freecn_off Profile Banner
Révise les EDN avec nous 🩺 Profile
Révise les EDN avec nous 🩺

@freecn_off

Followers
2K
Following
859
Media
349
Statuses
1K

🏆 1ère plateforme 100% gratuite & intuitive 🎯 5000 QI corrigées 📚 Annales corrigées 🥼 Rejoins 13 000 externes déjà ravis 👇

Joined July 2020
Don't wanna be here? Send us removal request.
@freecn_off
Révise les EDN avec nous 🩺
3 years
[ANNONCE] Salut amis externes (et internes) 👋, Aujourd'hui, on voudrait vous partager un projet qui nous tient vraiment à cœur. On y a travaillé pendant plusieurs semaines : il s'agit des "Annales Fantômes 👻". Est-ce que tu sais ce que c'est ? 👀 A thread /4
3
17
126
@slava__bobrov
Slava Bobrov
3 years
How gene transcription works. DNA to RNA Credit: D. Berry
16
484
2K
@freecn_off
Révise les EDN avec nous 🩺
3 years
Salut les amis 🎉 Homme, 78 ans, post-SCA. Scanner car douleur abdominale, des coupes passent au niveau du thorax. Que voyez-vous ? 🌐 Interprétation : https://t.co/klcvSsNL84 #Radiologie #EDN
0
2
9
@freecn_off
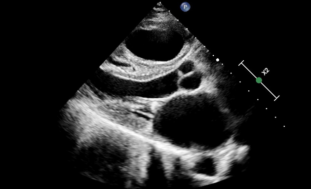
Révise les EDN avec nous 🩺
3 years
Salut les amis 🎉 Quel est cette examen et quelle est la coupe ? Plus difficile on est ici en diastole, que voyez-vous ? 🌐 La réponse : https://t.co/eygkFKksyG #Radiologie #EDN
1
1
2
@freecn_off
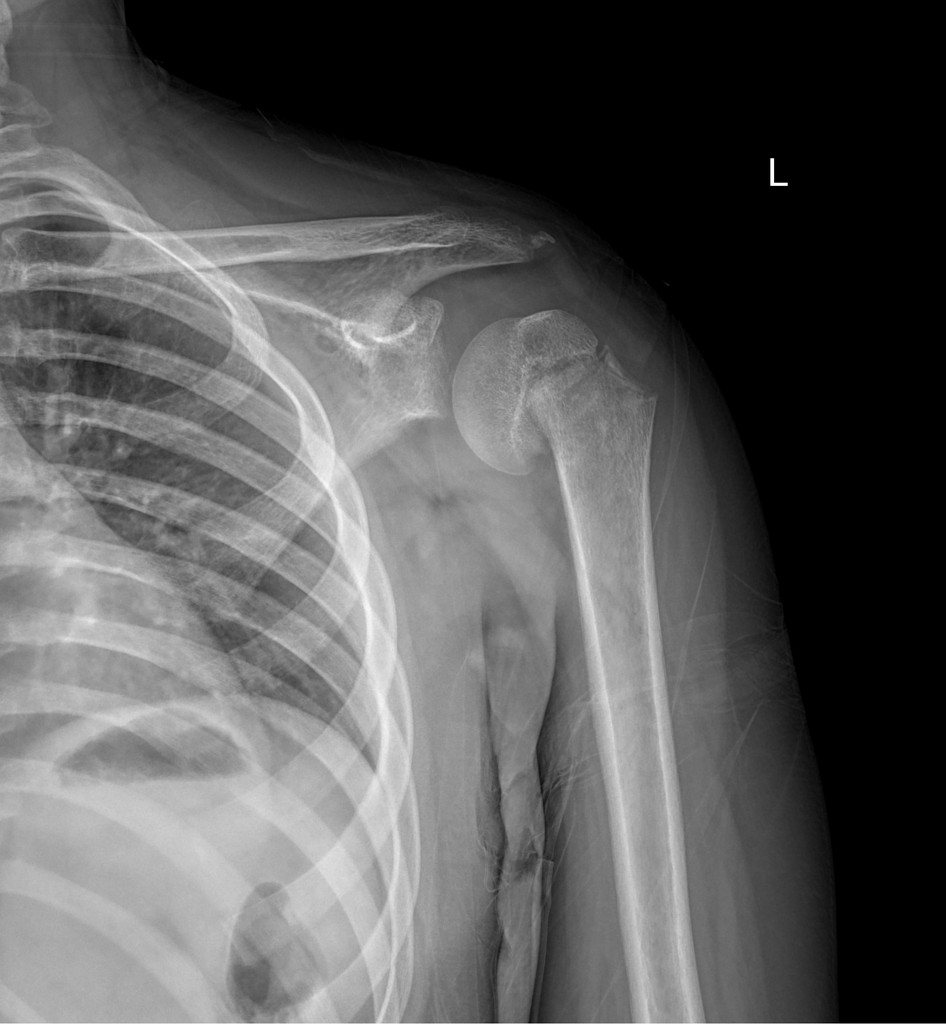
Révise les EDN avec nous 🩺
3 years
Salut les amis 🎉 Homme de 65 ans, chute au volley-ball. Votre diagnostic précis ? 🌐 Interprétation : https://t.co/cInj5CT7pZ #Radiologie #EDN
2
1
2
@Groupe_FEMMIR
FEMMIR Groupe
3 years
Merci ⁦@ANEMF⁩ pour ce guide de lutte contre les violences sexuelles et sexistes pendant les études de médecine. À mettre entre toutes les mains, celles des enseigné-es, celles des enseignant-es.
0
9
9
@freecn_off
Révise les EDN avec nous 🩺
3 years
Sus-décalage du segment ST* sur toutes les dérivations
2
1
1
@freecn_off
Révise les EDN avec nous 🩺
3 years
Salut les amis 🎉 Jeune de 35 ans. Douleur thoracique se présentant aux urgences. Onde T sur toutes les dérivations à l'ECG. Votre diagnostic ? 🌐 Interprétation : https://t.co/yh36247Yw8 #Radiologie #EDN
1
2
6
@louhyp
☀️🌑
3 years
P’tit tweet plutôt pour les D2 ou D3 qui veulent chill un peu, y’a les internistes (les rois de ce monde) qui ont sorti un bouquin de sémiologie Je l’ai pas encore fini, mais ça a le mérite d’être assez didactique et d’aller à l’essentiel dans quasi tous les domaines
6
28
253
@freecn_off
Révise les EDN avec nous 🩺
3 years
Salut les amis 🎉 Vous faites tranquillement votre vacation de scan quand le manip radio vous appelle pour voir "un truc". Qu'en pensez vous ? Il s'est trompé dans les électrodes ? 😂 🌐 Interprétation : https://t.co/fbwujp3oYS #Radiologie #EDN
1
2
10
@jeunesMIR
ANJMIR
3 years
📣 Le @TACFA3 recherche des volontaires pour animer des conférences (gratuites) à destination des externes dans la cadre la préparation aux EDN. Vous pouvez les rejoindre quelque soit votre avancée dans votre cursus médical!
