CNS_Update Profile Banner
CNS Profile
CNS

@CNS_Update

Followers
29K
Following
13K
Media
5K
Statuses
18K

Your Essential Partner for Advancing Exponential Outcomes CNS is committed to furthering education and growth in the global neurosurgeon community. #2026CNS

Schaumburg, IL
Joined March 2010
Don't wanna be here? Send us removal request.
@CNS_Update
CNS
1 month
Thank you to everyone who made #2025CNS a historic success! We're already looking forward to the exciting events we have planned for next year, so make sure you save the date, and we will see you in Washington D.C. for #2026CNS!
1
7
34
@CNS_Update
CNS
12 hours
Only one week until the 2025 Joint Pediatric Section Annual Meeting! We can't wait to see you in Memphis, TN Dec. 4-7 as we inspire, connect, and further the subspecialty together: https://t.co/r9B6NGUqqV #pediatric #neurosurgery
0
0
1
@CNS_Update
CNS
2 days
Happy Thanksgiving from all of us at CNS. We hope your holiday is filled with good food and great memories! We are so grateful for the CNS community. #cns #thanksgiving #neurosurgery #thankful
0
2
7
@CNS_Update
CNS
3 days
#2025CNS fostered great connections, innovative science, and so much more. Relive some of your favorite moments with our online gallery from the Meeting! https://t.co/0xTArF1Qi3 #CNSConnects #neurosurgery
0
1
4
@NeurosurgeryCNS
Neurosurgery Publications
3 days
#NEUVisual Abstract Ability of Head Impact Measurements to Predict Sports Concussions: A Review https://t.co/yOfhPXhbhf by Kim et al at Harvard Medical School @CNS_Update @KristinHuntoon
1
1
8
@CNS_Update
CNS
3 days
Join world-renowned experts for an intimate and confidential peer review platform to discuss complications encountered in spinal surgery. Register today for the 2026 CNS Spine Complications Course and start planning your trip to Park City, UT: https://t.co/yKoPsl4f6i #CNSCourse
1
2
5
@JesusCHerrera
Jesús Herrera
7 days
@CNS_Update Getting to share my passion for neuroscience while learning alongside great friends and colleagues! 🤝🧠
0
1
6
@_AdnanSiddiqui
Adnan H. Siddiqui, MD
5 days
An honor of a lifetime to give the Hopkins Lecture at @CNS_Update in LA. Nick Hopkins was the most instrumental person in my academic life, and nothing pleased me more to give this talk to honor his memory and achievements.
6
7
29
@CNS_Update
CNS
4 days
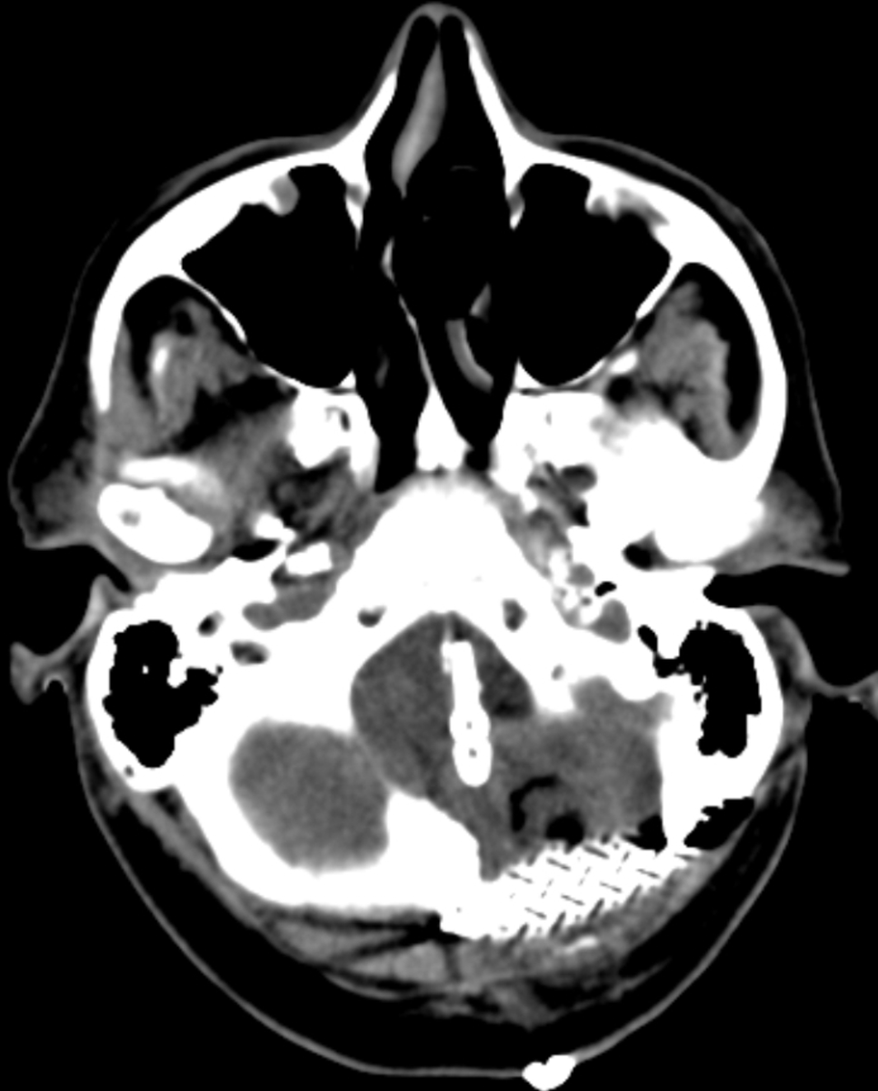
Patient recovered well with resolved dysphagia at 6 week follow up https://t.co/9yV5lNeWC9 (5/5)
0
0
0
@CNS_Update
CNS
4 days
