GynPath Profile Banner
GYN Pathology Profile
GYN Pathology

@GynPath

Followers
1K
Following
32
Media
3
Statuses
225

Not a #gynpath expert or guru

Joined October 2014
Don't wanna be here? Send us removal request.
@ISGynP
International Society of Gynecologic Pathologists
3 years
Mark your calendar for January 25th at 12pm EST, as you don’t want to miss three captivating cases in the first @ISGyP LiVE Interesting Case Presentations of 2023! Register now at https://t.co/uIM5YcSnVT @m9goel @CiaranORiain @UChicagoPath @ColumbiaPath @IJGP @gynpath
0
12
29
@OhioStatePath
OhioStatePath
3 years
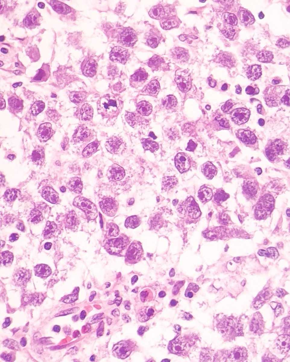
Uterine mass in a 58 year old female. What is the most likely diagnosis? #PathTwitter #gynpath
20
36
86
@DrEstherAdler
Esther Adler, MD
3 years
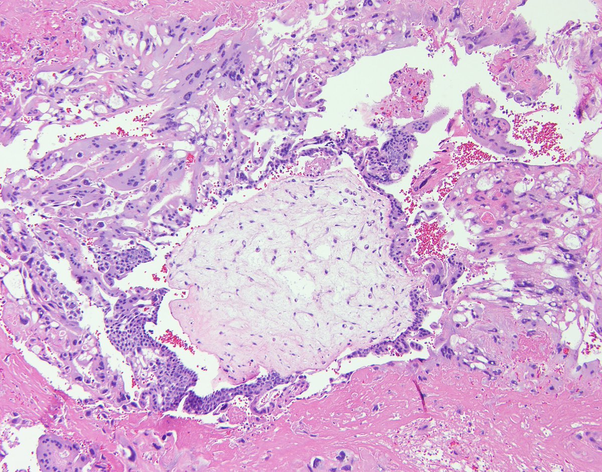
Cervical mass biopsy. What's your differential diagnosis? What stains/additional information would you like? #Pathology #GYNpath #Meded @NYUGSOMpathres @nyugrossman
21
48
116
@BAGPGynPath
The British Assoc of Gynaecological Pathology
4 years
BAGP Teaching Webinar Series - Session 13, Wednesday 17 November @ 3 pm via Zoom platform. Topic: Mucinous neoplasm of ovary. Click here to register https://t.co/iclLPoMraG… #BAGP #SurgPath #PathTwitter #gynaepath #pathology
0
1
4
@LaurieGeeMD
Laurie Griesinger MD (she/her)
4 years
Do you see what I see?🧐A small focus of serous tubal intraepithelial carcinoma (STIC) amidst an entire slide of normal fallopian tube. #GynPath #PathTwitter
6
17
65
@DrEstherAdler
Esther Adler, MD
4 years
EMC from a patient with persistent vaginal bleeding and elevated B-HCG s/p EMC x 2 months prior. IHC is p57. What's the diagnosis and why does p57 confirm it? #GYNpath #pathology #MedEd @NYUGSOMpathres
6
26
89
@mzehraordulu
Zehra Ordulu 🧬🔬
5 years
Happy #YCSfriYAY! #YoungConsultSeries 47 yo polypoid uterine mass and postmenopausal bleeding. #GynPath #GynPathQuiz
7
13
37
@IPenzhorn
Ingrid Penzhorn
5 years
Nodule noticed on fallopian tube during tubal ligation. Wanted to share this, because the morphology is quite different from one I posted a month ago. #gynpath #PathResidents
2
5
21
@Mvgs1706
Monika Vyas
5 years
Heterologous differentiation may be seen in up tp 20% mod to poorly diff (M/PD) Sertoli Leydig cell tumors (SLCT) Most common - mucinous diff (gastric or intestinal) - benign, malig or borderline Others- hepatoid, carcinoid, cartilage or skeletal muscle. #gynpath
3
43
82
@slusagar
Ankur Sangoi
5 years
here's a #GYNpath you don't 👀 everyday: middle-aged F, ovarian tumor cystectomy ▶️ovarian epidermoid cyst 👉🏽NOT dermoid cyst/mature teratoma 👉🏽ovarian cyst lined exclusively by mature squamous epithelium
1
31
80
@IJGynP
International Journal of Gynecological Pathology
5 years
Case report of the week, free to read for 2 weeks! Cervical Mesonephric Adenocarcinoma With Novel FGFR2 Mutation by Skala et al. #GYNPath @ISGynP https://t.co/BqmzTGOLLn
1
19
30
@HENRYY_MD
Henry YANG
5 years
#gynpath what’s these stuff in an ECC specimen? Actinomycetes?
8
15
31
@mzehraordulu
Zehra Ordulu 🧬🔬
5 years
Happy #SCSSaturday! #ScullyConsultSeries. 10 yo, abd pain, early onset menstruation. Solid-cystic 16 cm ovarian mass with yellow-white cut surface. #GynPath #GynPathQuiz #PathTwitter
9
21
38
@mzehraordulu
Zehra Ordulu 🧬🔬
5 years
Happy #YCSFriYAY #YoungConsultSeries 25 yo 15 cm ovarian mass. Soft, creamy-white and solid. #GynPath #PathTwitter #GynPathQuiz
3
18
36
@rupeshgundawar
Rupesh Gundawar
6 years
2
4
9
@dmlarsonpath1
David Larson
6 years
I've seen quite of few of these in the endometrium, but this is a 1st for me. Placental site nodule involving the fallopian tube. Makes sense that they could occur there. I see that Dr. Nayar wrote an article on this back in 1996. #gynpath #pathology #continuetoseenewthings
1
29
64
@AnneMillsMD
Anne Mills
6 years
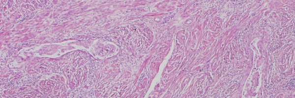
Uterine mass. Smooth muscle markers are positive. Are you done?? #UVAPath #Gynpath
5
28
73
@DrEstherAdler
Esther Adler, MD
6 years
EMC from a 25 yof. #pathology #gynpath #NYUpathology
21
41
146
@slusagar
Ankur Sangoi
6 years
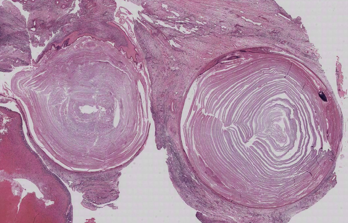
adult F with unilateral ovarian mass #GYNpath
7
45
131
@raq_rivero
Raquel Camara Rivero
6 years
Ovarian tumor, 14yo Solid, large, unilateral lesion Elevated LDH #gynpath #pathology 🔬🧐
16
39
114