danatsouza Profile Banner
Daniel Souza Profile
Daniel Souza

@danatsouza

Followers
6K
Following
5K
Media
1K
Statuses
3K

Fellowship Program Director, Abdominal Imaging and Intervention, Brigham and Women's Hospital, Mass General Brigham @BrighamRad @RadRes @BrighamRadEdu #MedEd

Boston, MA
Joined July 2010
Don't wanna be here? Send us removal request.
@danatsouza
Daniel Souza
16 hours
Great job! Contrast-enhanced US performed to assess for intralesional arterial phase hyperenhancement and washout... diagnosis?
1
0
0
@danatsouza
Daniel Souza
15 hours
Great job! Coffee bean sign in sigmoid volvulus! What are the other signs associated with this condition? Anyone? Anyone?
0
0
0
@libertyuonline
Liberty University Online
3 months
This Spring, Your Future Awaits! Enter today for a chance to win your share of $250,000 in scholarships. Be one of the 50 winners to unlock new possibilities!
0
17
142
@danatsouza
Daniel Souza
15 hours
Nice… nice…
0
0
1
@danatsouza
Daniel Souza
16 hours
Diagnosis?
0
0
0
@danatsouza
Daniel Souza
2 days
I wish I had a KUB but scout will do! 44-year-old female patient presenting with decreased bowel movements and abdominal distention... what is the name of this sign? GIFs only please! @BrighamRad @FOAMrad @SAR_RFS @futureradres @ARRS_Radiology @Abdominal_Rad @CBRadiologia
11
7
41
@danatsouza
Daniel Souza
2 days
Diagnosis?
1
0
3
@danatsouza
Daniel Souza
2 days
Next step?
1
0
0
@danatsouza
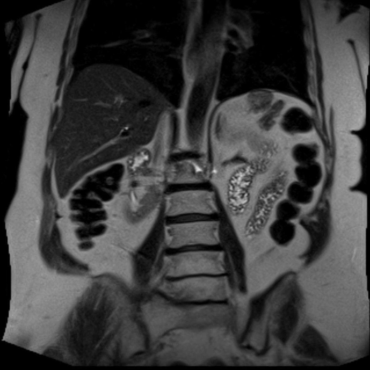
Daniel Souza
2 days
60-year-old male patient with history of cirrhosis undergoes HCC screening with non contrast MRI (patient refuses IV gadolinium due to hives)... Diagnosis? Next step? @BrighamRad @FOAMrad @SAR_RFS @futureradres @ARRS_Radiology @Abdominal_Rad @CBRadiologia #MedEd
3
0
20
@HomeEssences
Home Essence
29 days
Keep your bathroom floor clean, dry and safe with the number 1 bathmat of 2025! ✨ - Absorbs and dries water 3x faster - Stays clean, fresh and odorless - Ultra-soft and compact - Non-slip and stays perfectly in place Get yours today!!!
0
187
2K
@danatsouza
Daniel Souza
2 days
Thanks everyone... I feel better now... In my humble opinion, this case had lymphoma written all over the upper abdomen! I went further and suggested high-grade diffuse large B-cell lymphoma as the most likely diagnosis! However, biopsy showed metastatic melanoma! (and I lost a
1
0
1
@danatsouza
Daniel Souza
2 days
All right, all right... Where is the spleen? This patient is status post splenectomy for trauma. MRI performed 5 years later confirming benign vs indolent etiology... this is... Mesenteric SPLENOSIS! @BrighamRad @FOAMrad @SAR_RFS @futureradres @ARRS_Radiology @Abdominal_Rad
0
0
4
@danatsouza
Daniel Souza
6 days
Diagnosis?
1
0
3
@danatsouza
Daniel Souza
6 days
Full disclosure: I lost the bet and did not get this one right... 🤨 can you? 59-year-old male patient with remote history of melanoma... diagnosis?
3
4
21
@chainlink
Chainlink
8 days
Chainlink: Linking Wall Street to Web3.
0
0
0
@danatsouza
Daniel Souza
6 days
Amazing job! Retroperitoneal paraganglioma! Arises from sympathetic paraganglia, along organ of Zuckerkandl near the aortic bifurcation... 50-60% hyperfunctioning, 40% associated with germline mutations (e.g. SDHB), solid hypervascular mass, intense arterial enhancement, often
0
0
1
@danatsouza
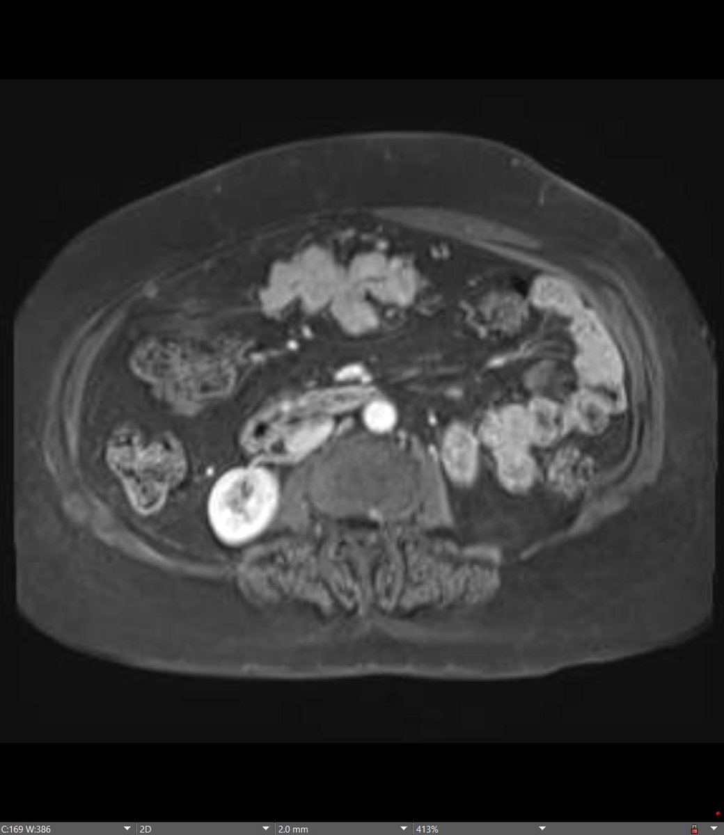
Daniel Souza
6 days
57-year-old female patient presenting with soft tissue mass in the mesentery... If an image is worth a thousand words... you don't need the history on this one! Diagnosis? Next step? @BrighamRad @FOAMrad @SAR_RFS @futureradres @ARRS_Radiology @Abdominal_Rad @CBRadiologia
6
7
36
@danatsouza
Daniel Souza
6 days
1
0
0
@danatsouza
Daniel Souza
6 days
0
0
1
@danatsouza
Daniel Souza
7 days
1
0
2
@danatsouza
Daniel Souza
7 days
Very cool animation of a common but hopefully less common procedure done in the US… what is it?
@drkeithsiau
Keith Siau
7 days
What is the name of this procedure?
1
0
1
@TraetoSt
Traeto
2 days
Cook reliably outdoors with this wind-resistant portable gas stove. Its stable flame and durable build heat meals fast, whether you're camping, hiking, or preparing for emergencies. Compact, easy to pack, and ready anywhere. 👉 Ready to buy? Just click the video or the link.
0
3
13
@danatsouza
Daniel Souza
8 days
Great job! It is often described as one of the cystic neoplasms of the pancreas because cystic changes and intralesional hemorrhage are so common… prognosis far better than PDAC!
0
0
4
@danatsouza
Daniel Souza
8 days
0
0
0