Surgical pearls: Open dura widely, consider fenestrated clips to accommodate vertebral artery and PICA (4/5)
1
0
0
@CNS_Update
CNS
4 days
Left far lateral craniotomy with C1 hemilaminectomy and partial condylectomy was performed (3/5)
1
0
0
@CNS_Update
CNS
4 days
Microsurgical approach was chosen due to wide neck and mass effect. What is the surgical approach? (2/5)
1
0
0
@CNS_Update
CNS
4 days
#CNSNexus case from Nicholas Bambakidis, MD, et al! 71-year-old man presented with dysphagia, weight loss, and left tongue weakness. He was diagnosed with left PICA aneurysm. (1/5)
1
0
0
@CNS_Update
CNS
5 days
The CNS Foundation, in collaboration with Sophysa USA, has opened the Sophysa Young Investigator Award for early career neurosurgeons committed to advancing patient care for TBIs / neurocritical care. Apply today: https://t.co/85B7QHURHg #CNSF #award #neurosurgeons
0
0
3
@CNS_Update
CNS
6 days
Have you read the Fall issue of the CNSQ? Check it out now for content like this featured article on ultra minimally-invasive spine surgery by Timothy Wang. Read here: https://t.co/iWnL59Js1V #CNSQ #neurosurgeons
0
0
1
@CNS_Update
CNS
7 days
We're still thinking about #2025CNS! We've loved seeing everyone share their photos and experiences - what was your favorite part of the meeting? #neurosurgery #CNSConnects
1
2
6
@_AdnanSiddiqui
Adnan H. Siddiqui, MD
8 days
Some more @CNS_Update photos! Fantastic time in LA with dear friends and colleagues from all over the country.
2
4
21
@NeurosurgeryCNS
Neurosurgery Publications
7 days
#ONSVisualAbstract Is Reoperation Within 6 Months of Adult Spinal Deformity Surgery Associated With Worse Outcomes? https://t.co/O677QeQwbl by @IyanYounus et al @VUMCDiscoveries @CNS_Update @JohnHShinMD
1
5
14
@CNS_Update
CNS
8 days
Registration is now open for the virtual CNS Oral Board Review Course! Learn from our expert faculty and gain confidence. Put your best foot forward and get a jumpstart on your studying today: https://t.co/pZR8TTgmCm #CNSCourse #oralboard #review #neurosurgeons
0
1
7
@NeurosurgeryCNS
Neurosurgery Publications
8 days
#NEUNew Single-Fraction Stereotactic Radiosurgery as Primary Management of Sporadic Meningiomas: A 25-Year Cohort Study https://t.co/rwuqGKcYMb by Kumar et al @MayoClinic @CNS_Update
1
5
13
@AhmedHafezMousa
Ahmed Hafez
9 days
Excited to share that I’ve been selected as a 2025–2026 @CNS_Update Guidelines Fellow being the first ever resident from @DubaiHealth & @MBRUniversity to receive this honor. Grateful for the support, and looking forward to working closely with the @CNS_Update leadership.
2
3
40