Christian Hanna, M.D.,M.S.
@C_HannaMD
Followers
692
Following
2K
Media
59
Statuses
994
Pediatric Nephrologist @mayoclinic. Focused on cystic & inherited kidney diseasess🫘 🧬 in kids. PGY18. Soccer ⚽️ enthusiast/FC Barcelona!. Opinions are my own.
Mayo Clinic, Rochester MN
Joined January 2020
Identical profile of key podocyte proteins in minimal change disease and FSGS suggesting common pathogenesis. Mass spectrometry of minimal change disease and focal segmental glomer...
0
20
49
Mycophenolate Mofetil versus #Cyclophosphamide for Initial Therapy in Childhood-Onset Proliferative #Lupus_Nephritis A Prospective, Multicenter, Randomized Trial @JASN_News #MMF #LN
journals.lww.com
on in SLE Disease Activity Index scores was similar between the two groups. Background Recent studies suggest that oral mycophenolate mofetil (MMF) may be similar to intravenous cyclophosphamide in...
1
2
3
Seraph® 100 Microbind® utilization in immunocompromised toddler with adenovirus viremia in conjunction with CRRT and ECMO - ScienceDirect @MayoClinicKids @MayoClinicNeph
0
2
5
Effectiveness of Mycophenolate Mofetil Trough Level Monitoring in kids with NS.
journals.lww.com
on the basis of MPA trough levels personalize treatment, are associated with higher effectiveness, and help minimize potential toxicity.Maintaining MPA trough levels above 2.9 µg/ml provides a...
0
0
3
Medical Imaging and Pediatric and Adolescent Hematologic Cancer Risk | New England Journal of Medicine
nejm.org
Assessing the risk of radiation-induced hematologic cancer from medical imaging in children and adolescents might support informed decisions on the use of imaging. We followed a retrospective cohor...
0
0
0
Aortitis in Disguise: Cardiomyopathy With Takayasu Arteritis | Circulation: Cardiovascular Imaging @CircAHA @MayoClinicKids @MayoClinicNeph
ahajournals.org
0
1
3
Our image was featured in "Image in Clinical Medicine" | NEJM Acute Epididymo-orchitis in IgA Vasculitis. @MayoClinicKids @MayoClinic @MayoClinicNeph
nejm.org
A 5-year-old boy with IgA vasculitis presented with scrotal swelling and pain and worsening of his leg rash. The physical examination showed purpura on the legs and swelling, erythema, and tenderne...
1
3
25
It is with great gratitude that I share the news of receiving my first @NIH R01 🎉 This milestone reflects years of dedication, the support of amazing mentors, and the relentless work of the Chebib Lab. We are humbled to be stepping into the big league of science. Our mission
61
7
191
All what you need to know about MN....."Antigens in membranous nephropathy: discovery and clinical implications" | Nature Reviews Nephrology @SethiRenalPath @fervenzafernan1 @MayoClinicNeph @MayoTransplant
nature.com
Nature Reviews Nephrology - Since the discovery of PLA2R, several target antigens associated with membranous nephropathy have been identified. This Review describes the distinct clinical...
0
8
31
It’s a true privilege to have our work recognized as Editor’s Choice Article by the American Journal of Transplantation (AJT): an acknowledgment of its significance. Bravo,@SamyRiad9 for leading this impactful research! 👏🧬 @MayoTransplant @MayoClinicNeph
1
8
35
Do you have crescentic IgA Nephropathy? You may qualify for a Mayo Clinic clinical trial evaluating a novel treatment for crescentic IgAN. “Avacopan in Crescentic IgAN” Learn more and see if you are eligible: Link 🔗 https://t.co/fCgowqBabR
@fervenzafernan1 @LadanZand
mayo.edu
Learn more about services at Mayo Clinic.
0
8
15
📢 Just out in @KidneyNews: Our latest article breaks down the 2025 KDIGO guidelines on genetic testing in #ADPKD — who to test, why it matters, and how genotypes guide prognosis and management. 🔬🧬 Read it here: https://t.co/LP90NkehqA
@ASNKidney @asnpublications
kidneynews.org
"Clinical Practice Guidelines for Genetic Testing in ADPKD" published on 08 Jul 2025 by American Society of Nephrology.
Kidney News July 2025 @asnpublications Clinical Practice Guidelines for Genetic Testing in ADPKD Neera K. Dahl @pranavgarimella and Fouad T. Chebib https://t.co/eGbC8LJ47W
0
10
41
Characterizing the #ADPKD IFT140 Phenotypic Signature With #DeepLearning and Advanced Imaging #Biomarkers
#VisualAbstract by @drpriyajohn
https://t.co/Ot0VRuke8C
@AhmadGhanem97 @fouadchebib
0
13
24
Previous research in pediatric hematology-oncology (PHO) patients suggested that cystatin C-based eGFRs are more accurate than creatinine-based eGFRs. Read this Research Letter comparing performance of GFR estimation equations in pediatric PHO patients. https://t.co/RmTEIZ3OK6
0
5
7
Clinicopathological Characteristics and Long-Term Kidney Outcomes in Biopsy-Proven Renal Sarcoidosis @jingmiao2019 @wisit661 @LadanZand @fervenzafernan1 #MayoClinicKidney
journals.lww.com
opsy-proven RS, focusing on identifying predictors of renal recovery and disease progression. Methods This retrospective study included 43 biopsy-proven RS at Mayo Clinic (2012-2024). Demographic,...
1
17
39
Performance of eGFR equations in pediatric hem/onc patients...While differences were not large, the CKiD U25 (avg Cr/CysC) and the EKFCcr equations showed overall better performance, while CysC-only equations tend to be less accurate.
link.springer.com
Pediatric Nephrology -
0
1
9
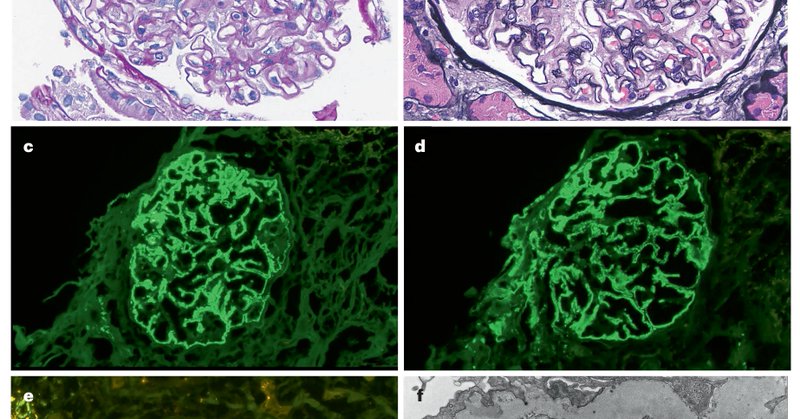
In this multi-center study we describe 3 distinct phenotypes of patients with PLA2R-MN using unsupervised machine learning! @jingmiao2019 @fervenzafernan1 @ShaneBobart @wisit661 @PepaSolerR @NDTsocial
academic.oup.com
ABSTRACTBackground. Membranous nephropathy (MN) associated with phospholipase A2 receptor (PLA2R) antibodies is the most common cause of nephrotic syndrome
5
20
50
The Mayo MGRS Prediction Tool calculates the risk of finding monoclonal gammopathy of renal significance in a kidney biopsy in patients with monoclonal gammopathy @fervenzafernan1 @SethiRenalPath @LadanZand #MayoClinicKidney
https://t.co/ZTddoTHOnX
0
33
80