Explore tweets tagged as #ALARP
@drmankad
Dr Kish Mankad
2 years
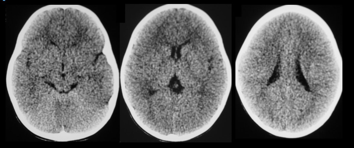
Tip of the day 💡: Do not take the image gently campaign or the principles of ALARP/ALARA so far that the images become non diagnostic. This CT in a child was acquired at 40mAs and was subsequently reported abnormal- wrongly.
2
11
81
@ItalianDefence
Italian Defence Technologies
1 year
Check out this article: F-35B: rapid refueling exercise with Alarp system at the Pantelleria Airport Detachment - https://t.co/H4HzYvfaw3
0
1
5
@nyannzai
˳ ꒰ ͜͝𝄞◞ angel yuki
5 months
wait i actually have an alien translator for this /gen theep eep smeep ilarp alarp urp
0
0
13
@This_Guhy
This_guhy
5 months
New fitness goal... get my Whoop age ALARP (as low as reasonable possible) the AI coach said 5-10 years below my actual age is double. In addition to this: >maintain more muscle mass than 90% of men my age and height > graduate the Busy Dad burpee program >run a faster 3 mile
0
0
3
@julietMCP2
💚Ex CityPoint2_M3 Resident
13 days
Turning PAS 9980 into law risks locking in flawed, subjective standard. A “risk-based” approach tolerating combustible materials is incompatible with stay-put policies & real fire safety. It should mandate removal above 18m, enforce regs at build & reduce residual risk to ALARP.
@polluterpaysbsb
Building Safety Scheme (LFRB)
15 days
@BBCNews - Dangerous building defect remediation standard to become law early next year! The problem with the PAS 9980 building safety remediation standard as drafted is that its so-called risk based approach is flawed, and not compatible with the fire safety regime and the stay
0
6
7
@safety_1st_mk2
Andean
3 months
返信3だけと2つしかワイには見えてない🥹 飛行機の話はワイの固定ポストにあるNoteで議論済やからなぁ🥹 ALARPの概念知らんらしい😇
@Dec_Rice41
デクライス
3 months
@safety_1st_mk2 都合が悪くなると飛行機の話に 文字通り論理飛躍するのワロタ定期
1
1
8
@Sam_Dumitriu
Sam Dumitriu
7 months
Britain has ALARP for air-conditioning.
2
1
16
@bzarkout
Bassam Zarkout
2 years
@robvank
Rob van Kranenburg
2 years
"This paper suggests a methodology for assessing AI risk magnitudes, focusing on the construction of real-world risk scenarios." https://t.co/iPcnK7eBye via Gerald Santucci
0
1
4
@dorfman_p
Dr Paul Dorfman
1 month
No discussion, no consultation - just like that, UK govt's #nuclear tsunami hits key environmental pollution protection definition of ALARP (as low as reasonably practical), BAT (best available technology) and stakeholders. https://t.co/toIiXaS8nV
1
5
8
@julioduenas94
Julio Ariel Dueñas Santana
4 months
Just presented at #GRICU2025 🎤 A Generic #System #Dynamics Core #Model for #Chemical #Engineering: ⚙️ #Risk + #Safety + #Sustainability, integrated. 🔄 Captures #feedbacks & delays. ⚖️ Anchored in #ALARP, #CBA, #LQI. 🌍 Adaptable to #hydrogen, #fire #safety & #energy transitions
0
0
2
@simonejomoore
Simone Jo Moore
1 year
Risk appetite! What’s tolerable for you? ALARP - as low as reasonably possible. @CristanMassey #itsm24
0
1
6
@Sam_Dumitriu
Sam Dumitriu
11 months
In theory, nuclear plants can challenge ALARP decisions if they’re “grossly disproportionate”. Here’s the issue. The ONR define grossly as disproportionate as when costs outweigh benefits by a factor of 10.
3
0
20
@EODEXGROUP
EODEX
2 years
At EODEX, we are committed to providing environmentally friendly UXO disposal: 🔍 What We Offer: ✅ Comprehensive end-to-end solutions ✅ Safe and effective UXO detection and removal ✅ Environmentally sustainable disposal methods ✅ ALARP certification to ensure maximum safety
0
0
1
@CuentameLeon
CUÉNTAME
10 months
🎤💜 En el Día Internacional de la Mujer, únete al panel ‘La voz de la mujer en las Relaciones Públicas’, un espacio de diálogo y reflexión organizado por ALARP, la Universidad Iberoamericana León y Poliforum León. https://t.co/mxVzWx3OVr
0
2
4
@Shell_Nigeria
Shell Nigeria
9 months
📢#Job Opportunity 💼Project Security Manager 🧭Lagos You will ensure every project has a cost-effective, fit for purpose, risk-based security solution that reduces risks to ALARP and highlights risks to the project to all stakeholders. 💻Apply here: https://t.co/I4orOH5as2
2
4
6
@Shell_Nigeria
Shell Nigeria
1 year
📢#Job Opportunity 💼Security Cord. Deep Offshore Proj/Assets 🧭Lagos You will manage production and project security risks in the offshore operational environment to As Low as Reasonably Practicable (ALARP). 💻Apply here: https://t.co/Nx0yakd5Td
0
9
13
@paulsputer
Paul Martin
6 months
🤯 crazy some are actively cheering for the end of humanity by its own creation, like wtf survival instinct gene mutation?! AI should only ever be a tool, will it compete? will we have new challenges? sure, but as an engineer first step it to minimise risk of harm ALARP
@AISafetyMemes
AI Notkilleveryoneism Memes ⏸️
6 months
IT MAKES SENSE NOW. This xAI employee is openly OK with AI causing human extinction. Reminder: As horrifying as this is, ~10% of AI researchers believe this. It is NOT a fringe view! Unbelievably, even Turing Award winner Richard Sutton has repeatedly argued that extinction
4
1
10
@yunjinsyuuuz
yuyu 🍊
10 months
shorp plorp sarp geep shurp urp alarp
1
0
2
@cocobernal
Coco Bernal
10 months
🔴 Realizan ALARP Guanajuato, Universidad Iberoamericana León y @poliforumleon el panel ‘La voz de la mujer en las Relaciones Públicas’, en el marco del Día Internacional de la Mujer #8M ♀️ https://t.co/xueW1GOa95
0
2
4