
preLights
@preLights
Followers
7K
Following
5K
Media
1K
Statuses
4K
A preprint highlights service run by the biological community and supported by The Company of Biologists
Cambridge, England
Joined December 2017
🚨 Call for preLighters!🚨 Help us highlight the most exciting biological preprints. Share your insights, build your profile, and be part of a supportive community! 🌍 Interested? Apply today & help shape the future of science publishing! 📢 More info: https://t.co/SJeh69HFGU
0
5
6
CLEC4E as a key driver of damaging inflammation in influenza. Did you see the latest post of Charis Qi highlighting work of Christian V. Forst & team @IcahnMountSinai? #preLight #SystemsBiology ⬇️👀 https://t.co/zW3vFo9LrY
prelights.biologists.com
CLEC4E as a Key Driver of Damaging Inflammation in Influenza
0
0
1
Extracting the central dogma from a single cancer biopsy.🧬 @labs_mann show that clinically meaningful, high-quality data can be obtained from archived protein-rich flowthrough that is usually discarded. #preLight from Erik @KirstyMFerguson @Lange_Lab ⬇️ https://t.co/n7HlSi7XVd
prelights.biologists.com
Extracting the central dogma from a single cancer biopsy
0
0
0
Thanks to Dr. Vibha for the update! One thing I’d add is that the reviewers’ push to validate our computational model led to a new main figure demonstrating we can predict changes in motility, which I’m particularly happy with!
Insightful #postLight just uploaded by @SVibha1 👀 She revisits work from @JonathanAKuhn and team, originally posted as a preprint and now published in @NatureCommunications postLight:
0
1
3
Insightful #postLight just uploaded by @SVibha1 👀 She revisits work from @JonathanAKuhn and team, originally posted as a preprint and now published in @NatureCommunications postLight:
prelights.biologists.com
The cytoskeleton talks back and has a bi-directional influence on cell polarity.
"The cytoskeleton talks back and has a bi-directional influence on cell polarity"... Check out my latest @preLights post 👇covering the @biorxivpreprint from the team of Peter Devreotes with a response from first author @JonathanAKuhn. https://t.co/AtlYgzjHPI
0
1
2
Hsp70 phosphorylation stalls cell cycle, buying time for DNA repair. 🧬 Ana Sanchez-Molina: “This #preprint provides detailed mechanistic, biochemical, and genetic evidence of a conserved mechanism of cell cycle regulation in response to DNA damage.” 👀⬇️ https://t.co/7qYkhIiVR0
prelights.biologists.com
Hsp70 phosphorylation stalls cell cycle, buying time for DNA repair.
0
1
3
Being active when everyone else is asleep 💤 @wirthstef highlights work from Jona Lopez Pedersen & team (Toxopeus Lab @stfxuniversity) exploring why & how the stonefly Allocapnia pygmaea survives subzero temperatures. #preprint
#preLight #Ecology ⬇️👀 https://t.co/Evyekwa9cA
prelights.biologists.com
Being active when everyone else is asleep: why the stonefly Allocapnia pygmaea survives subzero temperatures
0
1
27
Lot of new preLights this week 🙌 @LiRuoheng36210 discusses a study from the Extavour Lab @redmakeda studying an extraordinary case of epithelial morphogenesis. How shrimp embryos set up an epithelial checkerboard: down and across. #preLight #DevBio ⬇️👀 https://t.co/FCtxUfaFSA
prelights.biologists.com
How shrimp embryos set up an epithelial checkerboard: down and across
0
3
12
Excellent #postLight uploaded by @coffee_lipe! He revisits work from Werner van der Meer & colleagues (@NoursharghLab @joachimgoedhart @VanBuul_lab) originally posted as a preprint and now published in @CellReports postLight:
prelights.biologists.com
No road? No problem ! Squeezing through cell tunnels helps leukocytes reach their target sites
No road? No problem! Squeezing through cell tunnels helps leukocytes reach their target sites. 🚇 Felipe (@coffee_lipe) covers a #preprint studying the paracellular transmigration of neutrophils. @NoursharghLab @joachimgoedhart @VanBuul_lab
#preLight ⬇️
0
0
1
Stopping norovirus at the gate. 🚧 In her first preLight, Leonie Brüne explores work from Maryna Chaika & team (@stefantaube) highlighting polyamines as a possible new lead for therapeutics against norovirus. #preprint
#preLight #Immunology ⬇️👀 https://t.co/dBayrwc2wM
prelights.biologists.com
Stopping norovirus at the gate: Polyamines as a possible new lead for therapeutics against norovirus
1
0
1
How do cells sense & respond to lipid imbalances? What happens when a disease-relevant enzyme is blocked? Shiying Huang investigates phosphoinositides with the Balla lab & discovers an integrated cellular response boosting synthesis of alternate lipids! https://t.co/ZhJsQysyhu
1
15
62
Crypto’s new wave is coming from it’s from infrastructure with personality. Projects like idOS @idOS_network and HeyElsa @HeyElsaAI, both under the Wallchain umbrella, aren’t chasing hype; they’re rebuilding the foundation of how people and systems connect on-chain.
