o_sadaney Profile Banner
Ahmed O. El Sadaney, M.D. Profile
Ahmed O. El Sadaney, M.D.

@o_sadaney

Followers
941
Following
472
Media
29
Statuses
144

Research Fellow @mayoRadiology| #FutureRadRes #MATCH26 | AAMC ID: 16601470 | Clinical Rad, Photon Counting CT, and AI |Proud Husband❤️@lina4AoS|Chess|Pickleball

Mayo Clinic, Rochester
Joined September 2023
Don't wanna be here? Send us removal request.
@o_sadaney
Ahmed O. El Sadaney, M.D.
1 month
Hello #MedX, I’m Ahmed El Sadaney, a 2023 graduate of Cairo University 🇪🇬 and a research fellow at Mayo Clinic. Applying to Diagnostic #Radiology in #Match2026. AAMC ID: 16601470. My journey has been guided by compassion for patients and the goal of being a dependable
16
33
550
@o_sadaney
Ahmed O. El Sadaney, M.D.
13 days
Honored to see our work recognized by @SocietyAbdRad! I was fortunate to collaborate with a multidisciplinary team across @MayoRadiology @ClinicRadiology @CincyChildrens! @DavidBruiningMD @NouranOsami @priya_dave_md
@SocietyAbdRad
Society of Abdominal Radiology | SAR
13 days
Crohn disease strictures are a vital diagnosis for radiologists to make & may herald additional complications! Luckily, this amazing #SAR25 review has you covered! @o_sadaney , @MayoRadiology
0
0
4
@o_sadaney
Ahmed O. El Sadaney, M.D.
13 days
Congratulations 🎉
@AhmedTaherMD
Ahmed Taher, MD
15 days
I'm honored to announce that my program has approved an accelerated pathway, allowing me to combine my Chief Resident year with the #Emergency Radiology/#Musculoskeletal (ER/MSK) #fellowship. This unique opportunity enables me to "catch up" at least one year after the many years
1
0
3
@ElsayesKhaled
Khaled Elsayes
18 days
A reminder for Residency applicants Life is too short; we must live with purpose. The cornerstone of our success as physicians is to remember the noble mission of this profession; we are here to alleviate patient suffering and preserve their lives. #radres #futureradresident
0
9
169
@MayoRadiology
Mayo Clinic Radiology
20 days
