Explore tweets tagged as #ThursdayKnowledge
Cup shaped blasts ?AML NPM ?APL ?MPO https://t.co/r7SgB7muw7
#thursdayTB #thursdayvibes #thursdaythoughts #thursdaycommittment #thursdayknowledge
1
6
12
?Eosinophilia in infant ?reactive ?myeloid neoplasm ?FGFR1 https://t.co/tAWpRIhHCv
#thursdayTB #thursdayvibes #thursdaythoughts #thursdaycommittment #thursdayknowledge
0
5
11
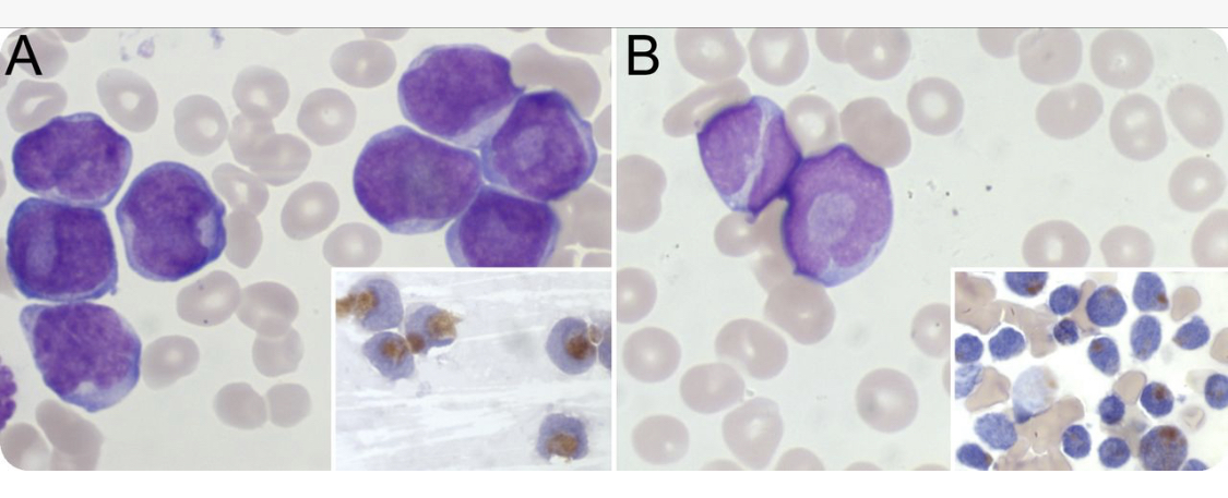
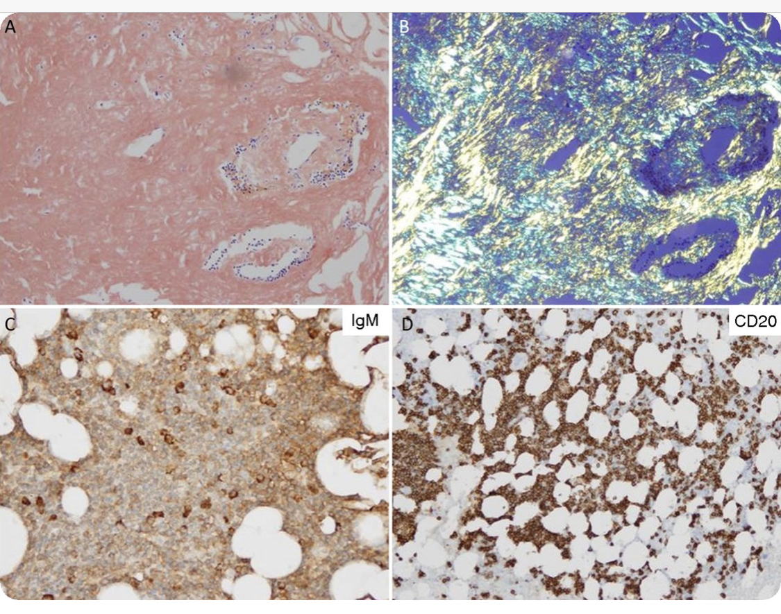
?fibrosis ?amyloid ?lymphoma ?LPL ?light chain https://t.co/1a7uFnkzZq
#thursdaythoughts #thursdayTB #thursdaycommittment #thursdayknowledge #thursdayvibes
1
2
4
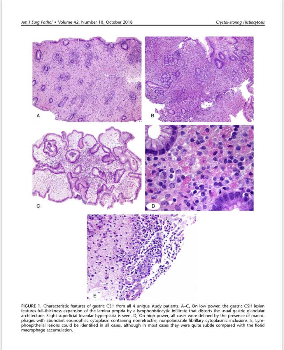
?monocytes ?macrophages ?CSH ?Xanthoma ?niemann pick A https://t.co/7pMCmQVAQr
#thursdayTB #thursdayvibes #thursdaythoughts #thursdaycommittment #thursdayknowledge
0
2
4
?AML ?MDS ?Mixed lineage https://t.co/k8szXCYlt3
#thursdayTB #thursdayvibes #thursdaythoughts #thursdaycommittment #thursdayknowledge
0
0
4
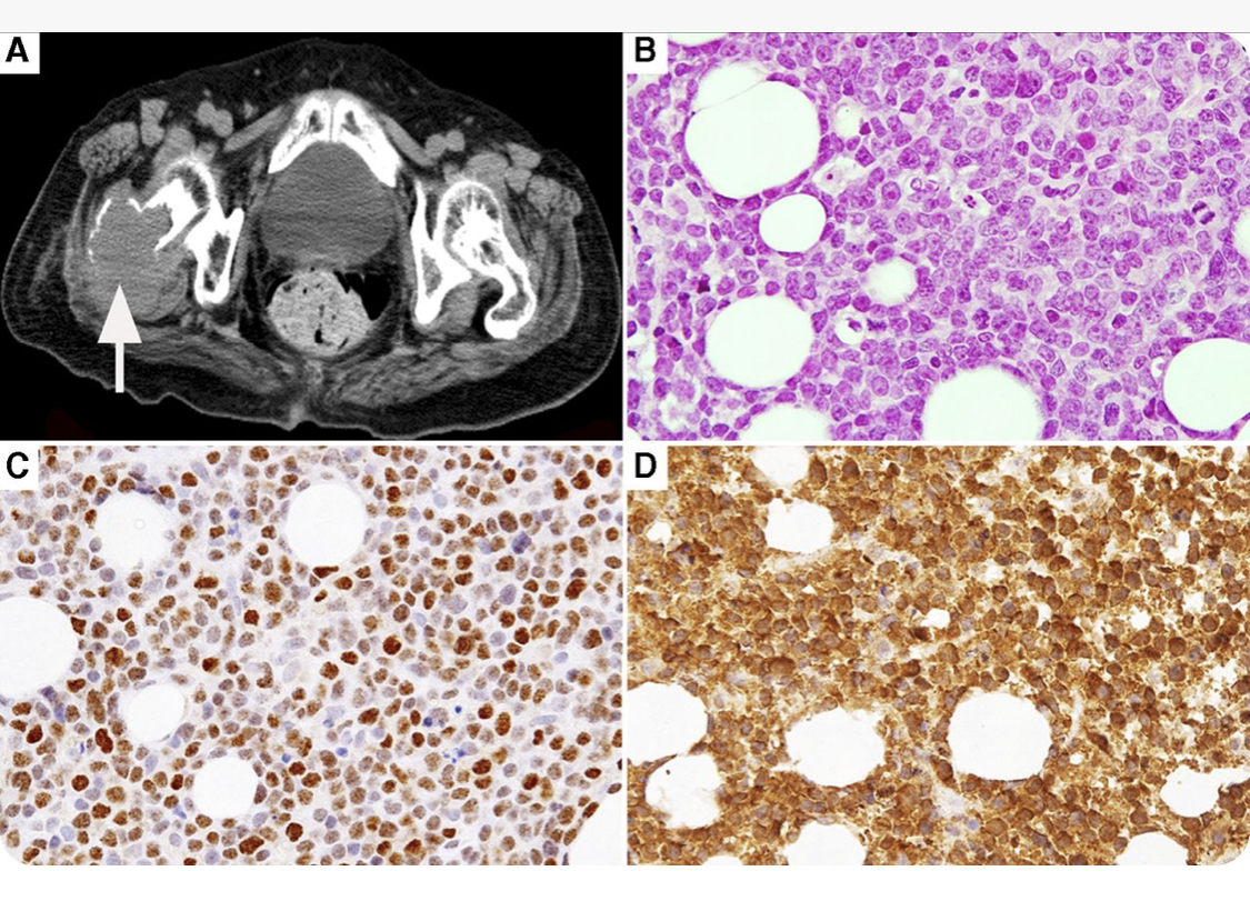
?hypercalcemia ?PTHrP ?CyclinD3 ?Blastoid MCL https://t.co/30HvnG0pVN
