KiKo
@kiko4docs
Followers
2K
Following
665
Media
313
Statuses
1K
KiKo is bringing doctors together on a new social platform. Tell your story and network with other doctors in your field.
Joined August 2019
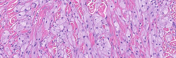
What are these structures called in a nevus? What other tumor has similar structures? Answer (in comments): https://t.co/fRfFXKdTNk More posts from Dr. Moesch @moesch_john: https://t.co/PDDJDJQ9zI
#medTwitter #pathology #pathTwitter #dermpath #dermatology #dermtwitter
2
5
13
Pancreatic mass in young adult male. EUS FNA. What is the diagnosis? What single stain could confirm it? Answers: https://t.co/kmA0SMNXp1 More posts from Dr. Ingram @Chucktowndoc
https://t.co/AbWavDR6Nx
#pathology #pathTwitter #medTwitter
3
13
38
What would you call this lesion? WSI digital slide, Dermoscopy, & Answer (in comments): https://t.co/aAxZVS8Hz4 More posts from Dr. @VKazlouskaya
https://t.co/BVubeedX0g
#medTwitter #pathology #pathologists #pathTwitter #dermpath #dermatology #dermatologia #dermtwitter
2
1
13
For morphology lovers. Diagnosis? More pics & Answer: https://t.co/PJZ2tyrYhl More posts from Dr. Cho @DrAldehyde
https://t.co/sPFJIhwq8h
#medTwitter #pathology #pathologists #pathTwitter #dermpath #dermatology #dermatologia #dermtwitter
2
6
12
Posterior mediastinum of a woman. Diagnosis? More pics (with immunostains) & Answer: https://t.co/tawgac9eQM More posts from Dr. Cho @DrAldehyde
https://t.co/sPFJIhwq8h
#pathology #pathTwitter #medTwitter
3
7
26
Young adult with lip lesion. Special stains negative. Diagnosis? Answer & More info: https://t.co/j5UwtP4n6P More posts from Dr. Rutland @TristanRutland7
https://t.co/xCtRyZHvPC
#pathology #pathTwitter #medTwitter #oralpath #ENTpath
0
6
20
Older adult patient, shin lesion. Diagnosis? Answer (in comments): https://t.co/2Rk8UJTLHp More posts from Dr. Lozeau @LozeauMD
https://t.co/qG97rHRZvG
#medTwitter #pathology #pathologists #pathTwitter #dermpath #dermatology #dermatologia #dermtwitter
0
3
8
63 M brain mass. Biopsy. Immunostain results & Diagnosis: https://t.co/Y3J73drlvS More posts from Dr. Graham @DanGrahamMD
https://t.co/bGx2XkJpWU
#pathology #pathTwitter #medTwitter #neuropath #neurosurgery
0
3
12
What is this myxoid tumor? Answer: https://t.co/zCdcEG2GAA More posts from Dr. Hassell @HassellLewis
https://t.co/o8R8yDaf5o
#pathology #pathTwitter #medTwitter #BSTpath
0
2
11
What would you call this? Would you even comment? Answer: https://t.co/azXXUosrJb More posts from Dr. Hassell @HassellLewis
https://t.co/o8R8yDaf5o
#pathology #pathTwitter #medTwitter #gynpath
0
2
5
50 year old man with bloating, abdominal pain and some diarrhea. Diagnosis? Answer: https://t.co/XfrtwTIcpP More posts from Dr. Hassell @HassellLewis
https://t.co/o8R8yDaf5o
#pathology #pathTwitter #medTwitter #GIpath #IDpath
0
4
7
M59 y/o. polyp (5mm ) located 5cm from the anal margin. Adenoma or.....? More pics & Answer: https://t.co/vmVlfOTOXv More posts from Dr. Rey @ReyPathology
https://t.co/QQ2lZTCnia
#pathology #pathTwitter #medTwitter #GIpath
1
1
13
What is that? Answer: https://t.co/JdCeqSgb9V More posts from Dr. Rey @ReyPathology
https://t.co/QQ2lZTCV7I
#pathology #pathTwitter #medTwitter
0
1
10
Skin lesion on the leg. F:49-year-old. What is your Dx? More pics & Answer: https://t.co/MePeAjzg9l More posts from Dr. Rey @ReyPathology
https://t.co/QQ2lZTCnia
#medTwitter #pathology #pathologists #pathTwitter #dermpath #dermatology #dermatologia #dermtwitter
0
3
15
What is your diagnosis? (hint: might be more than one!) WSI digital slide & Answer: https://t.co/YdaMJt6gVz More posts from Dr. @VKazlouskaya
https://t.co/BVubeedX0g
#medTwitter #pathology #pathologists #pathTwitter #dermpath #dermatology #dermtwitter
1
1
11
Tracheal mass, young adult. Diagnosis? More pics & Answer: https://t.co/CkkoUXXoZy More posts from Dr. Rutland @TristanRutland7
https://t.co/xCtRyZHvPC
#pathology #pathTwitter #medTwitter #pulmpath
1
4
20
Vulva mass. Diagnosis? More pics & Answer: https://t.co/FuoINftEuI More posts from Dr. Rutland @TristanRutland7
https://t.co/xCtRyZHvPC
#pathology #pathTwitter #medTwitter #gynpath #dermpath
2
16
47
Parotid gland, adult. What is your diagnosis? Answer: https://t.co/p585YTGzCx More posts from Dr. Rutland @TristanRutland7
https://t.co/xCtRyZHvPC
#pathology #pathTwitter #medTwitter #ENTpath
0
10
38
Chest lesion, older male. Diagnosis? Answer: https://t.co/hVbBOx4RDW More posts from Dr. Rutland @TristanRutland7
https://t.co/xCtRyZHvPC
#pathology #pathTwitter #medTwitter
0
4
17
Digit, adult. Diagnosis? (You will be shocked!) Answer: https://t.co/fEShTYjSfS More posts from Dr. Rutland @TristanRutland7
https://t.co/xCtRyZI3Fa
#pathology #pathTwitter #medTwitter #BSTpath
0
6
22