abelinho94 Profile Banner
Abel Ramirez R Profile
Abel Ramirez R

@abelinho94

Followers
278
Following
8K
Media
453
Statuses
8K

Médico Cirujano. Creo firmemente en lo que soy capaz de lograr. Burda e'pana Guanareño y adicto del Llaneros de Guanare FC (VERDIAZUL) #DiosReyDeMiVida

Venezuela
Joined May 2010
Don't wanna be here? Send us removal request.
@abelinho94
Abel Ramirez R
3 years
Te llevaré siempre en mi mente (ya que más nunca te veré) Llaneros de Guanare. Parte de mis locuras en mi adolescencia lo hice en el estadio RCP.
14
14
186
@drsthanus
Dr sthanu subramanian
6 days
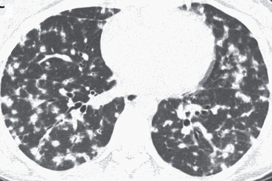
54-year-old woman with asthma and allergic rhinitis. 3-month hx of productive cough and dyspnea. Also had fevers, chills, night sweats, and an unintentional 9-kg weight loss. On lung examination, there was expiratory wheezing and diffuse crackles. Likely diagnosis?
23
32
187
@dracortezmaria
María Cortez
11 days
Pensando que 8/10 niños que acuden a mi consulta y sus papás les preocupa su comportamiento son niños que comen ultra procesados y azúcar diario, toman café y utilizan pantallas más de lo permitido. No llames a tu hijo inquieto o hiperactivo, cuando lo mantienes híper estimulado.
6
16
107
@abelinho94
Abel Ramirez R
12 days
Muy buen juego
@SeleVinotinto
La Vinotinto
12 days
¡𝑭𝒊𝒏𝒂𝒍𝒊𝒛𝒂 el partido! 𝑮𝒂𝒏𝒂𝒎𝒐𝒔, 𝑽𝒆𝒏𝒆𝒛𝒖𝒆𝒍𝒂. 🇻🇪 Venezuela 1-0 Australia. ⚽️ Jesús Ramírez, 37’. #SiempreVinotinto
0
0
0
@rafalejov
Rafalejov
23 days
Es increíble esta imagen.
50
75
628
@AlertaMundoNews
Alerta Mundial
23 days
🇩🇪 | Una bebé nacida en el Hospital Universitario de Magdeburgo, Alemania, protagonizó un milagro. La pequeña, cuyo nombre aún no se ha revelado, nació 16 semanas prematura y pesó tan solo 300 gramos. Es una niña. La bebé logró sobrevivir, a pesar de que los médicos dicen que la
462
3K
30K
@MarlonVFZR
Dr.Marlon Villanueva™ 🩺 𝕏
1 month
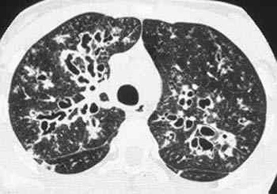
🫁𝗧𝗖 𝗲𝗻 𝗻𝗲𝘂𝗺𝗼𝗻𝗶́𝗮𝘀🩻 ⬇️⬇️⬇️⬇️ 🔹 𝘼𝙨𝙥𝙞𝙧𝙖𝙘𝙞𝙤́𝙣 📍Consolidación dependiente, zonas posteriores. 📍Broncoaspirado y patrón de ocupación alveolar irregular. 🔹 𝘽𝙊𝙊𝙋 / 𝙉𝙚𝙪𝙢𝙤𝙣𝙞́𝙖 𝙤𝙧𝙜𝙖𝙣𝙞𝙯𝙖𝙙𝙖 📍Opacidades migratorias, periféricas o
1
75
257
@PanfiloDr
Dr.Panfilo Picarzo
1 month
Es gracioso cómo la gente no le exige lo mismo a un político que a un médico… Al político no le piden vocación. Le pagan bien. No necesita cédula. No se queda 36 horas en guardia. Y, curiosamente, nadie le grita “¡por mí tragas!” (cosa que si seria legitimo gritarlo)
33
899
3K
@NicoGagelmann
Nico Gagelmann
1 month