🏆 Congrats to Dr. Shaojie Chang of the CT Clinical Innovation Center for winning the RSNA 2025 Trainee Research Prize (Physics) for his work on stabilizing CT radiomic features using AI-driven virtual monoenergetic imaging. A huge achievement! 👏 @RSNA @cic_ct #RSNA2025
0
1
7
@MedBlendPub
MedBlend
20 days
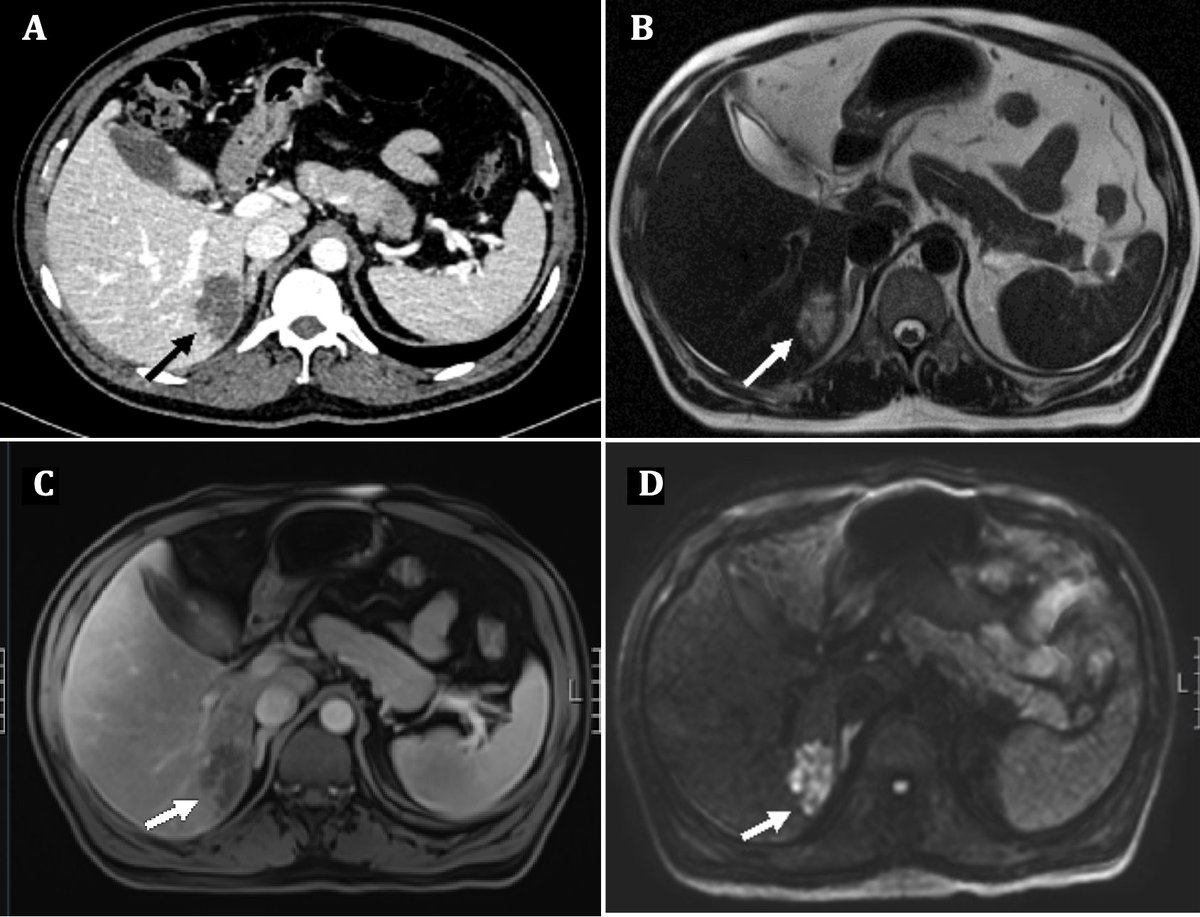
#CaseOfTheDay 🦠 📍 61M with fever & RUQ pain, describe the image findings and drop you diagnoses below! Bonus points if you know the causing organism .. #LiverImaging #Radiology #InfectionImaging #MRI #CT #MedEd #RadRes
2
4
35
@IowaMed
Carver College of Medicine
24 days
Aaron Brake, MD, is one of the 2025–2026 Iowa Innovation Leadership Fellows. 🎖️ A radiology resident focused on tech-forward care, he’s exploring how AI and innovation can improve imaging, triage, and the clinician experience https://t.co/nOy4Htwqjp
0
3
14
@ealperen97
Esref Alperen Bayraktar, MD
30 days
Hello #MedX, I'm Esref Bayraktar, an #IMG from Turkey🇹🇷and a research fellow at Mayo Clinic @MayoNeurvascLab. Super excited to be applying for #radiology in #Match2026. AAMC ID: 15460355 Happy to connect with mentors and future colleagues! #futureradres #radres @Inside_TheMatch
7
16
194
@MCW_VIR
MCW VIR
2 months
#MedStudents & #FutureRadRes: Mark your calendars for October 9th ✏️📅 for our virtual OPEN HOUSE 🏡 to learn more about our @MCW_VIR residency programs + get your questions answered! 🙌 RSVP at the link 👉 https://t.co/eQHXHlVmPs #MedTwitter #Match2026 #InsideTheMatch
0
4
6
@mswradiology
Mount Sinai West Radiology
1 month
The Mount Sinai West radiology residency virtual open house is one week away! See below to register #radres #futureradres
@mswradiology
Mount Sinai West Radiology
2 months
Recruitment season is back! Please join us on September 30th for our virtual open house session to learn why Mount Sinai West is the best place to train. To register, scan the QR code or use this link: https://t.co/Qlj69rrslz @MountSinaiDMIR #radres #mountsinai #mountsinaiwest
0
5
19
@learnneurorad
Divya Gunda
1 month
@iantmark, previous William T Hanafee Grant Award winner, illustrating the use of photon counting CT for challenging pituitary cases. @ASHNRSociety #ASHNR25
0
5
15
@o_sadaney
Ahmed O. El Sadaney, M.D.
