ethanungchusri Profile Banner
Ethan Ungchusri Profile
Ethan Ungchusri

@ethanungchusri

Followers
291
Following
742
Media
8
Statuses
171

UChicago IR | UW General Surgery | Texas A&M MD | Carnegie Mellon Engineering

Dallas, TX
Joined February 2017
Don't wanna be here? Send us removal request.
@UChicagoIR
UChicagoIR
2 years
Congrats and welcome to the family! #irad #Match2024 @UChicagoIR @UChicagoRADS
2
10
63
@EndovasClarkY
Clark Yu
2 years
Y90 for iCCA☢️💉 Ten patients (34.5%) were downstaged to surgical intervention (7 resection, 3 liver transplant). Mentorship @TheRealDoctorOs and Dream Team @ethanungchusri @AnjanaPillaiMD Andy Liao John Fung Talia Baker
1
13
40
@juliecbulman
Julie Bulman, MD
2 years
Sometimes we get little gifts from the world… this is why cavograms before filters should be from the left iliac without prior imaging!
2
7
51
@TheRealDoctorOs
Osman Ahmed
2 years
Long-standing caval occlusion 🛑 with drainage via collaterals into portal system —-> recan + stent with @ethanungchusri for a sweet caval reconstruction 👷🏾❤️‍🩹 #irad #lovemyjob
27
19
171
@DGlaucomflecken
Dr. Glaucomflecken
2 years
Contrast induced nephropathy
143
1K
7K
@UChicagoIR
UChicagoIR
2 years
Congratulations to our graduating IR Residents! 🎓 @UChicagoIR @UChicagoRADS @SIRRFS @SIRspecialists #IRad #TwittIR #iradres #MedTwitter
0
5
42
@UChicagoIR
UChicagoIR
3 years
Congrats and welcome to the family! #irad #Match2023 @UChicagoIR @UChicagoRADS
0
9
42
@EndovasClarkY
Clark Yu
3 years
Our very own @Kylie_Zane giving a talk on Histotripsy 🥳🥳#HOPE4LIVER @UChicagoRADS @UChicagoIR @AmandaSmolockMD
1
2
18
@ptdoodles
Patrick Tran
3 years
#SynIRgy so good to see fellow mentors and colleagues again after a long hiatus! @ethanungchusri @VISLAMDSCAIP @TheRealDoctorOs @EndovasClarkY
0
2
11
@ethanungchusri
Ethan Ungchusri
3 years
Couldn’t be more proud of my fiancée @njrothenberger for pursuing her dream at @uwurology!!
@uwurology
UW Urology
3 years
We are thrilled to announce our matched 2023 residents! @njrothenberger @kanesha_overton @gabriellenortey, and Caroline Purcell.
0
0
12
@jonherochung
Jonathan Chung, MD
3 years
Now be honest. Would you have prospectively called pulmonary embolism (Westermark sign) on chest radiograph? @accpchest @atscommunity @UChicagoPCCM @UChicagoRADS @TLHM_MD @DanielVargasMD @Radiopaedia @thoracicrad
19
11
75
@ajgunnmd
AJ Gunn
3 years
