TCTME+
@TCT_ME_
Followers
657
Following
1K
Media
165
Statuses
1K
The meeting of the Cardiovascular Research Foundation in the Middle East
Joined June 2024
#2025 is the beginning of an era 💡Innovation 💡Collaboration 💡Education Highlights: 🖌️450 faculty & presenters from all 5 continents 🖌️>3000 registrants 🖌️iCOACH, wet-lab & Silent hall most popular Awards: 🏆Travel & Research @wmahmeed 🏆 @MYFegy 🏆@JACCJournals 🏆Best case
3
14
41
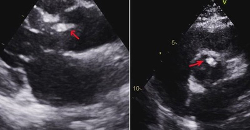
Thread 🧵 1/ “Vegetation Biopsy”—are we entering a new era of precision medicine in infective endocarditis? Is empiric therapy for culture-negative IE becoming unacceptable with new diagnostic tools emerging? https://t.co/1ITaXt4nJu
jacc.org
1
3
7
@abdarabi @AlhijjiM @MohammedQintar @Baraa_Habib_ @aelsab @Falmutairi2018 @GisGulf @GULFHeartAssoc Very educational case 🌟🌟Thx for sharing Pls submit your cases to @TCT_ME_ ..we’d love to learn from them 👉
0
2
1
Planning underway..looking forward to a session with @atherosociety & Women’s CV Research Consortium @SamiaMoraMD @mirvatalasnag @drptca @dr_nouf81 @AlkashkariWail @mmamas1973 @drhalia @crfheart @jgranadacrf @djc795 @DrMsk1988 @jassimalsuwaidi @doctorhadi @RHammami_cardio
Preparations are underway 🌟HRH Haifa AlFaisal bin Abdulaziz Al Saud reengages the team.. The CV Research Consortium is making steady progress & will be joining @TCT_ME_ in April 2026 with global leaders .. announcement forthcoming 🌟PDC Track Leads are meeting with their
0
11
26
Honored to be selected as the inaugural fellow for the Mayo Clinic - Cardiovascular Research Foundation Innovation Mentorship Program. Grateful for @adnanalkhouli and @jgranadacrf for the opportunity to learn from leaders in MedTech innovation🫀 @MayoClinicCV @crfheart
Delighted to announce the inaugural fellow for the Mayo Clinic CV/CRF Innovation Mentorship Program — Abdullah Al-Abcha. Co-chaired by @jgranadacrf and myself, this immersive experience will provide Dr. Alabcha with focused, hands-on exposure to MedTech innovation and the full
17
9
106
@mirvatalasnag @adnanalkhouli @jgranadacrf @MayoClinicCV @crfheart @TCT_ME_ Thank you so much Dr. Alasnag! Will definitely make it to @TCT_ME_ 2027 🙏🏽
0
1
2
0
4
23
We sure do and more than one🤩..the application link is almost up & running/announcement is forthcoming … keep an eye out In the meantime submit your science/cases/abstracts: 👉 https://t.co/oBAfTCA1az
@TCT_ME_ are you going to have scholarships for fellows this year?
0
3
9
Mark your calendar for #NYValves2026 — where visionaries unite to shape the future of structural heart care!🗽 Get ready for dynamic discussions, live cases, and hands-on training.✨ Sign up for CRF notifications and stay ahead of the latest updates and openings! 📢
1
13
23
It will be another triumphant tale and the #TCTMiddleEast legacy continues.
