abremner1976 Profile Banner
Alex Bremner Profile
Alex Bremner

@abremner1976

Followers
187
Following
6K
Media
326
Statuses
5K

United States
Joined December 2011
Don't wanna be here? Send us removal request.
@mattletiss7
Matt Le Tissier ✝️
2 years
Someone posted this on Facebook...so true! Tax his land, Tax his bed, Tax the table At which he's fed. Tax his work, Tax his pay, He works for peanuts Anyway! Tax his cow, Tax his goat, Tax his pants, Tax his coat. Tax his tobacco, Tax his drink, Tax him if he
2K
32K
64K
@brainconferenc1
BRAIN Conference
2 years
We're offering 30 spaces for FREE accommodation at Club Quarters London City to those who register for ALL 3 days of #BartsBRAINConference 2023! Find out more and register here: https://t.co/BZOCX5miZd @RLHINR @GeriSoc @_sirm @SocArgRad @FrontRadiology @theBSNR @UKBANN
0
10
18
@fun88eng
FUN88
3 years
We’ve got a pair of tickets up for grabs for Newcastle Utd vs Liverpool on Sunday 27th August 🎟️🎟️ ➡️ Follow @fun88eng 🔁 Share this post We’ll pick a winner at random and announce next week! 🤝 18+ | https://t.co/RvTLPXSx33 #NEWLIV | #NUFC | #LFC
222
6K
2K
@IncCerus
Cerus Endovascular
3 years
Today, @Stryker_NV has acquired Cerus Endovascular. We’re looking forward to working together to bring our technology to more patients around the world. https://t.co/bWJ1fqwJox
3
8
41
@IncCerus
Cerus Endovascular
3 years
CerusEndo Case: Left MCA with posterior temporal branch. An 11 mm contour with intra-aneurysmal contrast stagnation and permeable branch. Thanks Dr Echevarrieta, Dr Conde, Jessica and Diego Alejandro Besada #cerusendo #contour #neurointervention #neurovascular #endovascular
0
1
3
@DavidAltschulMD
David Altschul
3 years
#contour 1 year folllow up!! @IncCerus @Stryker_NV let’s keep enrolling!!!
0
2
9
@neill_bob
Sir Bob Neill KC (Hon)
3 years
Raised in #PMQs today the case of Dr John Stephens, whose remarkable recovery from a serious stroke demonstrates unequivocally why access to mechanical thrombectomy must be expanded. It's a genuine gamechanger. I'll continue to work with the @TheStrokeAssoc on this. @Johnnieboys
9
43
143
@ByDonkeys
Led By Donkeys
3 years
🚨MPs FOR HIRE: a Led By Donkeys undercover investigation🚨 Watch the trailer…
4K
32K
79K
@Tim_Burgess
Tim Burgess
3 years
Hey @BorisJohnson, thought I’d do a survey to help you read the room. A simple question: Should Stanley Johnson (Boris Johnson’s father) receive a knighthood? Please retweet once you answer so that we can get as many responses as possible
477
17K
5K
@TheJNS
Journal of Neurosurgery
3 years
#OnlineFirst: Comparison of the Contour Neurovascular System and Woven EndoBridge device for treatment of wide-necked cerebral aneurysms at a bifurcation or sidewall. https://t.co/3LKEEth0Ck.
2
15
63
@fun88eng
FUN88
3 years
We’ve got a pair of tickets up for grabs for a huge game at St James’ Park between @NUFC and Liverpool on Saturday 18th February 🎟️🎟️ ➡️ Follow @fun88eng 🔁 RT this post We’ll pick a winner at random and announce this weekend 💥 #NEWLIV | #NUFC | #LFC
190
7K
2K
@NUFCBlogcouk
NUFC Blog
3 years
🚨 COMPETITION GIVEAWAY! 🚨 To celebrate #NUFC reaching Wembley, we're giving away this stunning print from @footymishmash! 😍 To enter, simply: ⚫️ RT this post ⚪️ Follow @NUFCblogcouk A winner will be announced over the weekend. Good luck! 😃
18
630
204
@DamianLow3
Damian Low
3 years
Both the govt and Labour will have to address the elephant in the room of #brexit to deliver growth. Our @Omnisis poll shows the public are open to a closer relationship with Europe so silence isn’t an option @campbellclaret @mrjamesob @TheNewEuropean
160
911
3K
@fun88eng
FUN88
3 years
Our last Twitter giveaway for a HUGE game at St James’ Park on Tuesday night with a place in the #CarabaoCup final at stake! 🤩 To be in with a chance of winning a pair of tickets: ➡️ Follow @fun88eng 🔁 RT this post Winner picked at random & announced on Monday! #NUFC ⚫️⚪️
224
6K
2K
@LibDems
Liberal Democrats
3 years
Last night, 292 Conservative MPs voted to allow sewage dumping by water companies in our rivers and coasts for at least 15 more years. Can you spot your MP on the list?
2K
6K
8K
@fun88eng
FUN88
3 years
We’ve got a pair of tickets up for grabs for @NUFC vs Southampton in the second-leg of the Carabao Cup semi-final 🏆🎟️🎟️ ➡️ Follow @fun88eng 🔁 RT this post We’ll pick a winner at random and announce later this week! 🤝 #CarabaoCup | #NUFC ⚫️⚪️
355
8K
2K
@JonathanPieNews
Jonathan Pie
3 years
We all knew what the Tories’ endgame was for the NHS. It’s not like they’ve ever put any effort into hiding it. #NHSPrivatisation
331
6K
17K
@docanshuljain
Anshul Jain
3 years
Using these new endovascular device make treating these wide neck tricky acom aneurysm safe and effective. Case of ruptured Acom aneurysm treated with transradial neqstent assisted coiling #neurointervention #aneurysm #interventionradiology
2
4
26
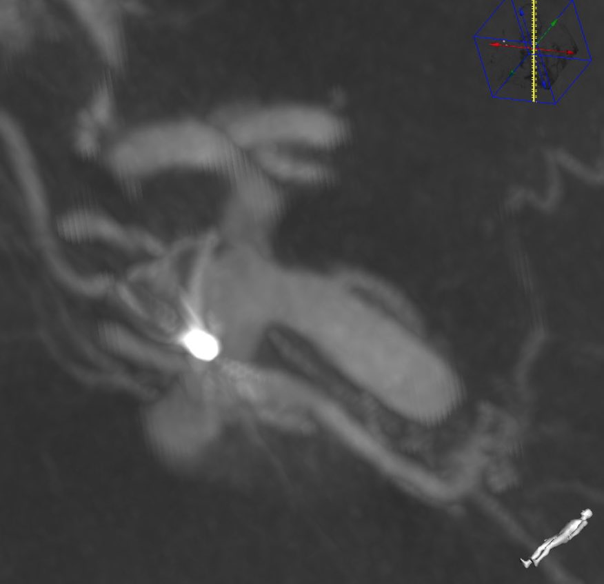
@JanKarlBurkhar1
Jan-Karl Burkhardt, MD
3 years
Wide-neck previously coiled/ruptured ACoA #aneurysm with bleb in neck. Perfect first Contour case in 2023 in the US🇺🇸 @IncCerus @PennNSG #cerebrovascular @cvsection #stasis #intrasaccular
1
4
20
@fun88eng
FUN88
3 years
We’ve got a pair of tickets up for grabs for @NUFC vs Leicester in the Carabao Cup quarter-final 🎟🎟 To enter: ➡️ Follow @fun88eng 🔁 RT this post The winner will be announced on Friday and will also take part in the FUN88 HT Challenge 🤝 #NUFC | #LCFC | #CarabaoCup
92
3K
709