Explore tweets tagged as #Neoadjuvant
@MyriamChalabi
Myriam Chalabi
3 days
Very proud and happy to share that our work on neoadjuvant IO in pMMR colon cancers has been published online in @Nature after presentation @myESMO #ESMO25. Preview: https://t.co/KR6mBytwV3 Read on how genomic instability, P53mt and proliferation may aid in predicting responses.
20
109
471
@DraMartinezLago
Nieves Martinez Lago MD PhD
2 days
#ESMO25 Publications NICHE – Phase II Nivo + Ipi neoadjuvant in pMMR colon cancer (n=31) ✔️ ORR 26% | 6 pts with MPR 🧫 ctDNA clearance in 5/6 responders 🔬 Responses despite low TMB; higher genomic instability & proliferative & TCF1+ signatures in responders 🔗
1
19
45
@OscarTahuahua
Oscar Tahuahua
18 days
Total Neoadjuvant Therapy for Rectal Cancer: Which Regimens to Use? https://t.co/W3JafDcIbj
2
77
202
@Annals_Oncology
Annals of Oncology
3 days
🆕 article in press: primary results from the randomized phase II TOUCH trial of neoadjuvant palbociclib + letrozole vs paclitaxel combo with trastuzumab + pertuzumab in pts with HR+/HER2+ EBC @LMalorni https://t.co/euPGLKqwUD
1
8
32
@Harada_T_
HARADA Tsuyoshi PhD (原田剛志)
15 hours
Clinical mechanism of muscle mass loss during neoadjuvant chemotherapy in older patients with esophageal cancer: a prospective cohort study 高齢食道癌患者の術前補助化学療法中の骨格筋量喪失の機序を検討した研究がopen accessになりました!! ぜひご覧ください。 https://t.co/D2m0tHHMSu
3
2
26
@ArndtVogel
Arndt Vogel
20 days
Neoadjuvant FOLFIRINOX vs neoadjuvant gemcitabine-based chemoradiotherapy in resectable and borderline resectable pancreatic cancer 🔎PREOPANC-2 phs 3 @LancetOncology https://t.co/zOC84qJIBX 👉FOLFIRINOX & gemcitabine-based regimens can be used in the neoadjuvant setting
3
42
128
@OncLive
OncLive.com
5 hours
Neoadjuvant osimertinib may mark a new chapter for EGFR-mutated NSCLC. @benlevylungdoc discusses the phase 3 NeoADAURA findings and how precision medicine continues to expand in early-stage disease. 🧬 Learn more: https://t.co/7AKUVjU8U9
0
0
1
@ProfGLongMIA
Professor Georgina Long AO (Bluesky @gvlongphdmd)
1 day
Please join me and other @MelanomaAus multidisciplinary experts at our specialist hybrid #symposium on Neoadjuvant Treatment, so we can ensure the recent PBS listings for #neoadjuvant regimens for Stage III melanoma translate into practice and ultimately better patient outcomes.
0
1
15
@AnaRuizW
ana ruiz
5 days
We have presented today our results on PREPANC trial at #ESMO2025. Our wonderful patients achieved clinical and statistically relevant improvements in respiratory capacity, physical fitness and QoL despite receiving FOLFIRINOX for #PDAC as neoadjuvant treatment.
3
3
9
@IKCCorg
IKCC Kidney Cancer
3 days
Under the guidance of Axel Bex (Vice-Chair of IKCC MAB), key opinion leaders in #KidneyCancer convened at #ESMO25 in Berlin to discuss the next steps for the International Neoadjuvant Kidney Cancer Consortium.
