gecicinn Profile Banner
Neslihan Gecici, MD Profile
Neslihan Gecici, MD

@gecicinn

Followers
126
Following
72
Media
5
Statuses
16

Research Fellow @pittneurosurg | MD'23 Hacettepe 🇹🇷

United States
Joined July 2024
Don't wanna be here? Send us removal request.
@NobelPrize
The Nobel Prize
2 months
BREAKING NEWS The 2025 #NobelPrize in Physiology or Medicine has been awarded to Mary E. Brunkow, Fred Ramsdell and Shimon Sakaguchi “for their discoveries concerning peripheral immune tolerance.”
468
12K
29K
@MagedGhoche
Maged ghoche
2 months
Excited to share our recent work from the Abdullah Lab! Pre-op steroids don’t significantly impact diagnostic accuracy in PCNSL, supporting their safe use for symptom control when paired with a timely, well-coordinated biopsy @PittNeurosurg Link: https://t.co/VwLwpiPn1k
1
1
2
@gecicinn
Neslihan Gecici, MD
2 months
Our new study in @NeurosurgeryCNS shows that ventricular entry is associated with shorter survival in IDH-mutant gliomas. Findings highlight the importance of prospective validation. https://t.co/t6gkzQKFB1 @pascalzinn AhmedHabib
2
6
32
@gecicinn
Neslihan Gecici, MD
3 months
Thank you for featuring our work! It was a great discussion! @CNS_Update @pascalzinn
@CNS_Update
CNS
3 months
The September Journal Club Podcast is out now! Listen to our latest episode on ventricular entry during Glioblastoma resection and the associated risks and survival rate and hear from the authors Neslihan Gecici and Pascal Zinn on their research. Tune in wherever you get your
0
2
17
@DrNatalieSherry
Natalie Sherry, PsyD, ABPP-CN, MBA
4 months
At @PittNeurosurg our approach to brain tumor care reflects a new level of sophistication—precise anatomical planning, preservation of cognitive function, and multidisciplinary decisions on every case. @pascalzinn @balzjr @amelia_stepniak @gecicinn https://t.co/KfESQb2ZO9
Tweet card summary image
frontiersin.org
The gold standard for preserving language and cognitive function during complex brain tumor resection is direct electrical stimulation (DES) during awake cra...
0
7
19
@EANSonline50
European Association of Neurosurgical Societies
5 months
In Memoriam: Professor M. Gazi Yaşargil (1925-2025) The world of neurosurgery mourns the passing of Professor Mahmut Gazi Yaşargil, who died today at the age of 99, just one month before what would have been his 100th birthday celebration. Born on July 6, 1925, in Turkey,
21
577
2K
@NSTumorSection
NS Tumor Section
6 months
Yet another episode of our Spine Onco Series!!! ( CME accredited) Don't miss! June 2, 2025- 12pm EST/9 pm PKT/ 6pm CEST Register now: https://t.co/9FgaXQ8LEG @pascalzinn @hadjiMDPhD @uni
0
12
35
@NSTumorSection
NS Tumor Section
8 months
You are cordially invited to this insightful talk by Prof.Paul McCormick on April 10 at 12pm EST/6pm CEST/9pm PKT Register now https://t.co/24aBbZOKKY @pascalzinn @hadjiMDPhD @AANSNeuro @noo
1
9
28
@gecicinn
Neslihan Gecici, MD
8 months
Excited to share our latest work in @NeurosurgeryCNS! We analyzed the impact of ventricular entry during gbm resection and found it is an independent predictor of poor survival and increased distant recurrence. Read more: https://t.co/WNgeguHNlp @pascalzinn @AhmedHabibMD
2
13
85
@TheJNS
Journal of Neurosurgery
10 months
#OperativeVideo Optimizing brain mapping: integrating real-time neuropsychological assessment in awake craniotomy https://t.co/1bxvIRG0Sc
0
9
40
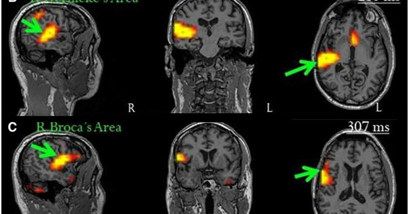
@PittNeurosurg
Pitt Neurosurgery
10 months
Video shows crucial role intraoperative neuropsychological testing plays in providing continuous cognitive monitoring during resection of tumors located in eloquent areas. https://t.co/5MrgHlEX2A @DrNatalieSherry @pascalzinn @UPMCHillmanCC @balzjr @AHabibMD @gecicinn
1
6
18
@gecicinn
Neslihan Gecici, MD
11 months
Starting the New Year with our latest publication in #NeurosurgicalFocus Video! We highlight intraop neuropsych assessments & multidisciplinary teamwork in awake craniotomies. @AHabibMD @balzjr @DrNatalieSherry @pascalzinn Watch here: https://t.co/ahZ8IUJc5O
0
4
35
@gecicinn
Neslihan Gecici, MD
11 months
Check out our latest article in @JNeurooncol, led by @SuchetTaori! In this review, we highlight the potential of circulating biomarkers in managing high grade gliomas. @AHabibMD @pascalzinn Read the full article here: https://t.co/XUn4GwFVBh
0
4
24
@pascalzinn
Pascal Zinn, M.D., Ph.D., FAANS
1 year
First report of large stx biopsy meta-analysis comparing robot, frame and frameless techniques @PittNeurosurg @PittTweet @UPMCHillmanCC @UPMCnews @pittnsgy great work team! @gecicinn @AHabibMD @hansen @HameedFarrukh
@gecicinn
Neslihan Gecici, MD
1 year
Check out our latest article in @NeurosurgeryCNS! In this meta-analysis, we evaluate the diagnostic yield, safety and outcomes of frame-based, frameless and robotic stereotactic biopsy methods. @pascalzinn @AHabibMD https://t.co/xUNNyNVn8n
2
6
27
@gecicinn
Neslihan Gecici, MD
1 year
Check out our latest article in @NeurosurgeryCNS! In this meta-analysis, we evaluate the diagnostic yield, safety and outcomes of frame-based, frameless and robotic stereotactic biopsy methods. @pascalzinn @AHabibMD https://t.co/xUNNyNVn8n
0
5
12