Occluded bile duct stent causing elevated bilirubin levels, precluding chemotherapy. After failing from above, we stuck the stent percutaneously, crossed from below, snared the wire, & advanced the sheath past the occlusion, leaving an internal/external drain.
5
10
74
@SIRRFS
SIR RFS
3 years
⭐️In The Spotlight!⭐️ Meet Dr. Divya Kumari (@DivyaKumariMD ) Assistant Professor of VIR at @UChicagoIR Interviewed by MS4 @KaramMusaitif #IRad #TwittIR #iradres #MedTwitter
0
14
55
@UChicagoIR
UChicagoIR
3 years
Annual @UChicagoIR Halloween party best costume: (A) "backorder" or (B) nephroureterostomy/ureteral stent? @SIRRFS @SIRspecialists #IRad #TwittIR
0
3
21
@TheRealDoctorOs
Osman Ahmed
3 years
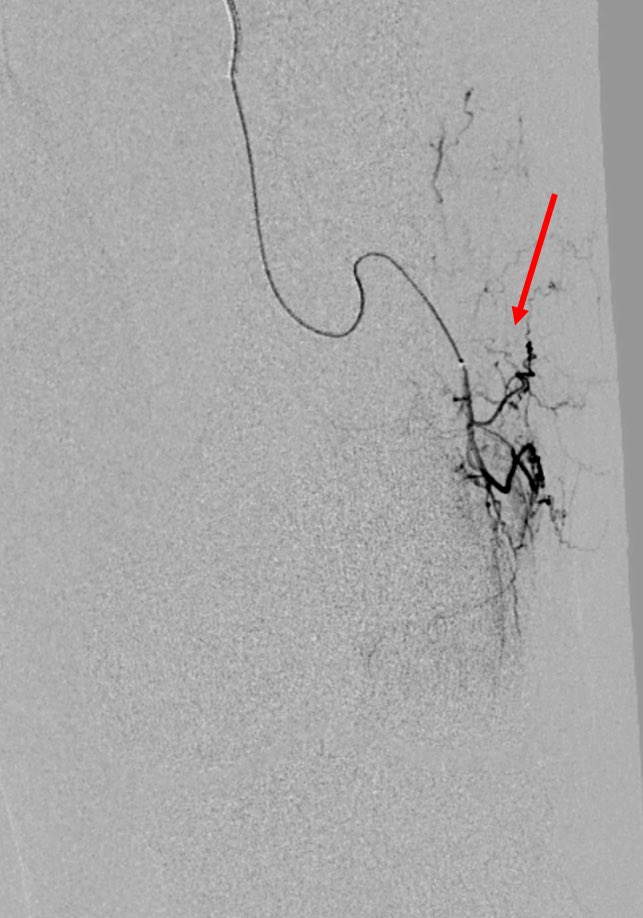
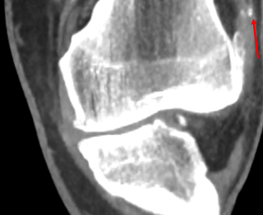
Power of intra procedure cross sectional imaging for GAE: Arterial branch marked with red arrow looks like non target vessel - multiplanar CT confirms supply to a pathologic osteophyte! #irad #msktwitter
2
6
71
@ethanungchusri
Ethan Ungchusri
3 years
Super proud of my favorite person for completing her first marathon!
1
1
9
@UChicagoCME
UChicago CME
3 years
We're excited to welcome clinicians from around the country to How to Save a Life: IR and Surgical Management of the Trauma Patient today! This conference offer dynamic discussions of interventional radiology and trauma surgery. Learn more: https://t.co/dZEUbPVeLT
0
4
17
@ethanungchusri
Ethan Ungchusri
3 years
Glad to see our biodesign initiatives are alive and thriving 5 years later. Best thing about IR is the innovation spirit. Looking forward to seeing final round presentations in 2023! Keep it up @SIRRFS! @shelbyfrantzMD @AvikSom @jamesfbrogan @JohnDiCapua1 @JFiltes @UChicagoIR
@SIRRFS
SIR RFS
3 years
The 2023 “Clinical Needs in IR” Competition is now underway! Work with fellow students and IR mentors to identify gaps in clinical practice! Sign up here: https://t.co/88blGKRSEt @arygupta123 @annaa_who @SIRspecialists #iRad #medtwitter #twittIR
1
2
12
@TheRealDoctorOs
Osman Ahmed
3 years
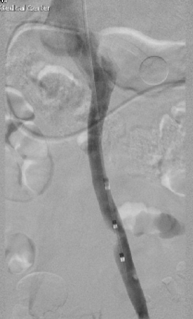
Good week of 4 GAEs (image: pre/post embo) - using both qualitative and quantitative data to understand perfusional changes with embolization. Still need more science/data but hopeful we are on the right track #irad @mikinvpatel @EndovasClarkY
12
11
104
@UChicagoIR
UChicagoIR
4 years
Registration is now open for How to Save a Life: IR and Surgical Management of the Trauma Patient 2022! https://t.co/tPUjIPmwWG
0
3
8