0
0
4
@alantanmd
Alan Tan
6 days
A new standard of care for cisplatin ineligible neoadjuvant/periop MIBC #ESMO25 3 separate ovations for EFS, OS, and pCR rate. Next horizon: bladder preservation. @OncoAlert @myESMO
1
10
30
@Gio_Marchegiani
Giovanni Marchegiani
1 month
It’s out!!! 🔥🔥🔥 The PREOPANC-2 is in @TheLancetOncol Neoadjuvant FOLFIRINOX 🤜🤛 Gemcitabine based chemoradiotherapy in resecatble / BR ⚖️ No difference in overall survival 😰 Serious adverse events 40% 👍 Both regimens may be considered https://t.co/9nfnPUyhCR
5
81
175
@diegoadiazg
Diego A. Díaz-García
22 days
🎯 Neoadjuvant immunotherapy across cancers. Evidence shows superiority over adjuvant approaches, setting new standards of care. Next steps: refine combinations, define perioperative strategies, and identify predictive biomarkers. 📖 @NatureCancer DOI 👉
2
66
192
@Vaital73
Alessandro Vitale
4 days
🚨 Just published in The Lancet and presented at #ESMO25! 👉 The CARES-009 trial is the first Phase III study showing that perioperative (neoadjuvant + adjuvant) camrelizumab + rivoceranib significantly improves event-free survival (EFS 42.1 vs 19.4 mo; HR 0.59, p=0.004) vs
0
3
8
@ArndtVogel
Arndt Vogel
5 days
CARES-009: Perioperative camrelizumab plus rivoceranib in resectable hepatocellular carcinoma #ESMO25 #ESMOAmbassadors 👉 EFS: 42 vs 19 mo 👉 DFS: 42 vs 19 mo 👉 MPR: 35 vs 7% 🧐Very promising results, neoadjuvant strategies will be the future in HCC @myesmo @EASLedu @ilca
1
48
94
@tangming2005
Ming "Tommy" Tang
15 hours
Neoadjuvant immunotherapy in mismatch-repair-proficient colon cancers https://t.co/iK6yBcN28d
0
3
5
@DrRishabhOnco
Dr Rishabh Jain
20 days
💡 Pancreatic cancer’s big question: Which neoadjuvant is best? PREOPANC-2 says… both. 👥 Population • 369 pts | Resectable / borderline PDAC • Phase III | 19 Dutch centers 🧪 Arms 1️⃣ FOLFIRINOX (8 cycles) ➡️ Surgery (no adjuvant) 2️⃣ Gemcitabine-CRT (3 cycles + RT) ➡️
2
78
184
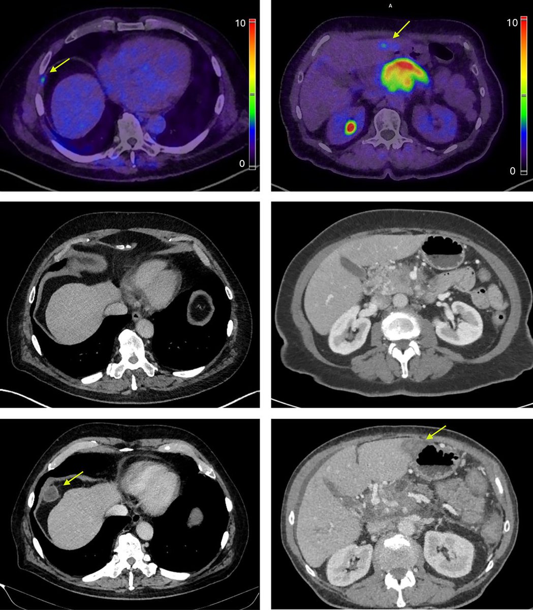
⁶⁸Ga-FAPI PET/CT is likely to improve treatment allocation for #PancreaticDuctalAdenocarcinoma by revealing occult metastases and flagging aggressive primary tumors for neoadjuvant therapy. https://t.co/OQ65AhHQyV #NuclearMedicine #MolecularImaging @will__mcgahan
0
6
16
@MoffittNews
Moffitt Cancer Center
2 days
From #ESMO25: Vernon Sondak, MD, presents a 3-year update on the SWOG S1801 trial, which tested giving immunotherapy before surgery in melanoma. The results continue to show that neoadjuvant immunotherapy significantly reduces recurrence and improves long-term outcomes for
0
2
5