Jasmeet Soar
@jas_soar
Followers
2K
Following
11K
Media
144
Statuses
8K
Cardiac Arrest Resuscitation Critical Care Quality & Outcomes own views
Bristol, UK
Joined January 2012
Summary outputs from the UK National Audit Projects. @doctimcook at #NSC25 #anaesthesia #anesthesiology #PatientSafety
0
17
28
Sometimes you have to give noradrenaline in a hurry! Here are the working party recommendations for administering peripheral noradrenaline. #anaesthesia #MedTwitter
https://t.co/2QKLPWOYXl
1
37
127
Badly injured kids are, fortunately, not part of every day business for most anaesthetists, so here’s a concise, practical and up to date manual for the anaesthetic management of paeds trauma. It’s completely free to access on the @APAGBI website. https://t.co/V0fuKxBiiW
apagbi.org.uk
3
34
77
Been scribbling for my surgical colleagues again. A column about decision-making, it's core role in clinical practice and why it is so hard these day https://t.co/JsyDZJXa4z
bjsacademy.com
Welcome back to Dr Paul McCoubrie’s a 'view from the dark side' — a series looking at the world of surgery through the lens of a radiologist _______________________ Several years ago, a corridor...
0
1
5
@RCoANews The message is…..we need to exclude oesophageal intubation by identifying SUSTAINED EXHALED CO2 -CO2 rises & falls with respiration -sustained (non-fading, >7 cycles) -amplitude >1 KPa -clinically appropriate It replaces ‘no trace wrong place’ which is insufficient and
1
8
18
Consultant anaesthetists, Dr Andrew Kane & Professor Gerard Danjoux from University Hospitals Tees are recruiting 100 patients with a broken hip to take part in a randomised clinical trial @CAREFUL_STUDY. @adk300 @SouthTees @NIHRresearch @YorkTrialsUnit @HullYorkMed
Consultant anaesthetists, Dr Andrew Kane and Professor Gerard Danjoux from University Hospitals Tees are recruiting 100 patients with a broken hip to take part in a randomised clinical trial, funded by @NIHRresearch Read more... https://t.co/nZRxhCgXEv
0
1
4
🫶The European Resuscitation Council is pleased to announce an open webinar on 'In-flight Emergencies: Resuscitation and Beyond at 30.000 Feet' scheduled for Tuesday, September 2, 2025, at 19:00 hours, Brussels time (CET). 💙We cordially invite you to join the webinar and learn
0
6
13
There has been a lot of debate recently about the promise of real world data - the routine (observational) data collected on patients eg treatments received, clinical outcomes etc – for estimating treatment effects. But can they deliver? 1/9 #MethodologyMonday #123
1
19
43
Amazing work by first author Lykke Intramuscular adrenaline is a promising intervention but more work are needed for it to work Intramuscular adrenaline to improve outcomes following cardiac arrest – An experimental porcine study - Resuscitation
resuscitationjournal.com
To investigate early intramuscular adrenaline as an add-on treatment for cardiac arrest in a clinically relevant porcine model. We hypothesized that intramuscular adrenaline would improve return of...
1
4
14
📣 ILCOR is looking for 1-2 qualified individuals who are not members of ILCOR to volunteer their time and expertise to assist in adopting AI methods. 💙 Terms of reference 👉 https://t.co/Bst3160yvS ❤️Apply by Friday, August 22.⏰ 👉 https://t.co/zayM1FrfZ8
#ILCOR #AI #savelives
1
6
15
Watch our CEO, James Cant, explain the impact of lifesaving changes being made by @DVSAgovuk 👇
People sitting their driving theory test will soon need to swot up on life-saving CPR skills. James Cant from the Resuscitation Council UK told #BBCBreakfast why all learner drivers should learn the basics and know how to use a defibrillator in an emergency
1
10
35
🧠💡 Turing Test for CPR Images — Can You Spot the AI? Today I set a very specific challenge for an AI image generator using the new ChatGPT-5 model: Produce a realistic, high-resolution training scene of CPR and AED use, fully aligned with the @ERC_resus Basic Life Support 🧐
2
1
6
✅ #RESUS25: Special Registration Fees for the participants from low and lower-middle-income countries. 🫶 If you are from low and/or lower-middle-income countries, this is very important announcement to consider the opportunity to join the world’s leading resuscitation
0
3
8
Incidence and outcomes of out-of-hospital cardiac arrest from initial asystole: a systematic review and meta-analysis https://t.co/q1lZZgqhYa
#Resuscitation
resuscitationjournal.com
To examine global variation in the incidence and outcomes of Emergency Medical Services (EMS) attended and treated out-of-hospital cardiac arrest (OHCA) from initial asystole.
0
12
12
Pre-hospital ECPR for Refractory Cardiac Arrest – The PRECARE pilot feasibility study https://t.co/F7ZQJ95h5o
#Resuscitation
resuscitationjournal.com
Survival from refractory out of hospital cardiac arrest (OHCA) treated with conventional cardiopulmonary resuscitation (CCPR) remains low. Extracorporeal cardiac resuscitation (ECPR) is increasingly...
0
16
19
Neurologic etiologies of cardiac arrest are associated with early withdrawal of life-sustaining therapy https://t.co/okFez9sLc9
#Resuscitation
resuscitationjournal.com
Neurologic etiologies of cardiac arrest are uncommon and understudied. We described the characteristics of patients who arrested from neurologic etiologies and tested the hypotheses that survival,...
1
5
14
Long-term functional outcomes and health-related quality of life following in-hospital cardiac arrest (IHCA): A systematic review https://t.co/JC1IHPUAS0
#Resuscitation
resuscitationjournal.com
To evaluate long-term functional outcomes following in-hospital cardiac arrest (IHCA).
0
6
6
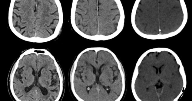
Radiological signs of hypoxic-ischaemic encephalopathy on head computed tomography for prediction of poor functional outcome after cardiac arrest – a prospective observational cohort study https://t.co/NCGkZcdO6j
#Resuscitation
resuscitationjournal.com
Qualitative assessment of hypoxic ischaemic encephalopathy on computed tomography (CT) after cardiac arrest is limited by interrater agreement. We explored how qualitative assessment can be improved.
0
10
9
Prediction of good functional outcome decreases diagnostic uncertainty in unconscious survivors after out-of-hospital cardiac arrest https://t.co/S3HUWugsT7
#Resuscitation
resuscitationjournal.com
To explore modifications of the 2021 European Resuscitation Council/European Society of Intensive Care Medicine (ERC/ESICM) guideline algorithm for neuroprognostication after cardiac arrest to...
0
3
10