Explore tweets tagged as #extensor
@RheumMSKUS
Rheumatology US Case-based Learning
11 days
Pearl: Pay extra attention to the Extensor Carpi Ulnaris (ECU) tendon when screening for early rheumatoid arthritis. ✔️ECU tenosynovitis -> strong predictor of very early RA
0
1
15
@cherryjiniret
gigi ⏳
10 days
@Ruby16___ this shouldn’t even be a discussion because it’s her body and it’s nobody’s business, but you can literally see the extensor tendons of her hand😕
11
231
2K
@MSKUS_PT_KSA
Abdulwahed AL zaher
7 days
Extensor Carpi Ulnaris (ECU) tenosynovitis تعلم معنا في MSKUS
1
6
42
@Fred__Duncan
Fred Duncan
4 days
Correlation doesn’t equal causation. But it also doesn’t mean “ignore it.” Elite sprinters consistently have larger hip extensors, and a chunk of sprint performance differences can be explained by hip extensor size and total volume. That doesn’t mean growing your glutes
3
0
27
@Carlos_Vassan
Carlos Vassan
3 days
¿Así lucirá el #OPPOFindX9Ultra? se han filtrado renders y las specs amigos y se oye una verdadera joyita 📱 💻AMOLED 2K 💿Snapdragon 8 Elite Generación 5 🔋7300 mAh 📸Autofotos de 50 MP, 200 MP + 50MP + teleobjetivo 3X de 200 MP 📷Extensor de teleobjetivo de 300 mm y zoom
2
4
88
@ThePrehabGuys
Prehab®️
5 days
Your knees go over your toes every day. The issue isn’t the position, it’s the capacity to tolerate it. As forward knee translation ↑, knee extensor torque & PFJ/tendon demand also ↑. That load isn’t bad, but it has to match tolerance. Progressive exposure builds capacity!
0
25
152
@CakePath
A. Sarah Erem
9 days
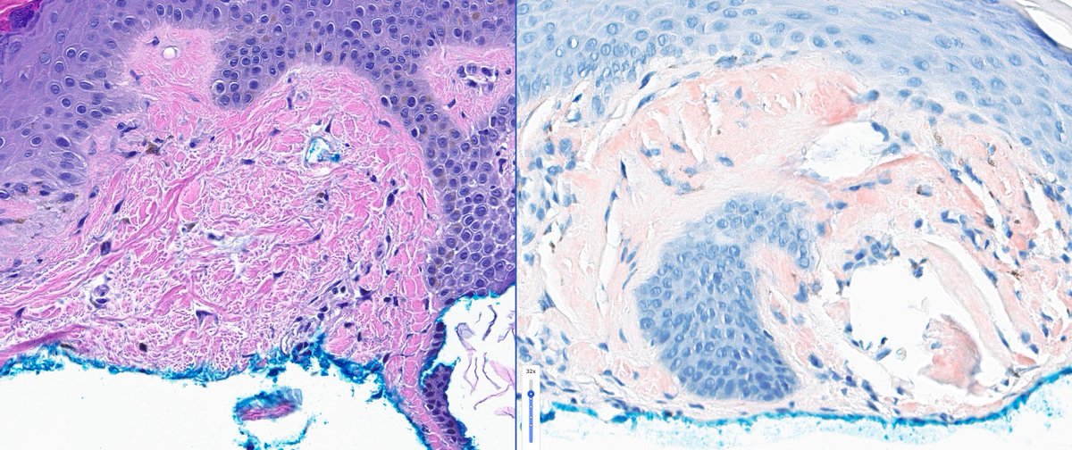
Happy Saturday 😊 - Macular amyloidosis! 🩺 Rippled hyperpigmented macules (often pruritic) on upper back/extensor arms; associated with chronic friction. 🔬 Scant papillary dermal amyloid with basal hyperpigmentation ± pigment incontinence; minimal inflammation. 🧪 Ancillary:
1
10
30
@albertoortegana
C.Alberto Ortega
10 days
@DrAkhilX Vitamin A Explanation: The image shows follicular hyperkeratosis (phrynoderma or “toad skin”), characterized by: Rough, follicular papules Predominant involvement of extensor surfaces (arms, thighs, buttocks)
18
32
829
@esanum
esanum
3 days
@doctors_squad ✅ Diagnosis: Phrynoderma (Toad skin) 📍 Hyperkeratotic papules over extensor surfaces ⚡️ Rough, dry, follicular skin 🔷 Caused by Vitamin A deficiency 💡 Watch for similar findings with deficiencies of B complex & E
0
3
17
@pompermarioMD
Mario Pompermayer, RhMSUS™
7 days
A small structure, but a frequent source of diagnostic confusion in anterior ankle pain👇🎯 🔹Gruberi bursa (bursa mucosa of Gruberi): a dorsal ankle bursa lining the inferior extensor retinaculum (frondiform ligament) over the EDL tendons, extending from the sinus tarsi.
