aneinternationa Profile Banner
ANE International Profile
ANE International

@aneinternationa

Followers
762
Following
10K
Media
1K
Statuses
4K

We aim to raise awareness, provide information & support families with #AcuteNecrotizingEncephalopathy ANE is typically triggered by #Influenza & other viruses.

Joined October 2017
Don't wanna be here? Send us removal request.
@aneinternationa
ANE International
11 months
For information on #acutenecrotizingencephalopathy or to contact us at ANE International, please refer to our website. https://t.co/4vrNJgCfh6
0
1
1
@casanova_lab
Casanova Lab
3 days
Brilliant work ! Acute necrotizing encephalopathy associated with COVID-19 in a pediatric patient and a systematic review
Tweet card summary image
rupress.org
Hemorrhage detected on imaging may predict poor outcomes in acute necrotizing encephalopathy associated with COVID-19. RANBP2 mutations have been identifie
0
4
13
@aneinternationa
ANE International
3 months
@ZdenekVrozina
Zdenek Vrozina
3 months
The worst form - acute necrotizing encephalopathy (ANE) - inflammatory and hemorrhagic destruction of deep brain structures. Children with ANE had 44× higher odds of death or severe disability. ANE isn’t a mild complication - it’s a neuroinflammatory catastrophe.
0
0
1
@rmchavin
Ronald M. Chavin
4 months
Běijīng, Zhōngguó *By Day 28, acute necrotizing encephalopathy had killed 45.9% of our kids *Among severe kids with ANE-SS ≥5, 65.7% died *Death rates were 38.9% (2022), 36.8% (2023), but only 16.7% (2024) *We could afford Actemra only for our severe kids https://t.co/DkZPQmaa5C
0
1
2
@SikandarAdwani
sikandar adwani
5 months
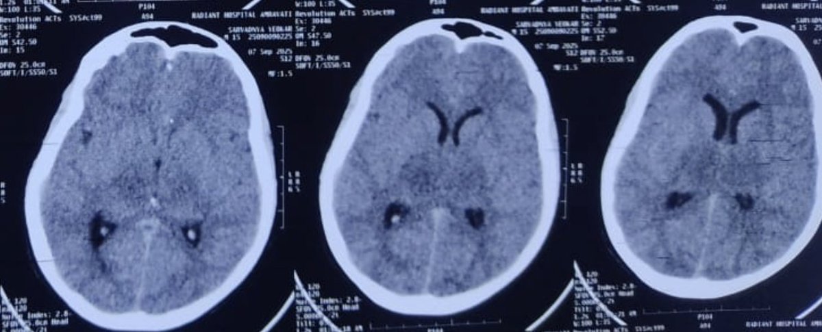
15-year-old boy 4 days of fever → seizures → unconscious CT scan: bilateral thalamic hypodensities. Not your routine viral encephalitis. This is where you must think of Acute Necrotizing Encephalopathy (ANE) — a para-infectious cytokine storm that needs early steroids &
11
35
227
@IVaccinateMI
I Vaccinate
5 months
"Acute necrotizing encephalopathy" is a rare flu complication in kids, causing brain swelling and immune reactions. This serves as a harsh reminder of the importance of the flu vaccine, as most of the affected kids had not received it. Read more here:
Tweet card summary image
ivaccinate.org
A rare but deadly flu complication in children may be survivable with fast, targeted hospital care, according to a Stanford Medicine-led study.
0
1
2
@veraghali
Vera Ghali, MD
5 months
Influenza-associated acute necrotizing encephalopathy (IA-ANE), is a rare and severe neurologic complication, that causes high morbidity and mortality that presents with encephalitis, fever, seizures, thrombocytopenia, elevated liver enzymes, and elevated protein in the
@JAMA_current
JAMA
5 months
#Influenza-associated acute necrotizing encephalopathy in US children during the 2023-2024 and 2024-2025 influenza seasons showed high morbidity and mortality. 🧵 https://t.co/cXfXdqqev5
1
1
7
@IngoHelbig
Ingo Helbig
5 months
Influenza and acute necrotizing encephalopathy – the genetic dimension | Beyond the Ion Channel ...we just published our blog post on Acute Necrotizing Encephalopathy (ANE) and RANBP2 from the recent study in JAMA. https://t.co/dk8KMZLxc5
0
3
5
@wfneurology
World Federation of Neurology (WFN)
