
Aleksandar Neskovic
@AleksandarNesk6
Followers
228
Following
185
Media
7
Statuses
97
Missed this fantastic update on Cardiogenic Shock: This is a must for all involved in hospital care. No worries, it is available at https://t.co/bi7eVuHt5m
2
65
205
The whole #EACVI community and myself are deeply saddened to hear of the passing of Professor Mark Monaghan. Professor Monaghan was a world renowned pioneer and expert of echocardiography. This is a major loss for the #CVI community. @EACVIPresident
1
9
39
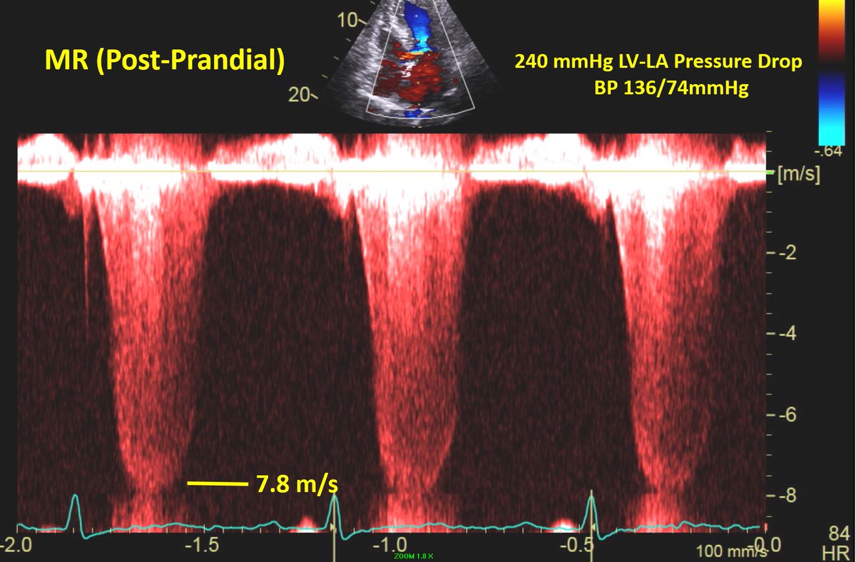
Patient concurrently developed severe MR with high velocity jet. This case illustrates the severe hemodynamic effects of eating in some HCM patients with dynamic LVOT obstruction.
3
14
80
Recent case of a middle aged pt with HCM Echo performed late morning demonstrated no LVOT obstruction (fasting). Patient returned for consultation following lunch & was noted to have loud, harsh 4/6 SEM. Doppler study was repeated which demonstrated severe LVOT obstruction!
16
124
427
From outside the US, across the pond, data scientist @jburnmurdoch @FT
https://t.co/XVxfx5dESw "Over the past 18 months, the politicisation of science may have directly cost as many as 60,000 American lives"
57
472
1K
ECHOSerbia 2022 / 3rd Congress of the Echo Society of Serbia. Looking forward to seeing many friends this weekend in Belgrade. @EchoSoliman @Cosyns @susannaprice @rmanka_ @LunaGargani @AleksandarNesk6 @NabilNaser11 @biljana_parapid @danijelatrifzam
3
9
32
Our perspective on the vulnerable plaque and vulnerable patient just published in Nature Reviews Cardiology. Please DM me a request with your email address and I would be pleased to send you a journal-approved copy.
134
95
468
Evropske preporuke za kateterske intervencije u plucnoj emboliji. Upravo izasle. Novi veliki korak u lecenju plucne embolije.
7
4
138
Na primjeru Novaka Đokovića vidite koliko je formalno obrazovanje važno.
160
97
2K
EHRA expert consensus statement on arrhythmic mitral valve prolapse and mitral annular disjunction complex @escardio @ESC_Journals
https://t.co/hyTjxeuyV9
1
47
130
Interventional cardiologists and surgeons fighting who is going to take the patient with elective left main stem stenosis
17
36
189
Petoro članova Društva lekara Vojvodine ogradilo se od Hipokratove medalje Vučiću. Imena ovih časnih ljudi su: Dr Nebojša Baračkov Dr Dragan Mitrović Dr Slađana Martinović Mitrović Dr Timea Kikai Zekić Dr Jelena Mučibabić Svako jedan fejv i retvit u njihovu čast.
32
642
3K
@renovate57 👋 we updated @sjs856’s tweet to include *automatic* captions… Need captions that match your brand? Check out: https://t.co/HMLtU21mBf
1
2
3
@GeoffRBennett Why Get Vaccinated When You Can Still Get Covid? #DrewComments
https://t.co/7GxIPbAGdu
34
370
1K