Explore tweets tagged as #pathART
@Gloria_SuraMD
Gloria Sura, MD
20 hours
Oophorectomy revealing what type of tumor? Answer: https://t.co/jQMtsgHdwl #PathArt #PathTwitter #MedTwitter
5
3
37
@Pathologists
CAPathologists
3 days
Congratulations to December's #PathArt winner, Dawn Roselio Imperio, MD (as voted by the CAP's Digital Content Committee). Check out Dr. Imperio's piece, titled "Stained Glass." CAP members, submit your PathArt for January 2026 here: https://t.co/JwUjG7pN4p
2
4
11
@VandaTorousMD
Vanda Torous MD
15 days
Trichome: a cute ✴️ slide contaminant #CytoPath #PathArt #PathTwitter #TGIF 😎
1
7
29
@megha_lalcheta
Dr. Megha Lalcheta MD
3 days
H&E Bouquet 💐 #Pathart A case of renal lymphoma ( showing glomeruli and sheets of malignant lymphoid cells) #Pathology #Renalpath #pathresidents #Renallymphoma #Surgpath #PathX #PathTwitter
0
10
38
@Gloria_SuraMD
Gloria Sura, MD
13 hours
Bronchoalveolar lavage revealing a parasite coiled among alveolar macrophages. What is the diagnosis? Answer: https://t.co/XT35tXcysr #IDTwitter #PathTwitter #MedTwitter #CytoPath #Cytopathology #Cytology #PathArt
2
2
7
@ziad_zaatari
Ziad El-Zaatari
16 days
🔬📷 Glomerulus ~ Jones Silver Stain ~ #Pathology #Histology #RenalPath #Kidney #PathArt
0
11
41
@VDermida
Vida Ehyaee
5 days
Beautiful gift from our incredibly talented resident and artist, @MeredithKHerman. #HemePath #HappyHolidays2025 #PathArt https://t.co/SJpBco3zQb
1
1
10
@ziad_zaatari
Ziad El-Zaatari
23 days
🔬📷 Autolyzed Renal Tubules ~ #Pathology #Autopsy #RenalPath #PathArt
0
7
32
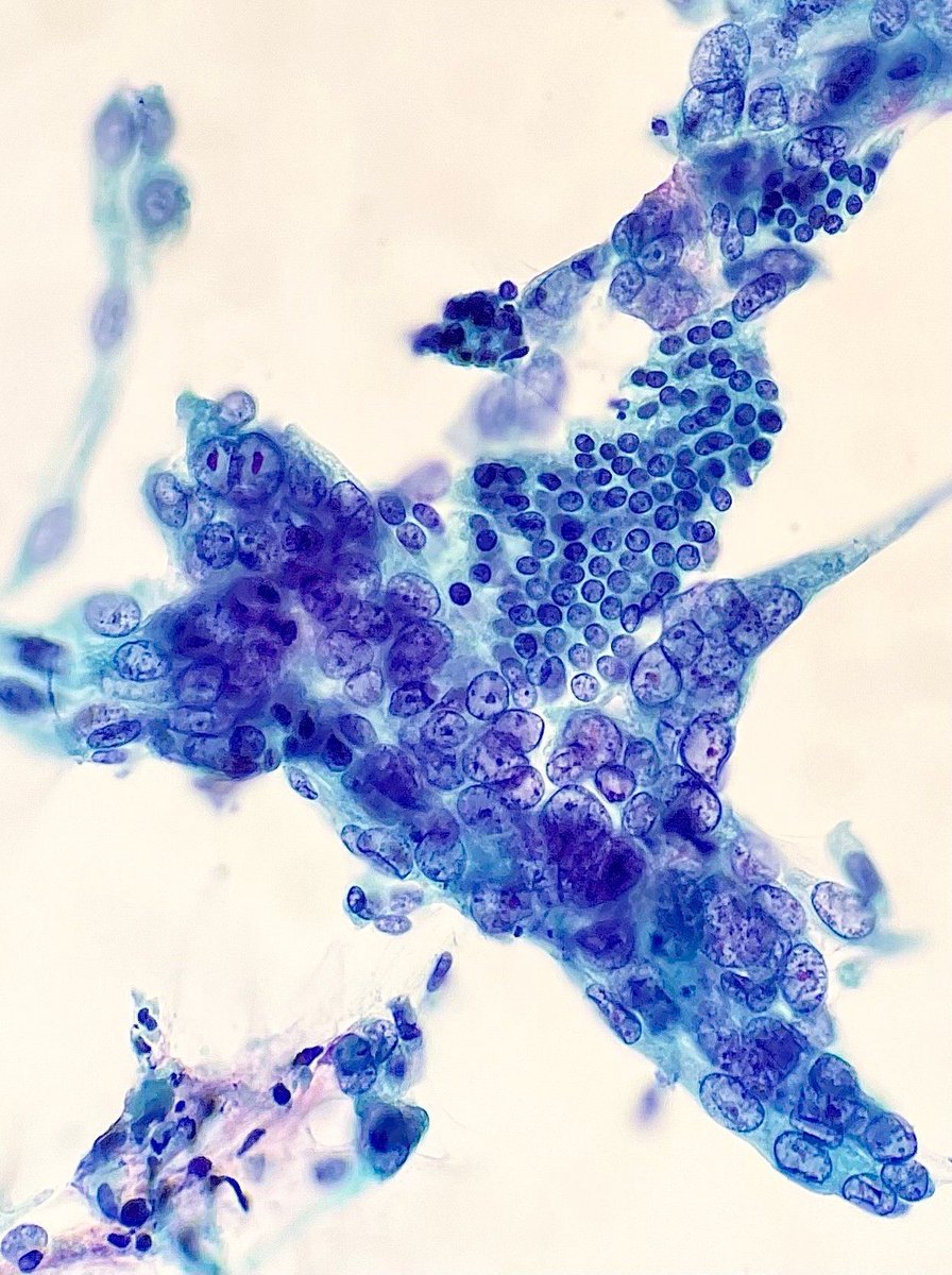
@Gloria_SuraMD
Gloria Sura, MD
4 days
Endoscopic fine needle aspiration of a mass in the head of the pancreas. What is the diagnosis? Answer: https://t.co/mrsQk63IUT #PathArt #PathTwitter #Cytopath #Pathology
10
26
139
@pathodoodles
Pathodoodles by Deeksha Sikri
5 days
Check out this Holiday Edition explaining a few holiday-themed terms in #pathology and get inspired to decorate your "Christmas tree" with "string of beads", cannon "balls", and "wreaths"! #neetpg #usmle #usmlestep1 #inicet #fmge #pathart #meded #medicalillustration
1
5
26
@Pathologists
