Explore tweets tagged as #aansc
@ArielleKurzweil
Arielle Kurzweil
2 years
New friends and fun times #AANSC #AANwellness
1
1
20
@caseyalbin
Casey Albin, MD
2 years
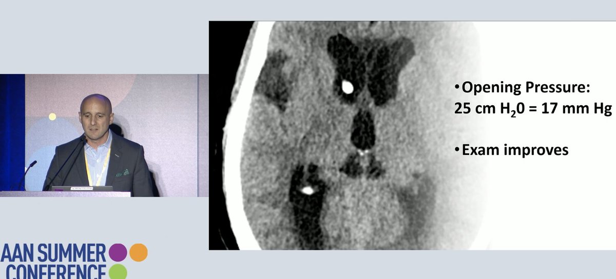
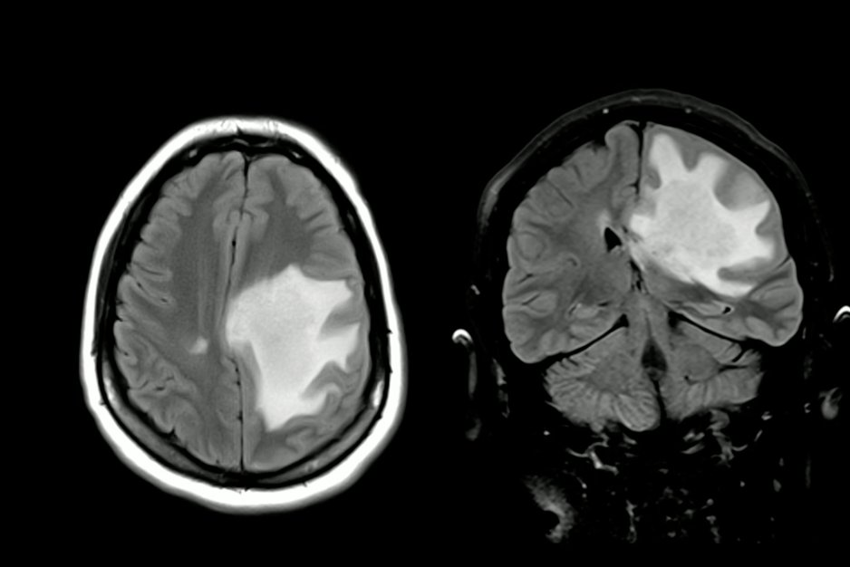
This is not GBM.... what is it, #NeuroTwitter?? the key -- pull your eyes away from the most exciting part of the brain (in this case the left) and look at the whole picture. From #JoshKlein's lecture @ #AANSC @aanmember
31
66
458
@yasminaghajan
Yasmin Aghajan
2 years
Day 1 of #AANSC on emergency and hospital neurology good sessions on updates in stroke and ICH trials, brain death, QI, challenging cases, TCD. Looking forward to neurocritical care tracks tmrw. @AANmember #Neurology
0
3
37
@caseyalbin
Casey Albin, MD
2 years
🌟Next up!🌟 #AANSC Dr. Karen Orjuela and Dr. Josh Klein discussing how to implement quality improvement in an academic medical center and leveraging that residents and fellows are so curious and wonder "why do we do it this way?"
0
10
25
@SaraMD94
Sara Muhammad, MD🧠
2 years
I had an exciting time in the #AANSC @AANmember I’m so ecstatic to meet my colleagues in neurology and learn from my mentors! So many incredible topics during the 1st day! An appreciation for the conference director @MarkMilsteinMD and an extremely valuable session about BURNOUT
0
2
26
@caseyalbin
Casey Albin, MD
2 years
#AANSC- EVT has dramatically changed the stroke landscape (slide 1). @rwregen walking us through the Nuts and Bolts of EVT including the trials (with bonus slides on the platform) and an updated overview of large core EVT, the way devices work and groin complications. @AANmember
0
5
23
@yasminaghajan
Yasmin Aghajan
2 years
#AANSC session on POC TCD was great. Really cool tool to add to clinical bedside and other radiology studies for indications other than SAH - ICP, stroke workup/stenosis. This hands on was best part of the conference @AANmember #neurology
0
1
12
@StaceyLClardy
Stacey Clardy MD PhD
1 year
Salon C15 - Prof. Nicholas Davies sharing a practical Approach to Infectious Encephalitides (Side note: I learned more in 15 minutes chatting with him at the @encephalitis international meeting in London than I otherwise would in an entire year - incredible clinician!) #AANSC
0
2
17
@asbeutah1
Saad
2 years
Stroke breakthroughs, big trials, and exciting workshops made this AAN meeting standout!! Some neuro pearls I found particularly interesting med student’s POV (a thread) @AANmember 🧠 #AANSC
2
5
61
@irenegoropeza
Irene Gómez-Oropeza
1 year
Muy feliz de haber presentado nuestro abstract en la Summer Conference de la @AANmember 🧠 !! Compartir ideas y espacios con los principales exponentes de la neuro autoinmune fue lo mejor de esta experiencia🌟 (ojalá primera de muchas) #AANSC
2
3
22
@ZahidAnza
Anza Zahid, MD
1 year
🗣️Come by our posters to learn more at the #AANSC @AANmember 🧠⚡️
0
0
12
@MarkMilsteinMD
Mark Milstein
2 years
Thrilled to see Sarah Bellum at #AANSC !! Day two is underway with three simultaneous tracks to choose! @AANmember #LifelongLearning
1
6
41
@StaceyLClardy
Stacey Clardy MD PhD
1 year
Prof. Bettina Balint - incredibly educational talk on autoimmune and immune-mediated movement disorders 🧠🔥 - she is speaking NOW in Session C12 at the @AANmember Summer Conference. #AANSC
0
1
20
@caseyalbin
Casey Albin, MD
2 years
Loving these difficult ICP cases by @namorrismd! The #bentobox concept is crucial! ICP is not the same across all compartments in the brain. I have been humbled by this on *multiple* occasions. For tips on verticalization, non-invasive ICP, & other refractory measures➡️ #aansc
3
5
30
@SaraMD94
Sara Muhammad, MD🧠
2 years
A stellar approach to the clinical hypothesis! One of my favorite talks in the #AANSC given by the greatest educator @AaronLBerkowitz I’ll carry these phenomenal methods with me going into residency next year with a goal to deliver this knowledge to my colleagues @AANmember
1
2
17
@jodiemburton
Jodie Burton
1 year
Looks like “take your daughter to work” day (from a distance). Fun with the ladies including ⁦@katayoun_a⁩, Samantha, Jackie and Helena #AANSC.
1
0
12
@caseyalbin
Casey Albin, MD
2 years
#AANSC We might be tempted to be like "kids these days..." when thinking about balancing work and trainee education and complaints about work, but #RayPrice and #ArielleKurzweil arguing maybe it's time to think about "hospitals these days..."
0
2
10
@caseyalbin
Casey Albin, MD
2 years
Want some more challenging cases?! #MarceloMatiello providing an overview of some challenging cases in #neuroimmunology. Catch it OnDemand @AANmember #AANSC
4
9
60
@rwregen
Robert Regenhardt, MD, PhD
2 years
Excited for the opportunity to talk about “Nuts and Bolts of Thrombectomy” tomorrow morning at the #AANSC in Minneapolis @AANmember
1
5
38