7
1
14
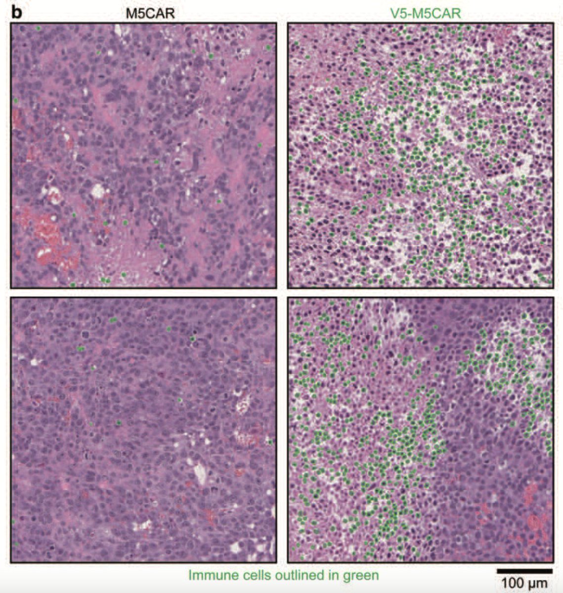
CAR T therapy has seen great effectiveness in liquid tumors, but little in solid tumors (e.g. ovarian cancer). Here we developed hyper-migratory CAR TV cells to infiltrate en masse ovarian tumors. (green = CAR TV cells) Read it here: https://t.co/RR9brDqafP
2
40
210
Our next #DevPres webinar focusses on development across scales with talks from Osvaldo Contreras @osvaldoics & Yinan Wan @yinan_wan, chaired by our Executive Editor Alex Eve. 📅15 October, 09:00 BST (UTC+1) Register here: https://t.co/nHbF9ngqdE
0
5
13
We have developed a new workflow to map in 3D at single-cell resolution whole human organs. Prof. Rong Fan (Yale) mapped out immune cell populations in the vicinity of ovarian precancerous lesions in healthy women and found no enrichment. More here: https://t.co/UoTgbRKGT0
2
33
144
Happy October 1st! A good time to share another #CellBio preprint reading list put together by a team of preLighters: @NathSristilekha, Matthew Davies, @SVibha1, @coffee_lipe & Barbora Knotkova. Check out their picks ⬇️👀 https://t.co/2mmJxlDxQr
prelights.biologists.com
0
3
2
Our latest ‘call for preLighters’ closes tonight! Interested, but didn’t find the time to write an application? Expressions of interest are also welcome – just email us at prelights@biologists.com Why join? See what other preLighters have to say…⬇️👀
0
1
3
Turning back the clock on stem cells. 🕒 Did you see the preLight @SVibha1 posted last week highlighting the #preprint of Eva Mejía-Ramírez & team? #preLight: https://t.co/SAtDoMa08S This work was also discussed in a recent webinar ⬇️👀
prelights.biologists.com
Turning back the clock on stem cells.
ICYMI – the recording from FocalPlane features… @preLights LIVE is up! preLighters @coffee_lipe & @SVibha1 present their live preLights & share research talks from Carmen Rodilla-Ramírez and Eva Mejía-Ramírez. #preprints #cellbio #microscopy
https://t.co/xOfzIEmcQc
0
2
4
ICYMI – the recording from FocalPlane features… @preLights LIVE is up! preLighters @coffee_lipe & @SVibha1 present their live preLights & share research talks from Carmen Rodilla-Ramírez and Eva Mejía-Ramírez. #preprints #cellbio #microscopy
https://t.co/xOfzIEmcQc
focalplane.biologists.com
FocalPlane features... preLights recording - News
0
2
4
Shape-shifting RNAs 🪄 Structural cues drive partitioning and active remodelling in stress granules for rapid cellular recovery - #preprint from the lab of @ywan_wan, highlighted by @moh_jalloh10
#preLight ⬇️👀 https://t.co/4PRWHzqtDg
prelights.biologists.com
Shape-Shifting RNAs: Structural Cues Drive Partitioning and Active Remodeling in Stress Granules for Rapid Cellular Recovery
0
1
1
/n Excited to share my first PhD paper, published in Development🥳 What if fish gills —often overlook —hold secrets about development, patterning, and function? We uncovered how early patterning shapes adult gill architecture. https://t.co/3L2RN1YB6Q
#Zebrafish #devbio #science
1
8
9
A new preprint from the lab. I won't do a tweetorial until this is peer reviewed, but I think it's a banger, led by @JedNzy. It's about Rubisco and what chaperones are really for. He's on the market, get him while you can. https://t.co/1nnCjqfce1
biorxiv.org
Molecular chaperones assist with the folding and assembly of protein clients. Consequently, they are essential to diverse cellular functions. In most aerobic photosynthetic organisms such as β-cyan...
1
15
38