@DrJN_SportsMed
James Noake
7 days
Consent✅ Unusual foot presentation Ironman, 50s Tight running and cycling shoes, plus increase in gradient / incline running Increasing dorsolateral proximal midfoot pain and swelling Midfoot and subtalar joint testing negative for pain (although stiff) No ligamentous
1
4
34
@RheumMSKUS
Rheumatology US Case-based Learning
11 days
Same patient. Other than MCP-1 synovitis, what finding do you see here? Think extra-capsular inflammation... Do not forget to examine the extensor tendon 👉🏼 Notice the edema around the extensor tendon. See below for details and power Doppler clip 👇
2
1
6
@KarlApexFit
Karl Matt Button │ Apex Fitness Adv.
9 hours
4. Wrist Extensor Curls: How: ⚬ Sit with your forearm on a table, palm down ⚬ Hold a light weight (1-2 lbs) ⚬ Slowly raise your wrist ⚬ Then lower it back down over 3-5 seconds Reps: 10-15 reps, 2-3 sets, once daily. Tip: Start with no weight if painful, then progress.
1
1
6
@lunatika_shd
Lunatika
5 days
Regalado el extensor de wifi de TP-Link: es justo el que tengo acá en casa para que el wifi llegue a través de todas las paredes del Depto $39.400 https://t.co/pzjApFM4Zj
0
0
17
@esanum
esanum
9 days
@Doctors__squad 🔴 Diagnosis: Phrynoderma (follicular hyperkeratosis) 📍 Hyperkeratotic papules on extensor surfaces (elbow) ⚡️ Caused by vitamin A deficiency 💡 May also be linked to deficiencies in B complex, E, and essential fatty acids
0
0
26
@KarlApexFit
Karl Matt Button │ Apex Fitness Adv.
9 hours
1. Wrist Extensor/Flexor Stretch How: ⚬ Extend your affected arm straight out, palm facing down ⚬ Use your other hand to gently pull your fingers toward your body until you feel a stretch on the top of your forearm. Reps/Duration: Hold for 15-30 seconds, 3 times, 2-3 times
1
1
9
@GSERRANOB_MSK
Gonzalo Serrano-Belmar.
4 days
🖐️ Finger extensor apparatus – refined anatomy The digital extensor apparatus is a layered dorsal system with precise balance between central, medial, and lateral components: 🔹 Common extensor tendon – Main extrinsic driver at the MCP 🔹 Medial bands (interossei) – Intrinsic
0
9
54
@DrsansariOrd
Haji Siyamuddin ANSARI
3 days
@DrMedica_13 Correct answer: Vitamin A deficiency Spot diagnosis: Phrynoderma (toad skin) Why this fits: Rough, follicular, hyperkeratotic papules Classically distributed over extensor surfaces (elbows, knees, buttocks) Skin feels dry and sandpaper-like Pathophysiology (exam-oriented):
1
0
4
@inigoiri
Iñigo Iriarte Posse
7 days
Ecografía del codo: en la cara lateral podemos diferenciar dos planos clave: ▪️ superficial: tendón extensor común ▪️ profundo: complejo ligamentoso externo Requiere sondas de alta frecuencia para evitar errores de interpretación. #EcografíaMusculoesquelética #Codo# MSKFreak
0
20
146
@SameerYogi14
Dr Ajay yadav
9 days
@DrAkhilX Vitamin A deficiency The image shows phrynoderma (toad skin)-a type of follicular hyperkeratosis with rough, keratotic follicular papules, predominantly affecting extensor surfaces such as the arms, thighs, and buttocks.
0
1
2