Preparations are underway 🌟HRH Haifa AlFaisal bin Abdulaziz Al Saud reengages the team.. The CV Research Consortium is making steady progress & will be joining @TCT_ME_ in April 2026 with global leaders .. announcement forthcoming 🌟PDC Track Leads are meeting with their
0
3
14
TCT Middle East in Riyadh, Saudi Arabia Call For Science Is Open Submit your work https://t.co/E8UZZxCJay
@crfheart @TCTMD @TCT_ME_
0
5
10
Ready to take the stage at the Middle East’s premier cardiovascular conference? Submit your science to #TCTMiddleEast2026 and showcase your work to a global audience of innovators, clinicians, and thought leaders! 🌍 https://t.co/OqqJRaDeXx
#CardioX #CardioTwitter #CardioEd
0
13
22
The largest family home in the area is @TCT_ME_. Everyone is welcome to take part in this enormous festival. #TCTMiddleEast 2026 is shown by all four directions. #WeInnovateNotReplicate
Ready to take the stage at the Middle East’s premier cardiovascular conference? Submit your science to #TCTMiddleEast2026 and showcase your work to a global audience of innovators, clinicians, and thought leaders! 🌍 https://t.co/OqqJRaDeXx
#CardioX #CardioTwitter #CardioEd
1
8
22
Preparations are underway 🌟HRH Haifa AlFaisal bin Abdulaziz Al Saud reengages the team.. The CV Research Consortium is making steady progress & will be joining @TCT_ME_ in April 2026 with global leaders .. announcement forthcoming 🌟PDC Track Leads are meeting with their
0
12
28
@AnasNomanMD @amrmohsen213 @MarwanSaadMD @BinAbdulHak_A @6ayyeboon @acamajmd @DanyJacob87 @JAG24851 @JDDCFratti @DrRachelGoodwin @scottiejj12 @salmanfarhat228 Structural interventions may be interesting but coronary revasc is our bread n butter..thx for sharing your case Folks call for cases/science opening 🔜 @TCT_ME_ buckle up
0
3
10
What an amazing week at #TCT2025 in San Francisco . full of innovation, learning, and meaningful discussions. Grateful for the chance to moderate one session and join a discussion in four others, and even more grateful for the friends and mentors that make this meeting special
0
3
22
90% ostial LM 90% distal LM 99% ostial RCA Impella assisted Complete revascularization #Rota #Shockwave #DKcrush
@amrmohsen213 @MarwanSaadMD @BinAbdulHak_A @6ayyeboon @acamajmd @mirvatalasnag @DanyJacob87 @JAG24851 @JDDCFratti @DrRachelGoodwin @scottiejj12 @salmanfarhat228
9
4
31
Looking forward to @TCT_ME_ 2026 World class science and faculty in the crossroads of continents and ideas @crfheart
@TCT_ME_ @Heart_SCCT @ASE360 @DrMsk1988 @ChamsiPash @NadeenFaza @EchoSoliman @DrHaniMahmoud @mohamed_elsabah @ibrahem_albakry @ibrahimjelaidan @RHAAttar @Bgheyath #MemoryLane 2025 … yes 2026 will be no less @crfheart 🌟🌟🌟 @ASE360 @Heart_SCCT @hahn_rt @MarwanSaadMD @kalazizimd @NadeenFaza @YaserNemshah @DrAlbinmousa @DavidWienerMD @djc795 @mmamas1973 @AlkashkariWail @BakhshiHooman @alialshahrani @AliSahebHusain @Dr7amdanAl3jmi
0
2
8
A pleasure to collaborate with our colleagues at @TCT_ME_ . Multimodality heart team = the wave of the future....no, the present! @ASE360 @mirvatalasnag @crfheart
This year we are looking forward to the active participation of @Heart_SCCT @ASE360 in our program in Riyadh 🇸🇦 🫀Main arena & breakout room sessions with interventional imaging experts 🫀Simulation based learning 🫀An opportunity to expand membership & publish in specialized
5
5
21
What a prestigious conference. We are proud to have this amazing collaboration that definitely enriches the entire region. We are encouraging and welcoming everyone to participate in this great educational and scientific meeting.
This year we are looking forward to the active participation of @Heart_SCCT @ASE360 in our program in Riyadh 🇸🇦 🫀Main arena & breakout room sessions with interventional imaging experts 🫀Simulation based learning 🫀An opportunity to expand membership & publish in specialized
0
3
9
The best is coming in April 9-11 2026 #TCTMiddleEast2026 🚨🚨🚨🚨🚨🚨🚨🚨🚨🚨🚨🚨🚨🚨
@TCT_ME_ @Heart_SCCT @ASE360 @DrMsk1988 @ChamsiPash @NadeenFaza @EchoSoliman @DrHaniMahmoud @mohamed_elsabah @ibrahem_albakry @ibrahimjelaidan @RHAAttar @Bgheyath #MemoryLane 2025 … yes 2026 will be no less @crfheart 🌟🌟🌟 @ASE360 @Heart_SCCT @hahn_rt @MarwanSaadMD @kalazizimd @NadeenFaza @YaserNemshah @DrAlbinmousa @DavidWienerMD @djc795 @mmamas1973 @AlkashkariWail @BakhshiHooman @alialshahrani @AliSahebHusain @Dr7amdanAl3jmi
0
3
13