Explore tweets tagged as #ProstateAI
@kis_lorand
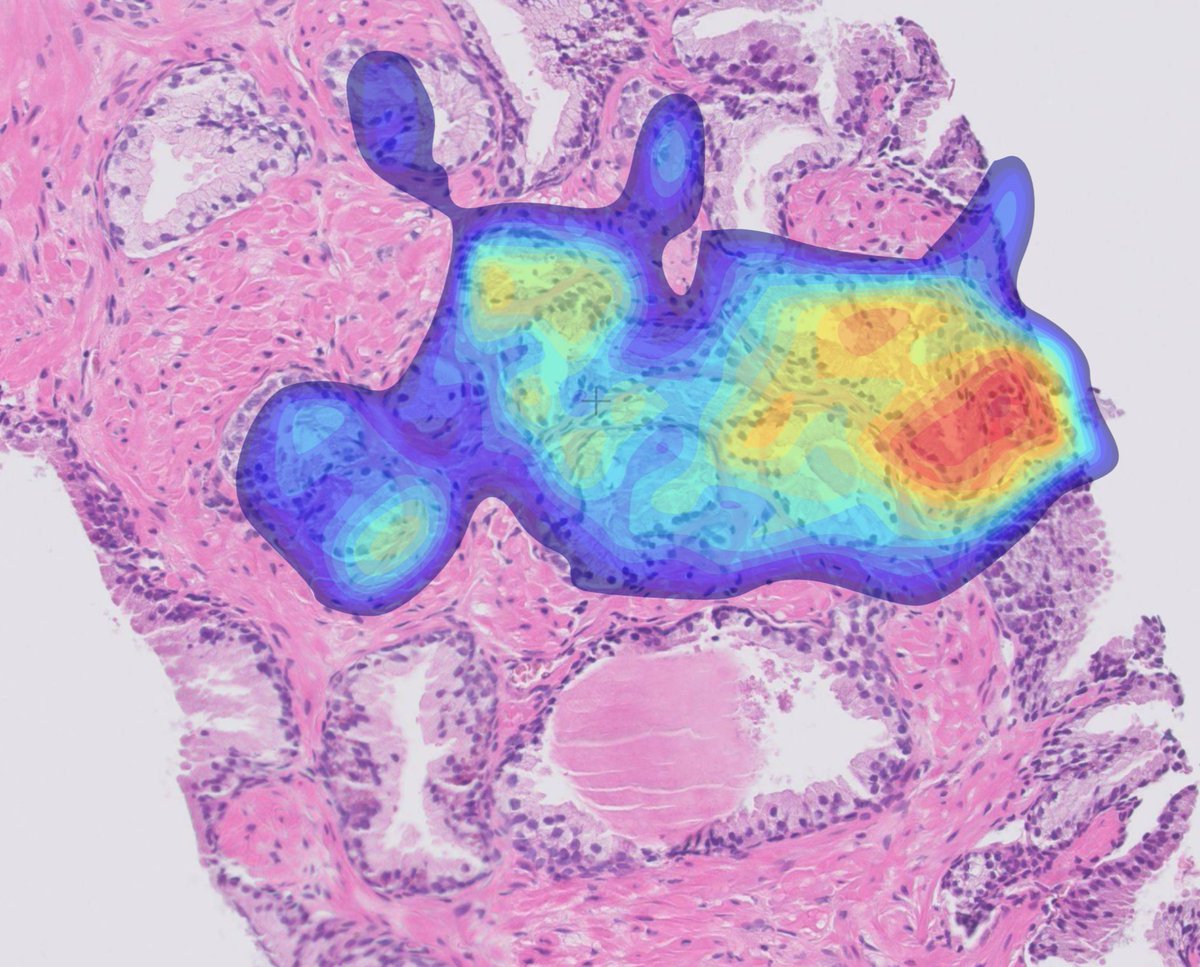
Lorand Kis
3 years
My favorite #prostateAI finding 😁👇 Only the legs are missing 😁 #pathology #@IbexMedAx
1
0
11
@clariusmhealth
Clarius
2 months
November is Men's Health Awareness Month. 💡 Prostate AI is here: Get accurate prostate volume in seconds—no calipers. Elevate your practice and screen with confidence. Learn more: https://t.co/cyQQyftMmx #Clarius #ProstateAI #MensHealth #POCUS
0
0
1
@JelleBarentsz
Jelle Barentsz
6 years
HenkJan Huisman warns us at #ESUI19 that #prostateAI should have large datasets (>100.000’s) and well annotated data, in order to become good enough. ⁦@ProfPadhani⁩ ⁦@MaartendeRooij⁩ ⁦@radiolobt⁩ ⁦@LondonProstate1⁩ ⁦@mrsprostate⁩ ⁦@vbloegager
1
5
14
@ezrainc
Ezra®
5 years
We are incredibly excited to announce that Ezra has received FDA 510(k) clearance for our Ezra Prostate AI — the first ever prostate segmentation AI to be cleared by the FDA. More details here: https://t.co/jTT9OEQYhg #ProstateAI #FDA
0
2
5
@ProfPadhani
Anwar Padhani
5 years
Nice video prestention in AI performance. Good all round progress made in prostateAI. @NickSchiedaMD @London Prostate @GGiannarini
0
7
13