ecoapcat Profile Banner
ecoap Profile
ecoap

@ecoapcat

Followers
1K
Following
21K
Media
548
Statuses
9K

Joined October 2015
Don't wanna be here? Send us removal request.
@y_interna
Medicina Interna. Lo miro y mañana te digo.
5 days
A male smoker with a history of bladder cancer presents with a dry cough and pain in the right supraclavicular region. The lung was examined in the infraclavicular transverse plane. @Pocus_PR @SonoSamMD @javiteigell @yaletung @ResidentesSEMI @mberchid @JMMR83 @GTECOSEMI @curromir
2
7
10
@Socfetmed
Society of Fetal Medicine
6 days
Answer 200: Fetal Meconium Pseudocyst secondary to Meconium Peritonitis Case Credit: Dr. Tushar Verma (SFM) Follow for more #maternalmedicine #fetal #fetalmedicine #fmf #fetomaternalmedicine #sfm #isuog #diagnosis #medtwitter #fetalmed #ultrasound #Radiology
1
13
55
@OGdukeneurosurg
Oren Gottfried, MD
6 days
Help me understand this duck head appearance for appendicitis!
7
120
1K
@mznljrdy47597
sonologist
14 days
Liver segments scanning in Ultrasound #ultrasound #sonologist
1
115
569
@ecoapcat
ecoap
17 days
Aixó es demà!!! @Netespana a Madrid
@Netespana
NET- ESPAÑA
22 days
💥NOVIEMBRE, mes del cáncer neuroendocrino! No olvidéis que el día 4 tenemos una cita en Madrid 🦓 Cuidar de una persona es mucho más que tratar una enfermedad, una visión 360º donde cada detalle cuenta @GEPAC_ @NoInvisibles @FundacionMQI #LetsTalkAboutNets @fep_pacientes 👇👇
0
0
0
@TrackYourHeart
CardiovascularCorner
18 days
Echocardiographic assessment of the right ventricle Credit: @bebulwer
0
144
573
@mznljrdy47597
sonologist
18 days
"Ultrasound in Chronic Pancreatitis – a window into long-standing pancreatic changes! Learn how fibrosis, ductal dilation, and calcifications reveal the story of chronic inflammation. #ultrasound #sonologist #radiologysimplyfide #UltrasoundLearning #ChronicPancreatitis
1
30
111
@mznljrdy47597
sonologist
18 days
Ultrasound Evaluation of Cervical Cancer Key Findings at a Glance! From early-stage detection to advanced involvement, understand how ultrasound helps identify cervical masses, vascularity, and local invasion. #ultrasound #sonologist #CervicalCancer #Radiologysimplyfide
1
27
105
@mznljrdy47597
sonologist
19 days
Thyroid Nodules Decoded with TI-RADS! A clear and structured way to assess thyroid nodules on ultrasound — helping Sonologist ,radiologists decide when to follow, biopsy, or relax. #ThyroidUltrasound #TIRADS #Radiology #BMRIT #DiagnosticImaging #radiologysimplyfide
2
63
288
@mberchid
M. Solimán Berchíd Debdi
18 days
Caso clínico del mes. Astenia,adinamia, inapetencia, perdida de pesoy dolor en hipocondrio izqdo.Varon de 78 años.@GTECOSEMI @NephroP @OswaldoRamosN @y_interna @yaletung @SonoSamMD @ABCDEcografia @jpalacinp @ignaciomsb @Ecosemfyc,@SAMFyC,@ecocritic_es,@JMMR83, @ecoapcat
2
6
16
@LlorensPere
Pere Llorens
27 days
La excelencia en ecografía clínica en urgencias y emergencias en un manual. Imprescindible!!!! @SEMES_ Enhorabuena a su coordinador y gran amigo Dr. Javier Millán, @millanjav
2
19
45
@EchoTech_4
EchoTech
27 days
“Double barrel shotgun sign”
@EchoTech_4
EchoTech
29 days
This 50 years female pt came with acute pain in the epigastrium and jaundice. Your opinion? Name of the sonographic sign?? Area of scan :RUQ. #EchoTech
1
22
136
@ecoapcat
ecoap
28 days
🎥 Et presentem la guia interactiva d’ecocardioscòpia a AP! Consulta ràpida, intuïtiva i instal·lable com una app 📲 🔹 Obre-la i toca “Afegir a pantalla d’inici” 🔗 https://t.co/28qcKTVmJE #POCUS #EcografiaClínica #CAMFIC #AP
1
3
10
@ecoapcat
ecoap
1 month
Ecografia pulmonar en CAMFiC. Ets metge d'urgències i vols aprendre? Anima't amb nosaltres
0
1
2
@Rad_Munagi
Mr. Kenelumchukwu Munagi
1 month
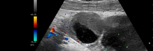
Urinary bladder hematoma responsible for haematuria. Px also have a kidney cyst.
@Rad_Munagi
Mr. Kenelumchukwu Munagi
2 years
Gravity dependent heterogeneous avascular lesion within the bladder lumen. A case of urinary bladder haematoma. NB: there is a Rt simple renal cyst . Not shown in the clip @ManavendraUpad1 You once shared a similar case
1
9
66
@ecoapcat
ecoap
1 month
I els pediatres també fem ecos
0
0
0
@ecoapcat
ecoap
1 month
Ecografia TVP amb cirugia vascular avui a CAMFiC
0
0
0
@ecoapcat
ecoap
1 month
Últim día CAP GranSol Infermeria, vindras a la propera?
0
0
0
@Omkolsoumyahoo1
Omkolsoum
1 month
Appendicitis & ileitis: 10 mm and 6 mm @mznljrdy47597 @The_sonoguy @ABCDEcografia
1
9
44