1 month
Thank you, Amr! Appreciate the support and sure you will match too ❤️ 🤝✨
@amrelmahdi0
Amr Mohammed
1 month
@o_sadaney It’s a match 🤞🏼❤️🔥
0
0
4
@o_sadaney
Ahmed O. El Sadaney, M.D.
1 month
Crohn’s strictures and penetrating complications, we are missing them in big academic centers. In 250 cases, reports missed TI strictures 22% and penetrating disease 6.4%; take home message: When Crohn’s is the indication, actively rule in/out both. @Abdominal_Rad
link.springer.com
Abdominal Radiology - Crohn’s disease (CD) is characterized by enteric inflammation, often resulting in strictures and penetrating complications, which may alter patient management prior to...
0
0
0
@Elmallahy_M
Mohamed Elmallahy
2 months
I'm Mohamed Elmallahy 🇪🇬, a research fellow at #MayoClinic. Grateful for the U.S clinical rotations and poster presentations that have shaped my journey toward #IMResidency. Soccer ⚽️ is my favorite sport. Excited to connect with peers! AAMC ID: 16399683 #Match2026 #MedTwitter
8
22
383
@o_sadaney
Ahmed O. El Sadaney, M.D.
2 months
🧠🚨 New in Diagnostics (@Diagnostics_MDPI): We report striking photon-counting CT images of aberrant internal carotid arteries & associated skull base foramina—important variants to recognize for safe interventions. 🔗 https://t.co/wvFd39iUnW @MayoRadiology #Radiology
1
0
6
@o_sadaney
Ahmed O. El Sadaney, M.D.
2 months
Congratulations bro🎉
@Ibrahim_Gomaa95
Ibrahim Gomaa, MD
2 months
🌟New pub! 🚨 Impact of down-staged lateral pelvic lymph nodes on local recurrence in rectal cancer patients. Grateful to @DrDavidLarson for his mentorship & all my coauthors! https://t.co/fk9dvKgNmQ @MayoClinicSurg @JournalofGISurg
0
0
2
@InasMohamed_MD
Inas Mohamed, MD, MS
2 months
Proud to share our @UHRadiology department’s journey building a preclinical elective... “Cultivating the Next Generation of Radiologists: A Single Institution’s Experience with Preclinical Elective for Medical Students”🩻🎓📚 @CPDRJournal @pedraddoc1 https://t.co/i18DrQmyGL
0
7
27
@EMiddlebrooksMD
Erik Middlebrooks, MD
2 months
Our team is excited to be kicking off our next wave of 7T innovations between @SiemensHealth and @MayoRadiology here at #MayoClinicFlorida! Also thrilled we get to host superstar developer Patrick Liebig on his first visit to 🇺🇸 Our collaborations are built around one theme—“Go
1
4
31
@MedBlendPub
MedBlend
2 months
Honored to feature an outstanding panel of experts for one of the most critical areas in liver imaging 📚 A must-watch for anyone looking to sharpen their understanding of cirrhosis, HCC, and the role of imaging in guiding management #LiverImaging #Radiology #LIRADS #radres
0
2
6
@RyanBPetersonMD
Ryan B Peterson 🇸🇪
2 months
Medical students/future #radres- we want to meet you! Join us for our Virtual Open House Sept 6. Come learn more about us. If you have questions, we have answers. Scan the QR code or click https://t.co/cO1hLqKSqv to sign up today! #radiology #radiologyresidency #match2026
1
13
72