
Herb Herbers
@herbersh
Followers
1K
Following
272K
Media
1K
Statuses
70K
Husband, Father, Grandfather, brother, multi horse, dog, and cat household. Veterinarian who also shows jumping horses, ride's Kawi's and plays hockey.
Joined November 2012
RCMP Testimony confirms: 1) Justin Trudeau broke the law 2) He abused his power by interfering in a criminal investigation & removed the AG 3) He used his position as the PM to avoid prosecution despite breaking the law 4) He obstructed the RCMP’s investigation into his
115
1K
3K
mRNA "vaccines" function as chemical lobotomies — causing SEVERE brain damage & DEVASTATING mental health. They increase your risk of: 1️⃣ Cognitive impairment (+137.7%) 2️⃣ Depression (+68.3%) 3️⃣ Anxiety disorders (+43.9%) 4️⃣ Sleep disorders (+93.4%) 5️⃣ Alzheimer’s (+22.5%) 6️⃣
Professor Sucharit Bhakdi: "I am no longer optimistic anymore." "I'm afraid that these mRNA vaccines have already done their job." "We're seeing... billions of people whose brains are not working anymore—not as they should be." "They are altered."
77
815
1K
UPDATE from Universal Ostrich Farms: Jim Kerr is ok, there was another yesterday. Mike Quigley was arrested yesterday by RCMP while tracking a CFIA command RV. I previously posted Jim's charges and I will post Mike Quigley's once I have them. The most important thing to
89
683
2K
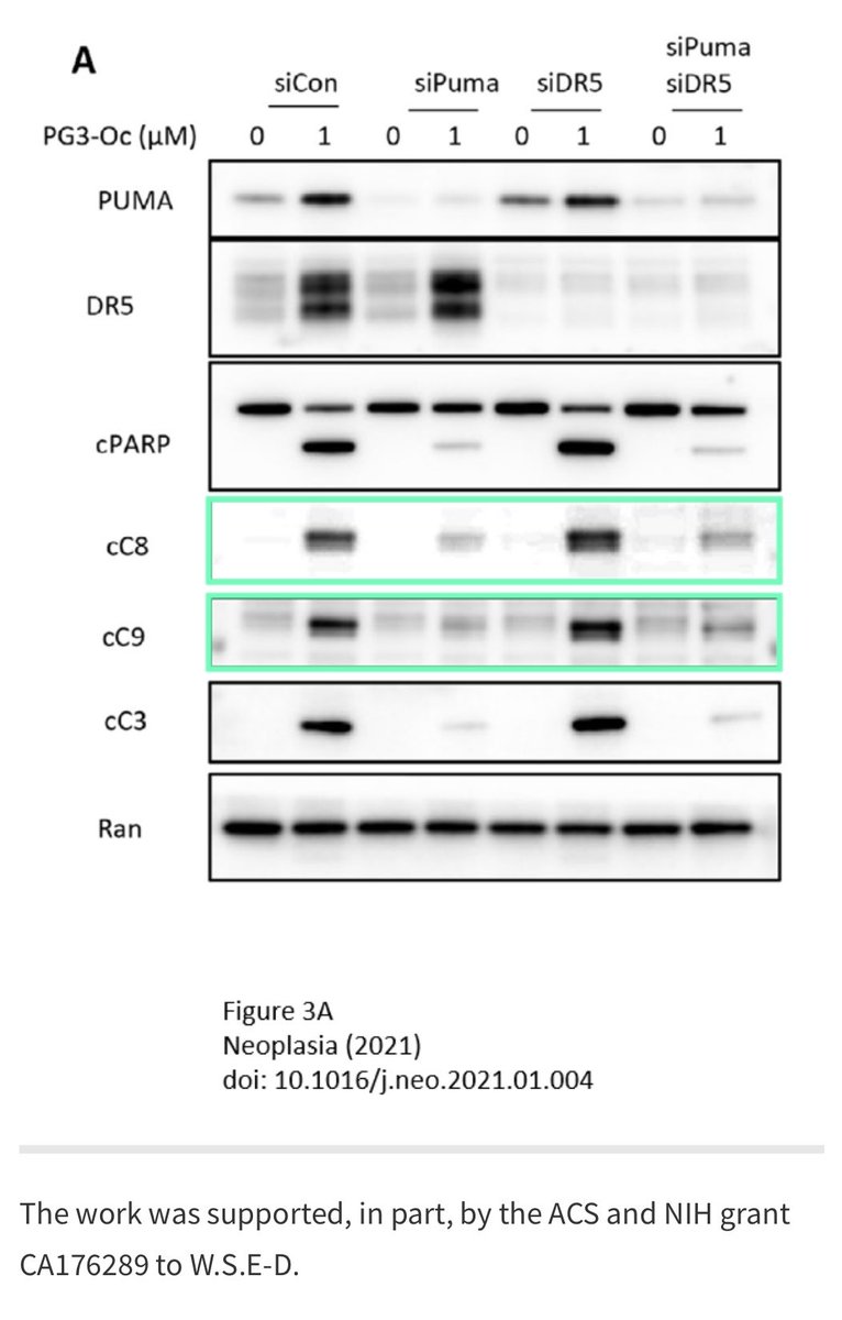
The image analysis amateurs at PubSmear are back to squinting at blots with zero code to back up their claims. The unemployable should learn to code. And actually write a methods section and defend your accusations on the same scrutiny table as the original paper.