docs.google.com
Présentation du TACFA (réunion de la conférence des doyens, 07/11/2023) : https://drive.google.com/file/d/1QQOwpaaTmZl0ev2PZTz7xloH0Jzx2E-I/view?usp=sharing Les internes et chefs sont répartis selon...
0
4
10
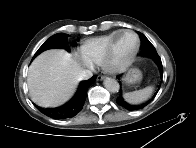
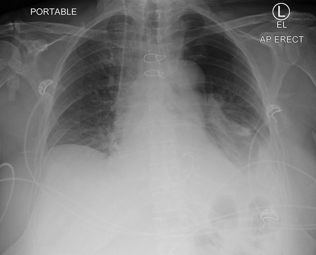
@freecn_off
Révise les EDN avec nous 🩺
3 years
Salut les amis 🎉 Marre des ECG ? On passe à l'imagerie ! Homme, 71 ans, post-op de remplacement valvulaire. Qu'en pensez-vous ? 🌐 Interprétation : https://t.co/g0roNBNZBT #Radiologie #RadiographieThoracique #EDN
2
2
9
@freecn_off
Révise les EDN avec nous 🩺
3 years
Salut les amis 🎉 Femme, 58 ans, se présente aux urgences pour asthénie profuse et palpitations. Qu'en pensez-vous ? Que faites-vous en urgence ? 🌐 Interprétation : https://t.co/8Yq6hW3nv1 #Cardiologie #Electrocardiogramme #EDN
1
2
5
@freecn_off
Révise les EDN avec nous 🩺
3 years
C'est une excellente occasion de contribuer à la communauté médicale et d'aider vos co-externes à réussir leurs études. De plus, c'est une excellente façon de réviser et de rester à jour sur divers sujets médicaux. 🧠💡 Intéressé.e ? Nos DM sont ouverts ! 🚀☺
0
1
2
@freecn_off
Révise les EDN avec nous 🩺
3 years
📢 Appel à tous les internes et externes passionnés ! 🩺📚 Freecn a besoin de vous ! Nous cherchons des relecteurs bénévoles pour nous aider à maintenir la qualité de la plateforme. Vous relirez des fiches de cours, des mindmaps, des QI avant leur publication. 1/2
3
4
8
@Pharma_Connect
PharmaConnect
3 years
What is the antidote for Benzodiazepine overdose ⁉️
195
122
1K
@freecn_off
Révise les EDN avec nous 🩺
3 years
Tout ça c'est bien mais la vraie question est : t'as freecn ou pas ?
1
2
7
@freecn_off
Révise les EDN avec nous 🩺
3 years
Salut les amis 🎉 Femme, jeune, retrouvée inconsciente dans sa chambre par sa famille. Qu'en pensez-vous ? (c'est pas facile, mais vous allez apprendre un truc !!) 🌐 Interprétation : https://t.co/altN8dEjDL #Cardiologie #Electrocardiogramme #EDN
2
6
24
@BOBO1806
Gbassara Koulagna Boris, MD.
3 years
Salut les médecins 😉 Vous avez été nombreux à nous demander de nouveaux sujets d'EVC, on vient donc d'en publier de nouveaux sur plusieurs spécialités avec @alaedinebd @freecn_off Le contenu est bien sûr gratuit, et même accessible hors connexion : https://t.co/KIbEbSNJvu #EVC
0
4
6
@freecn_off
Révise les EDN avec nous 🩺
3 years
Hello ! Big news : nous avons créé une série de sujets d'entraînement pour les EVC (pour les médecins étrnagers). 🏥📚 Nouvelles matières et cas générés par IA pour ressembler aux annales. 🧠🤖 Gratuit et accessible hors connexion (comme d'hab). 🆓🔀 https://t.co/8pjnhmuGQo 💪
0
3
5
@freecn_off
Révise les EDN avec nous 🩺
3 years
Salut les amis 🎉 Qu'est ce que vous en pensez ? Femme, 56 ans, se présentant au SAU pour dyspnée dans un contexte de mastectomie récente. Qu'en pensez-vous ? (c'est dur) 🌐 Interprétation : https://t.co/vkUOzmZ1Fa #Cardiologie #Electrocardiogramme #EDN
3
3
10