
Sylvain Trahan MD
@SylvainTrahanMD
Followers
202
Following
38
Media
11
Statuses
37
Thoracic pathologist @IUCPQ & Professor @universitelaval - Surgical pathology, cytology & autopsy - Medical education
Québec city, Québec, Canada
Joined October 2013
5
52
56
In our autopsy series of COVID19, we found viral rna in acute DAD but it is not present when DAD progresses to organizing phase - @mkbaine @natasharekhtman @MSKPathology #pulmpath #covid19 #pathology #lung
onlinelibrary.wiley.com
Introduction We describe post-mortem pulmonary histopathologic findings of COVID-19 pneumonia in patients with a spectrum of disease course, from rapid demise to prolonged hospitalisation. Methods...
1
20
35
EBUS-TBNA: An overview and update for the #cytopathologist
http://t.co/cdnAkjqoxS
#cytology #lungcancer
http://t.co/vxT9wDokyC
0
13
13
New: #Cytology nomenclature and 2015 World Health Organization classification of lung cancer http://t.co/43dEkPIs5H
#lung #lungcancer
0
11
11
Shake (fresh) lung biposies/wedges in formalin ~1min. Removes atelectasis artifact! #pathology
http://t.co/yiHcizOKVh
1
18
23
0
16
11
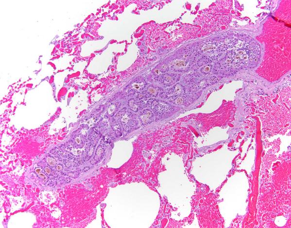
Image of the day: hepatocellular carcinoma metastasis to lung #pathologists #histology #forensic #pathology
http://t.co/eqg4xCOkLP
5
60
35
Looks like it is time to add ROS1 to standard NSCLC mutation panels (if not doing already). #lcsm
http://t.co/WQBYFiL3Vf
2
9
6
Transitioning from #residency into practice is difficult - These resources might help http://t.co/jI4Q2s61E7
#MedEd
http://t.co/7vDBGMCJhq
0
3
1
Image of the day: toxicology surprise - kidney crystals spur testing for ethylene glycol (antifreeze) #pathologists
http://t.co/xKcBzGhYPY
2
18
15
High power Skin punch biopsy: metastatic malignant mesothelioma #cancer #pathologists #dermatopathology #unbelievable
http://t.co/Ben0oiSNqm
0
11
11
Skin punch biopsy: metastatic malignant mesothelioma #cancer #pathologists #dermatopathology #unbelievable
http://t.co/LcpbMQV3R7
1
13
10
Every day in the US, 130 people will be diagnosed with #pulmonaryFibrosis. Learn more: http://t.co/NmT1IXXP2s
0
4
0
0
4
7
Whartin's Tumor on needle core biopsy from parotid gland #pathologists
http://t.co/VeLEzhzUNZ
http://t.co/9AquLzrEsr
1
1
3
Standing desk. Been using it for 1 yr. No more back/neck problems. Can't imagine going back to sitting. #pathologists
http://t.co/rbxHD36MBC
3
21
21