#thursdayTB #thursdayvibes #thursdaythoughts #thursdaycommittment #thursdayknowledge
0
1
1
?tadpole cells ?BPDCN ?CMMOL https://t.co/tFtW8ur0vR
#thursdayTB #thursdayvibes #thursdaythoughts #thursdaycommittment #thursdayknowledge
0
0
2
#RandomKNOWLEDGE #LëslieTHOUGHTS "HOW TO #SETaTABLE" for you #SIMPLEheauxs 🤪 #ThursdayKNOWLEDGE [shyit, this kinda' giving me PTSD flashbacks from #catering/#banquets/#events gigs...🥺😢😭]
0
0
1
#YOUREWELCOME... #RandomKNOWLEDGE #LëslieTHOUGHTS "#HOMEMADE #ICECREAM" for you #SIMPLEheauxs 🤪 #ThursdayKNOWLEDGE
0
0
0
Surround yourself with people who instill growth in your life and bring purpose to it. #theblackwalletzm
#rightpeople
#entrepreneurs
#thursdayknowledge #peoplewhochallengeyou
#lusaka
#zambia
0
0
0
?EBV lymphoma or hyperplasia uterine cervix https://t.co/eXSQWPAuck
#thursdayTB #thursdayvibes #thursdaythoughts #thursdaycommittment #thursdayknowledge
0
1
0
Have you ever heard a grandparent say, "I remember when a gallon of milk cost 30 cents!"? That's inflation! Inflation is when the prices of goods increase—essentially, at the same time—reducing your money's purchasing power & increasing the cost of living. #ThursdayKnowledge