Here is a CT scan of a patient who has been on antibiotics for 7 days but is experiencing worsening dyspnea. Diagnosis?
13
42
277
@guerreroespejo
Antonio Guerrero
1 month
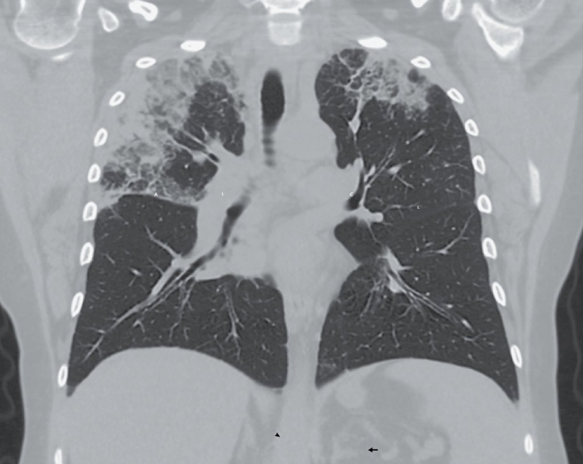
22 años, varón con #eosinofilia, #asma y aumento de IgE. TC: múltiples #bronquiectasias cilíndricas de predominio central. 1/2 https://t.co/jjtFB9cFP2
4
29
197
@ChocogatoRacing
Rishan Juan Ignacio Tadeo
1 month
Clindamicina (El arma para anaerobios y piel) Perla clínica #1 – El rey de los anaerobios: La clindamicina es excelente contra bacterias anaerobias (aquellas que no requieren oxígeno), especialmente las que se encuentran por encima del diafragma. Es el fármaco de elección para
3
83
620
@EM_RESUS
Sam Ghali, M.D.
2 months
Here’s a WILD Chest X-Ray you don’t see every day What’s the diagnosis?
123
60
727
@InformaCosmos
Informa Cosmos
1 month
La importancia de levantar los brazos para la circulación de la sangre. https://t.co/xCiNWlebIR
29
1K
14K
@abelinho94
Abel Ramirez R
3 months
Envidio tanto a Bolivia, salio del socialismo y clasificaron al repechaje.
0
0
0
@abelinho94
Abel Ramirez R
3 months
Me siento de luto. Se nos fue el suelo mundialista nuevamente. Otra vez no pudimos ganar ese partido clave.
0
0
0
@abelinho94
Abel Ramirez R
3 months
El momento ha llegado, el partido ha llegado, no se vale repetir la historia.
@SeleVinotinto
La Vinotinto
3 months
La historia no nos abrirá la puerta, tendremos que tumbarla JUNTOS Siempre es SIEMPRE 𝑳𝒂 𝑽𝒊𝒏𝒐𝒕𝒊𝒏𝒕𝒐, Siempre 🇻🇪 @fvf_oficial @juvenilesfvf @FemeninoFVF @vinotintoplaya @FutsalFVF #SiempreVinotinto #Siempressiempre #Hastaquedejedelatir
0
0
0
@EnsedeCiencia
Enséñame de Ciencia
3 months
La ciudad de Obrenovac, en Serbia, desapareció casi en su totalidad bajo el río Sava debido a las fuertes inundaciones en el año 2014 https://t.co/N7rQrZTFqW
75
2K
14K
@giraltpablo
Pablo Giralt
3 months
TREMENDO video de la Vinotinto en la previa del gran partido de mañana ante Colombia. CON LA ILUSIÓN INTACTA 🇻🇪
296
2K
8K
@BipinChaurasia_
Neurosurgery Cocktail
3 months
4
249
2K
@Javierito321
Javierhalamadrid
3 months
Solo pasaba para recordarles que la Santeria/Espiritismo no son una religión, el Cristianismo las rechaza… Saludos.
155
518
4K
@jpeseteiroDT
Peseteiro
3 months
𝐂𝐎𝐍𝐕𝐎𝐂𝐀𝐓𝐎𝐑𝐈𝐀 𝐕𝐈𝐍𝐎𝐓𝐈𝐍𝐓𝐎 🇻🇪🚨 Esta es la lista de convocados por el Bocha Batista la última doble fecha eliminatoria. 🇦🇷- 🇻🇪 | 04 Septiembre | Buenos Aires. 🇻🇪- 🇨🇴| 09 Septiembre | Maturin. Con El Rosario en la mano. SIN YANGEL HERRERA. 👀
81
133
832