Here is another example from PubPeer of a baseless non-expert non-peer comment. The comment and anyone is welcome to look at the evidence that shows how these are not experts and not peers. They are attacking and smearing reputations anonymously in a public way in a criminal
3
15
46
A Rebuttal: You're take on what Pierre said needs an update from a fellow Montreal Conservative. Your post is a touching eulogy Dimitris for a Conservative Party that exists more in nostalgia than in reality. You speak of history, principle, and purpose, while scolding Pierre
The Conservative Party that was shaped by the nation-building of Sir John A. Macdonald, the moral conviction of John Diefenbaker, the bold ambition of Brian Mulroney, and the steady discipline of Stephen Harper is far greater than any one man. It is a party rooted in history,
163
549
2K
🚨Beware: This study isn't even a safety study, its a "convenient looking study" and it's not "good", it's fatally flawed, yet published anyway, allow me to explain: 1ºAnalysis's focused solely on live births (fatal selection bias), excluding non live-births, where teratogenic
3
21
54
Carnage Carney Bankers Delight.
Expect lots of people to be de-banked shortly, in Canada. The media is warming us up for it. Generally, banks do not need to tell you WHY they debank you. Normally, they provide 30 days notice. Sometimes they provide none. Prepare accordingly. LOST FREEDOM FILES # 2342
0
0
1
The large study that compared totally unvaccinated with vaccinated children is well done and its results are very plausible given what we know about vaccines and infections. https://t.co/hrIhqW8B0F. It is very concerning and must be repeated by others. @cdcgov @US_FDA @NIH
11
123
387
Maybe all the vax injured who follow me can explain to Martijn that you are NOT delusional conspiracy theorists.
@Kevin_McKernan @StaplesLab @MaryanneDemasi @jeffreyatucker @TonyNikolic10 @ClareCraigPath @JesslovesMJK @dragonfishy @RWMaloneMD @weldeiry @Humanspective @DrEliDavid @kenjaques Inventing non-existent side effects for a perfectly safe vaccine is typical behavior for a delusional conspiracy theorist.
32
60
313
Imagine working 175 days a year and collecting a $114,000 dollar salary. In the private sector that’s equivalent to $165,000 a year. They are MORE than fairly compensated with the 2 offers they turned down.
🔔Teachers get a lot of time off Example: a school in Red Deer lists 186 classroom days, including 11 pro d days Remove pro d days & teachers are in class with students in that school for 175 days this year In much of the working world, there are about 240 workdays per year
179
219
1K
This map is the most realistic result of the inevitable balkanisation that is coming to Canada. Alberta eats most of the former Northwest Territories. Québec achieves freedom after centuries. The Lower Mainland becomes their own Singapore. Natives in BC become sovereign.
104
74
392
Horrible take by the Federal Government Propaganda Division. The Liberals have stolen and wasted so much money, making Canadians poor and suffering, so therefore they should not be held accountable for past thefts, as there has been so many recent thefts. Liberals Logic Sucks
There’s no doubt there was serious wrongdoing in the SNC affair and obvious disinterest in investigating it among the senior ranks of the RCMP. I just don’t think Canadians given all the challenges they’re facing today are much interested in relitigating yesterday’s scandal.
0
0
0
Things the RCMP has not charged the Liberals for: ✅ Green Slush Fund: Billion dollars (refused to hand RCMP documents & froze government) ✅ SNC-Lavalin: Trudeau interfered. Fired attorney general. Major corruption charges. WPG Lab ✅ WE Charity: $912M contract. Trudeau
228
2K
5K
THE ALBERTA NURSES UNION LIED TO NURSES DURING COVID CALLING COVID SHOTS "SAFE AND EFFECTIVE". Nurses were forced to get experimental shots that never should have been given to healthy people. Now many nurses struggle with myocarditis and autoimmune disorders because the UNA
94
215
762
Prof Morris must have nightmares about being overwhelmed with mice, correcting his pharma advertisements at every turn.
When "real world" data is this complete and the findings are too good to be true - contradicting those from the @CDCgov's own V-safe registry... It's likely to be synthetic, until proven otherwise. There is ZERO reason to restrict this data. https://t.co/LWZOYeodjS
0
2
11
So they put the food out of reach of the ostriches, then @rcmpgrcpolice arrests the guy who pushes the food so the ostriches can actually eat it. A week after the @InspectionCan starve an ostrich to death. Protected by the armed goons of the RCMP. Who arrest the individual
BREAKING OSTRICH FARM NEWS: Here is why Jim Kerr was arrested at the farm today. I’m told the CFIA has responded by restricting the birds from coming to this corner of the pen where supporters normally view them. More to come at https://t.co/ziF2wnLm2P
175
2K
3K
Our Autopsy Study Should MANDATE an Immediate FDA Class I Recall of COVID-19 "Vaccines" We proved that they CAUSE DEATH, documenting 240 autopsy-confirmed vaccine fatalities. Most died within a week of the shot—primarily from heart damage, brain clots and multi organ failure.
96
758
2K
When "real world" data is this complete and the findings are too good to be true - contradicting those from the @CDCgov's own V-safe registry... It's likely to be synthetic, until proven otherwise. There is ZERO reason to restrict this data. https://t.co/LWZOYeodjS
4
59
204