0
0
0
“Through knowledge and devotion, transcend all Karma and be free” • ज्ञान और भक्ति के माध्यम से, सभी कर्मों से आगे निकलें और मुक्त रहें... #ThursdayKnowledge
0
1
7
?xanthoma ?eosinophils #GI #hemepath ?lymphoma ?CHS #journalclub #ismm #mountsinai
https://t.co/tM3vJXGEzE
#thursdaycommittment #thursdayknowledge #thursdaythoughts #thursdayvibes #thursdayviews
0
0
2
The power is in your hands and begins when you dial #TheCupdeJoe
#sticktothescript
#problemsolving
#changeisgood
#smallbusiness
#smallbusinessowner
#developement
#thursdayknowledge
#progress
#consistency
#entrepreneurlife
0
0
3
0
0
0
?Plasma Cells ?amyloid ?eosinophils #GI #hemepath ?lymphoma ?CHS #journalclub #ismm #mountsinai
https://t.co/tM3vJXGEzE
#thursdaycommittment #thursdayknowledge #thursdaythoughts #thursdayvibes #thursdayviews
0
1
3
Let's discuss Guava. #DidYouKnow
#thursdayknowledge
#ladies #hairloss #organicremedy #guavaleaves
#slay #NaturalHairTwitter #guavahealthbenefits
#chefholu
0
1
4