AnushaShvshnkr Profile Banner
Anusha Shivashankar Profile
Anusha Shivashankar

@AnushaShvshnkr

Followers
19
Following
52
Media
0
Statuses
27

Phd student @IUMedschool. Medical Neuroscience @IUStark_Neuro Exploring the ins and outs of Trabecular meshwork in @LabPadhu 👁️

Indianapolis, IN
Joined May 2024
Don't wanna be here? Send us removal request.
@DrVermaNandini
Nandini Verma
3 months
Check out our new story just out in Redox Biology: A secret redox deal made by TNBC Drug-Tolerant Persister (DTP) Cells that can throw them in the burning hell of Ferroptosis. https://t.co/HeRpWNHqbQ Congratulations to all the contributing authors! 🥳 🧵
6
8
39
@Chaudhary9Nazia
Nazia Chaudhary
3 months
Excited to share our new paper in Redox Biology!! We report how low GPX4 levels maintain a Drug tolerant persister (DTP) state in TNBC- revealing a ferroptosis based vulnerability. An incredible effort by @tnbc lab @ACTREC_TMC @DrVermaNandini !! Congratulations to all authors
@DrVermaNandini
Nandini Verma
3 months
Check out our new story just out in Redox Biology: A secret redox deal made by TNBC Drug-Tolerant Persister (DTP) Cells that can throw them in the burning hell of Ferroptosis. https://t.co/HeRpWNHqbQ Congratulations to all the contributing authors! 🥳 🧵
2
1
10
@LabPadhu
Padhu_Lab
4 months
Congratulations #Roda and Anusha @AnushaShvshnkr on winning first and second place at the Stark Summer Science Symposium 2025. Great job #Keara, for presenting your summer work. @IUOphthalmology @IUStark_Neuro @IUgradschool
1
1
8
@J_Cell_Sci
J Cell Science
6 months
Bhagya Shree Choudhary, Sorab Dalal and colleagues @CRI_ACTREC @ACTREC_TMC discover that LCN2 promotes focal adhesion formation and invasion by stimulating c-Src activation. #OpenAccess #ReadandPublish https://t.co/vhzmNCzNox
5
6
22
@Chaudhary9Nazia
Nazia Chaudhary
8 months
I am thrilled to announce that our recent research work got featured on the cover page of the Clinical Cancer Research journal! 😱🎉 This is such an honour! Huge thanks to the journal and my AMAZING team and collaborators for all the hard work! Can’t wait for everyone to see it!
10
8
45
@DrVermaNandini
Nandini Verma
8 months
Glad to share that our recent published finding in @SpringerNature is covered by The Indian Express. Breast cancer breakthrough: Tata Memorial research finds weak spot in aggressive cancer cells and an old drug to treat it https://t.co/YsWFDFtqcb via @IndianExpress
2
12
37
@LabPadhu
Padhu_Lab
9 months
Time for some celebrations. Yesterday we celebrated Anusha's @AnushaShvshnkr birthday in the lab. Anusha also received the news about the ARVO travel award to travel to Utah for the 2025 Annual Meeting. Thanks @ARVOinfo.
0
1
15
@LabPadhu
Padhu_Lab
9 months
What does #NIH and #NIHfunding mean to the Universities and School of Medicines across the country and from the advancement of science and medicine.
@BLLPHD
Bruce Levine, Ph.D. 🇺🇦🥼🔬🧬🧪💉
9 months
0
1
4
@DrVermaNandini
Nandini Verma
10 months
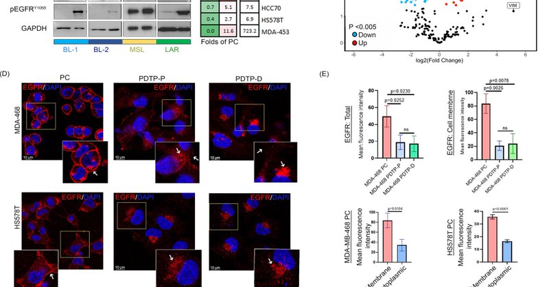
Extremely excited to share the very first research article from our lab @TnbcL @CRI_ACTREC @ACTREC_TMC This study finds a unique EGFR- hyperphosporylation state in TNBC drug tolerant cells as a targetable vulnerability. Kudos to all the contributors✨👏 https://t.co/sQXd9YHleD
Tweet card summary image
link.springer.com
Cancer Cell International - Triple-Negative Breast Cancer (TNBC) is the most aggressive type of breast malignancy, with chemotherapy as the only mainstay treatment. TNBC patients have the worst...
13
6
44
@LabPadhu
Padhu_Lab
10 months
Two abstracts are accepted for talks by @Srimathi511 @AnushaShvshnkr and three for posters by #Greg, @AvinashSoundar1, and #Roda from the lab for #ARVO2025 @ARVOinfo Congratulations to the team for their hard work. Tune in soon for more info.
1
2
10
@Chaudhary9Nazia
Nazia Chaudhary
10 months
I'm thrilled to announce that the second part of my DST inspire project has been published in the prestigious CCR journal ! Patient-derived Organoids and Xenografts Uncover Therapeutic Vulnerabilities in Colorectal Signet Ring Cell Carcinomas  https://t.co/lemBtALc9T
14
7
59
@LabPadhu
Padhu_Lab
1 year
Working with talented pool of postdocs and grad students is the best thing in academia. 2024 was good and productive. To a great 2025. @AnushaShvshnkr #MichelleSurma @AvinashSoundar1 #RodahinaPasteurin @Srimathi511 #GregRognon. Thanks for all the hardwork team.
0
2
9
@LabPadhu
Padhu_Lab
1 year
Presenting the work on Tensins and biomechanics. The study is led by @AnushaShvshnkr & supported by @AvinashSoundar1 #CellBio2024 @ASCBiology
0
1
5
@Chaudhary9Nazia
Nazia Chaudhary
1 year
I'm thrilled to announce that my paper in redox biology is finally out! This milestone marks my first solo corresponding author publication, a significant achievement i'm proud to share. Seeing the final product is surreal, and I'm grateful to share this moment with you. (1/6)
18
9
57
@Chaudhary9Nazia
Nazia Chaudhary
1 year
I would like to express my heartfelt gratitude to the incredible clinicians @ACTREC_TMC whose support was instrumental in making this translational research possible. @MufaddalKazi @saklani @CRI_ACTREC. Heartfelt thanks to Sorab and Prasanna Ma'am for their unwavering support!!
1
3
10
@LabPadhu
Padhu_Lab
1 year
#AllSmiles A picture to treasure. Department Holiday Party 2024. @TasSharmaLab @Srimathi511 @AvinashSoundar1 @AnushaShvshnkr
0
2
8
@LabPadhu
Padhu_Lab
1 year
We celebrated the hardwork of postdocs and their achievements in the lab on the occasion of National Postdoc Appreciation Week. @AvinashSoundar1 #GregRognon, thanks for being curious and moving the boundaries. Best wishes for a great future. @IUOphthalmology @IUMedSchool
1
1
8
@LabPadhu
Padhu_Lab
1 year
Happy to have two stellar students in the lab #Anusha and #Roda at their whitecoat ceremony day. Long way to go still on a cracking scientific journey. @IUMedSchool @IUMedResearch @IUOphthalmology
2
2
22