CAPathologists
1 month
November's #PathArt winner is @ziad_zaatari! Voted by the Digital Content Committee, his art showcases a tumor composed of two cell types: ductal/epithelial cells with true lumens and myoepithelial/basaloid cells. CAP members, submit your PathArt by 12/1 https://t.co/XejWmUN80y
1
8
25
@ziad_zaatari
Ziad El-Zaatari
11 days
🔬📸 The Beauty of Immunofluorescence Microscopy! A PLA2R positive glomerulus in a case of primary membraneous glomerulonephritis ~ #Pathology #RenalPath #Kidney #Microscopy #Photomicrography #PathArt
0
11
41
@ziad_zaatari
Ziad El-Zaatari
20 days
🔬📷 Proximal Renal Tubules ~ #Pathology #Histology #RenalPath #PathArt
1
8
33
@drdoubleb
Brett Baskovich, MD
3 years
Another animated #PathArt - Great Wave of Small Round Blue Cells. This one got a little out of control 😅 #pathology #pathologists #pathtwitter #medtwitter #art #greatwave #animatedart #painting #piratesofthecaribbean #animation #aftereffects
0
31
103
@ziad_zaatari
Ziad El-Zaatari
12 days
🔬📷 Lipofuscin Pigment (yellow) in heart muscle cells ~ #Pathology #Histology #Heart #CVpath #PathArt
2
5
33
@UllahAteeqa
Ateeqa Mujeeb Ullah
8 days
Meet scopey, the crochet microscope 🔬 feat. the talented @katreetree_ #PathArt #PathX #PathTwitter #Christmas2025 #DirtySanta @PathologyUSAH
2
2
42
@Gloria_SuraMD
Gloria Sura, MD
2 days
Fine needle aspiration of a lump on the neck of a young man. What is the diagnosis? Answer: https://t.co/TZK1TRMq9D #CytoPath #PathTwitter #MedTwitter #DermTwitter #PathArt
3
5
42
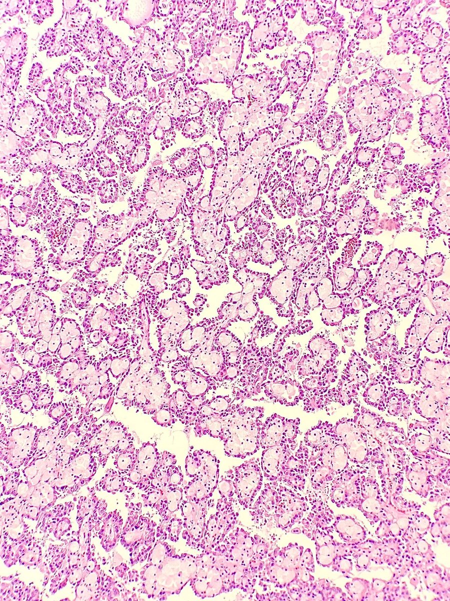
@Gloria_SuraMD
Gloria Sura, MD
3 days
Nephrectomy specimen revealing small cuboidal cells are seen arranged in a single layer around papillary cores containing foamy macrophages. What tumor is this? Answer: https://t.co/E0xAZaHCR8 #PathArt #PathTwitter #Cytopath #Pathology
4
21
89
@pathologistmag
The Pathologist
4 days
🎨 Calling all #PathArt creators! Pathology Captures 2026 submissions is open w/ @ESCMID! Submit 'food safety' artwork for a chance to feature in Pathology Captures & the 2026 ESCMID Global Art Gallery. 📩 Send name, affiliation + details to: edit@thepathologist.com #Pathology
0
4
10