great white shark population during the summer, researchers are also studying a variety of other shark species that roam the Cape’s waters and e…
0
1
1
@CenterOceanLife
Anderson Cabot Center at NEAQ
4 years
Join us on tomorrow, June 3rd at 3pm ET to learn about BlueSwell, a bluetech incubator run by @NEAQ and @SeaAhead! #BlueSwell #OceanStartups #OceanInnovation #BlueTech Register here: https://t.co/Fb5T9CTljv
0
2
1
@CenterOceanLife
Anderson Cabot Center at NEAQ
4 years
New #podcast featuring our Senior Scientist Dr. Peter Corkeron about the newly named Gulf of Mexico whale, which may have fewer than 50 individuals left. https://t.co/e51LKxOVxz #RicesWhale #GulfOfMexico #EndangeredSpecies #Whales
0
1
0
@CenterOceanLife
Anderson Cabot Center at NEAQ
5 years
Marine biologist Dr. Asha de Vos will continue the @NEAQ lecture series on "How Sri Lanka's Blue Whales Spurred A New Marine Conservation Model". 🐋 This lecture is presented free to the public through the generosity of the Lowell Institute. Register: https://t.co/m04xLed58W
0
0
2
@CenterOceanLife
Anderson Cabot Center at NEAQ
5 years
#EndangeredSpeciesDay is a day to highlight endangered species + learn how we can help protect them. Today, our scientists talk about various endangered species that are near and dear to their hearts. Watch more: https://t.co/gb7DpXmcBa #PartyForThePlanet
0
0
3