wjsivmd Profile Banner
Will Smith M.D. Profile
Will Smith M.D.

@wjsivmd

Followers
581
Following
2K
Media
103
Statuses
699

PGY-3 pathology - future hemepath (26-27 fellowship 👀) - Research in germline predisposition to hematologic malignancy - 🏳️‍🌈 - MedEd - 🌱 Ⓥ

Detroit, MI
Joined August 2021
Don't wanna be here? Send us removal request.
@wjsivmd
Will Smith M.D.
1 year
Are you a neurodivergent (autistic/ADHD/dyslexic/etc) pathology resident or fellow in a training program? Would you like share about your experiences in #MedEd ? Help me out! Please take this survey - it shouldn’t take more than 10 or 15 minutes https://t.co/uLFCJsfJmK
Tweet card summary image
docs.google.com
Part 1: Research Information Sheet
0
8
17
@wjsivmd
Will Smith M.D.
9 months
You’ll be “forced” to do an entire research project the following year (and hope that it is accepted) to try to make up for your shyness Saying hello is less stressful than the weeks before the abstract deadline Learn from my folly!
0
0
3
@wjsivmd
Will Smith M.D.
9 months
There’s a lot I wish I knew before going to my first #uscap2025, but hopefully this will save some others some future grief: Go up to that person you respect or wish that you knew irl from online. Because if you don’t, you’ll have probably an entire year of kicking yourself. +
4
1
22
@wjsivmd
Will Smith M.D.
11 months
The reports are in and I was only a little weird in person 💃 Thanks for hanging out, @corpsechat I’m even more exited for #uscap now #mottirl
@corpsechat
🔪 chrissy, MD 🔪
11 months
it was great meeting @wjsivmd in person yesterday!!
0
0
6
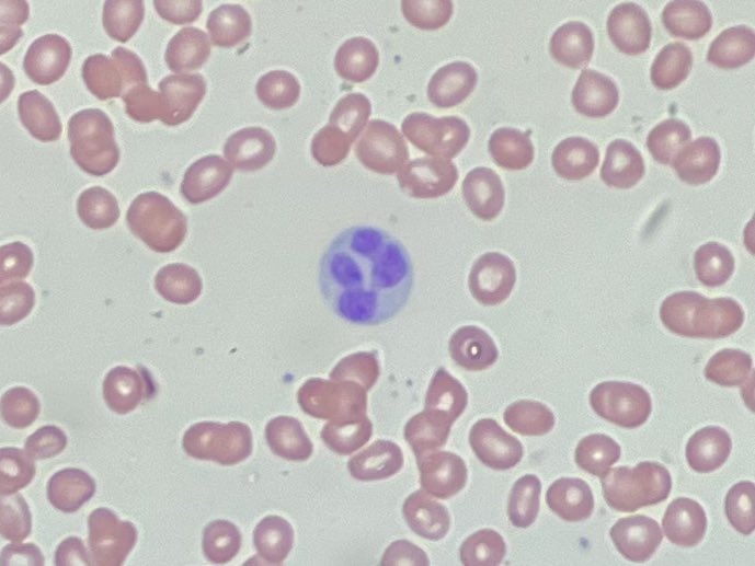
@wjsivmd
Will Smith M.D.
11 months
Cell type?
1
0
0
@wjsivmd
Will Smith M.D.
11 months
“Monocytosis” from PBS of Nodal TFH lymphoma, angioimmunoblastic type - are these actually monocytes (automated count) or are they circulating atypical T cells?
1
0
0
@wjsivmd
Will Smith M.D.
1 year
Like Guitar Hero but for training peripheral blood smear / aspirate smear differentials 🤓
0
0
0
@wjsivmd
Will Smith M.D.
1 year
We’re going to Boston! #USCAP2025
5
1
41
@wjsivmd
Will Smith M.D.
1 year
Help Moriah Rebuild Her Life and Career
3
3
5
@wjsivmd
Will Smith M.D.
1 year
Note to my future hemepath fellowship faculty: I am very organized and proactive. I submitted mine early. (3:31 am EST)
0
0
2
@wjsivmd
Will Smith M.D.
1 year
@TheUSCAP
USCAP
1 year
DEADLINE EXTENDED We are having technical difficulties with the volume of abstracts coming in this morning. Our apologies to anyone having trouble submitting their abstracts. To ensure everyone can get their abstracts in, we are pushing back the deadline to 5pm EDT today.
1
0
7
@wjsivmd
Will Smith M.D.
1 year
Fight off the Sunday Scaries, please consider answering our IRB-approved survey for neurodiverse pathology residents/fellows - 10-15 minutes to complete, help make our training programs more aware of our needs and challenges - and strengths! Thanks and DM if any questions
@wjsivmd
Will Smith M.D.
1 year
Are you a neurodivergent (autistic/ADHD/dyslexic/etc) pathology resident or fellow in a training program? Would you like share about your experiences in #MedEd ? Help me out! Please take this survey - it shouldn’t take more than 10 or 15 minutes https://t.co/uLFCJsfJmK
0
0
2
@jenheemstra
Jen Heemstra
1 year
If you’re choosing a research group to join, pay just as much - if not more - attention to the culture and mentoring style in the group than the research. You can succeed in lots of research areas or projects, but it’s tough to succeed in an unsupportive environment.
25
310
2K
@wjsivmd
Will Smith M.D.
1 year
Saluting another MedEd survey 🫡 (I’m up to 22 responses on my ND resident/fellow study)
@KMirza
Kamran Mirza MD PhD - کامران مرزا
1 year
Calling all PGY1 #residents (any medical specialty) Please consider completing this #meded survey! https://t.co/bNVTxN6qLp Please forward to any PGY1 trainees you know, thanks!
0
0
3
@wjsivmd
Will Smith M.D.
1 year
Fellowship of the Heme season Lord of the SF3B1 season 😮‍💨💃😎🙋‍♂️
0
0
0
@wjsivmd
Will Smith M.D.
1 year
0
0
6
@wjsivmd
Will Smith M.D.
1 year
What an exceptional lecture!? So impressed with the mechanistic/foundational approach here, looking forward to looking at these GI cases with a new set of eyes Kudos Dr @emma_furth
@emma_furth
Emma Elizabeth Furth
1 year
My teaching aims to be logical, understandable, and applicable. Enjoy. #pathology #pathologist #teach #CriticalThinking
0
0
5
@wjsivmd
Will Smith M.D.
2 years
This has been a humbling experience and I am in awe of people who are able to *be residents* and get things like this done - very grateful to have this up and running after a lengthy submission and revision process. Thanks in advance for anyone who takes the time to fill it out!
0
0
1
@wjsivmd
Will Smith M.D.
2 years
https://t.co/uLFCJsfJmK Any questions, please let me know! WSU IRB-23-08-6108 Approved 6/10/2024 - Exempt DMC Research Review Process FORM 21510
Tweet card summary image
docs.google.com
Part 1: Research Information Sheet
1
0
1