
USC BME
@uscbme
Followers
371
Following
154
Media
86
Statuses
281
Official account of the Alfred E. Mann Department of Biomedical Engineering at USC Viterbi School of Engineering. https://t.co/xo7Yw5a5f9
Los Angeles, CA
Joined August 2018
Biomedical engineers at @USCViterbi examined the sclera - the whites of our eyes - discovering surprising facts about the tissue's stiffness. The results could be important for future treatments for #glaucoma, #myopia, and ocular trauma.
viterbischool.usc.edu
USC biomedical engineers have shown that tissue stiffness does not always follow fiber orientation - an exception with implications for glaucoma, myopia, and ocular trauma.
1
4
4
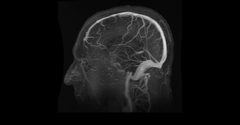
New @USCViterbi biomedical engineering research could change how we understand and treat Alzheimer's. The work examines the critical role played by the brain's blood flow dynamics. https://t.co/XnT3a5DPOJ
#Alzheimers
viterbischool.usc.edu
New USC Viterbi-led study focusing on brain's vascular dynamics challenges the current prevailing method of dementia diagnosis and treatment.
1
4
5
It was a long and exciting day to hear science from the brightest rising stars in Analytical Chemistry. Congratulations to the awardees. Here features the first prize winner Olga Eremina, Postdoc at USC Biomedical Engineering. Congratulations
1
1
4
Congratulations to @USCViterbi BME chair and precision medicine expert Peter Yingxiao Wang, who is a finalist for the Falling Walls Science Summit 2025 (@falling_walls) in Berlin during November. https://t.co/ye8cFO0Mli
#FallingWalls #ScienceSummit25 #ScienceBreakthrough
0
0
3
USC researchers from @USCViterbi and @KECKSchool_USC have shown how the spinal cord controls the bladder in real time using ultrasound imaging. This first-of-its-kind study could lead to new treatments for incontinence.
viterbischool.usc.edu
A first-of-its-kind study offers hope for future treatments of urinary incontinence caused by neurological disorders, aging and other conditions.
0
4
3
A research team from @USCViterbi and @KECKSchool_USC has unlocked the brain’s internal code that sorts our visual memories into categories — a bit like the brain’s filing cabinet of imagery. https://t.co/0LA9LPhLjV
0
2
2
A revolutionary new wireless implant offering personalized chronic pain relief. Read more about the latest research from the Zhou Lab from @USCViterbi @KECKSchool_USC.
viterbischool.usc.edu
USC researchers have developed a groundbreaking ultrasound device that could reduce our reliance on addictive painkillers.
0
2
3
New research shows imaging tools captured surprising improvement in older women’s brains - from the Borzage Lab @ChildrensLA with @USCViterbi BME researchers.
chla.org
MRI analysis tools developed by CHLA team detected unexpected improvement in brain health in older women—with applications for kids with vascular diseases.
0
3
3
New research from @USCViterbi @TheChungLab: How a naturally derived nanoparticle could change the game for atherosclerosis and kidney disease. https://t.co/KootcZ4yv5
0
2
10
DID YOU KNOW: a group of @uscbme students created an award winning concept in less than 24 hours at this year’s Make-A-Thon competition? Lily Shui, Hannah Mock, Sarah Rundquist, William Ouyang and Lincoln Lam created a knee sleeve paired with a game-like app to make pediatric
0
2
3
New research led by @USCViterbi BME assistant professor Vasileios Christopoulos has uncovered the brain mechanism that controls how we can quickly change course — an insight that could have implications for Parkinson's treatments and more.
viterbischool.usc.edu
Biomedical engineering research at USC has unraveled a mystery of motor control that could be a game-changer for disorders like Parkinson's and could aid in the development of bio-inspired systems.
0
1
1
Announcing the 2025 USC Viterbi Keynote Commencement Speakers. See the link to learn more. https://t.co/ni1v8CZcJG
0
5
4
The research has been published in @CellCellPress. Read more about it here:
viterbischool.usc.edu
USC Viterbi researchers have engineered a new immune cell that when activated by ultrasound can continuously sense and destroy cancer cells for extended periods.
0
1
1
Biomedical engineers from the @USC Wang Lab in @USCViterbi have created a breakthrough immune cell that can sense and destroy tumor cells for extended periods. #cancer #immunotherapy
1
3
9
Huge congratulations to @TheChungLab who has just been elected a 2025 @aimbe Fellow!
viterbischool.usc.edu
The American Institute for Medical and Biological Engineering recognized Chung for her extensive body of research in nanobiomaterials for drug delivery, diagnostics, and tissue restoration for...
1
6
28
Today, I’m in DC for my elected induction as Fellow @aimbe. It was also an honor to go to Capitol Hill for congressional meetings and discuss science and engineering education, research, and our nation’s innovation enterprise. 🌸 🏛️
4
5
84
Meet Arjun Karnwal, the USC Viterbi @uscbme sophomore who developed an algorithm that is helping pediatric cancer patients. Read more at the link: https://t.co/evxiCW6Xoi
0
2
3
Congratulations to @USCViterbi Professor of Biomedical Engineering Practice Jean-Michel Maarek for winning the 2025 John J. Guarrera Engineering Educator Of The Year Award from the Engineers' Council. https://t.co/0Z60dXJKyA
0
0
1
USC Viterbi researchers are developing innovations to help understand and restore the body when it breaks down. Read about it in this feature in Trojan Family Magazine. @uscbme @uscviterbi_ame @USC
today.usc.edu
USC researchers are revolutionizing how we treat disease by harnessing stem cells as “living medicine.”
0
2
4