6 months
WFN highlights the latest Neuroinfectious Disease Update [August '25], covering critical developments in influenza-associated encephalopathy (IAE) and acute necrotizing encephalopathy (ANE), H5N1-related encephalitis, and the recent Nipah virus outbreak in Kerala, India. The
0
4
2
@aneinternationa
ANE International
6 months
@StanfordChild
Stanford Children's
6 months
Stanford Medicine researchers hope to raise awareness about a condition called influenza-associated acute necrotizing encephalopathy, to inform parents and physicians about its prevention and treatment.
0
0
0
@aneinternationa
ANE International
6 months
⚡️ANE can strike without warning—in anyone, at any age. Follow the link in our bio for the full story. 👨‍👩‍👧‍👧Together, we can raise awareness. 👨‍👩‍👦‍👦Together, we can save lives. #influenza #ANEawareness #AcuteNecrotizingEncephalopathy
0
0
1
@aneinternationa
ANE International
1 year
Symptoms to be aware of if your child has #influenza. Check our website for more information. https://t.co/4vrNJgBHry #acutenecrotizingencephalopathy #acutenecrotizingencephalitis
0
0
0
@RodneyRohde
Rodney E. Rohde, PhD "Doc R"
1 year
Seasonal influenza A-associated acute necrotizing encephalopathy in children https://t.co/blZKZa8ifN
1
1
2
@syaddana_neuro
Sridhara S Yaddanapudi MD
1 year
Neuro infection pearl RANBP2 mutations predispose patients to acute necrotizing encephalitis due to influenza A. Characteristic MRI involving thalami / brain stem/ cerebellum with lack of pleocyotsis is seen. Steroid responsive. https://t.co/kLEUy27g3Q. @AANmember @TheNewANA1
Tweet card summary image
pmc.ncbi.nlm.nih.gov
Acute necrotizing encephalopathy (ANEC) is a rare entity characterized by encephalopathy following a febrile illness. Most patients are sporadic; however, recurrent and familial cases have been...
1
2
7
@aneinternationa
ANE International
1 year
#AcuteNecrotizingEncephalopathy (ANE) is a devastating neurologic condition that can arise following a variety of systemic infections, including influenza & SARS-CoV-2. Most commonly reported in previously healthy children. #influenza #braininjury #raredisease #genetic #ranbp2
0
0
0
@aneinternationa
ANE International
1 year
Can you help? We are collaborating with Montpellier University Hospital in an event for ANE families & crucial research. Together with clinicians & researchers we also hope to raise awareness for this devastating disease. #ranbp2 #flu @CHU_Montpellier https://t.co/nIKd0waNwV
0
0
1
@aneinternationa
ANE International
1 year
#Covid19 associated #AcuteNecrotizingEncephalopathy "...it was like everything just went away... all the happiness, all the innocence... " https://t.co/vIisVJlxkh #raredisease #ANEawareness
0
0
0
@GreenJournal
Neurology Journal
1 year
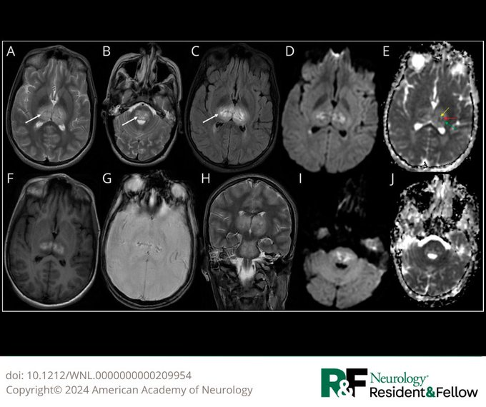
Each month the Neurology Resident & Fellow Section editorial board selects their favorite article for the month. Read their current pick, "Child Neurology: Acute Necrotizing Encephalopathy of Childhood Associated With Dengue": https://t.co/PXkgNW6gG1 #NeurologyRF #NeuroTwitter
2
2
8
@DrImranSheikh
Dr Imran Sheikh 🩺
1 year
Child Neurology: Acute Necrotizing Encephalopathy of Childhood Associated With Dengue—Good Neurologic Outcome Despite a Fulminant Presentation https://t.co/o95oc0lclQ
0
1
1