sam_albadri Profile Banner
Sam Albadri, M.D., M.Sc. Profile
Sam Albadri, M.D., M.Sc.

@sam_albadri

Followers
6K
Following
17K
Media
798
Statuses
12K

@MayoClinicPath Renal Path Fellowship Director | #renalpath #cytopath. Tweets/RTs ≠ medical advice. Views my own. Cases are not current.

Mayo Clinic, Rochester
Joined February 2016
Don't wanna be here? Send us removal request.
@sam_albadri
Sam Albadri, M.D., M.Sc.
5 months
Join us at @MayoClinicPath for advanced training in Renal Pathology. World-class faculty, cutting-edge diagnostics, and high-volume cases await you. 🔗 https://t.co/V0z3F6BhcY #renalpath #pathology #meded #MayoClinic
Tweet card summary image
college.mayo.edu
3
12
36
@MayoClinicPath
Mayo Clinic Pathology
5 days
The #ASCP2025 Fellowship Fair connects residents and programs to explore 200+ open pathology fellowship positions. Education Program Coordinator Marie Durgin-Hanson proudly represented Mayo Clinic’s fellowship program. Explore our 24 Rochester fellowships here!
2
2
11
@DanCevette
Dan Cevette
2 days
Gratitude makes you grounded, discipline makes you dangerous. Happy Thanksgiving to YOU ALL.
12
39
297
@GaryKeeneyMD
Gary L. Keeney, M.D.
25 days
120 years of frozen section at Mayo. #Unni #Goellner #Lewis #Inwards. Now the future!
0
3
14
@MayoClinicPath
Mayo Clinic Pathology
26 days
Dr. Gary Keeney acknowledges the contributors over the years in this plaque. @GaryKeeneyMD @joaquingarciamd @JenniferBoland7 @Shounak_Gupta
0
10
18
@NadiaUSAMC
Nadia Hameed, MD
27 days
So great to be part of #KSP25 @KSPathology this year! learning from inspiring colleagues, and catching up with friends in pathology. ❤️🔬 #KSP2025
2
3
15
@GeorgeKurdin
George Kurdin
4 days
The average dunning email gets ignored. You are literally sending "please ignore me" messages to customers who owe you money. Playbooks - our workflow system for intelligent collections - is now live on the @usemonk platform. A system that reasons, not just reminds. We
27
36
111
@DiagnosticCyto
Diagnostic Cytopath
27 days
New article alert @DiagnosticCyto Metastatic HNSCC: Cytomorphologic Spectrum and Clinical Insights. @PapSociety @IACytology @AIPNAPathology @aakasharmand @AzizaNassar2 @PoonamVohra3 @Baskotacytopath @Arshi_Asma
1
10
19
@sam_albadri
Sam Albadri, M.D., M.Sc.
30 days
Fantastic talk on DPN-like melanomas by @DrAldehyde at KSP25! @NadiaUSAMC
2
3
9
@sam_albadri
Sam Albadri, M.D., M.Sc.
30 days
Excited to participate in #KSP25 @KSPathology the 77th Annual Meeting of the Korean Society of Pathologists! Presented our poster and enjoyed connecting with amazing colleagues and pathologists worldwide
1
3
11
@ArevaloDory
Dory Arevalo Salazar, MD
1 month
San Antonio, here we go! Honored to be part of such a wonderful institution and to learn from the best Renal pathologists!❤️🔬thank you for all your support, Dr. Albadri @sam_albadri
@sam_albadri
Sam Albadri, M.D., M.Sc.
1 month
Excited to share that our abstract has been accepted for #USCAP2026! Congratulations to our outstanding renal pathology fellow, Dory @ArevaloDory , who is the first author! @TheUSCAP @MPAlexanderMD
1
1
14
@macroaiapp
MacroAi
9 days
MacroAI just leveled up. Tracking food is now faster and smarter than ever. Photo Scan: No need to scan a barcode — just take a photo of the food or package and the AI will know what it is. Instant Macros: Protein, carbs, and fats are calculated automatically — no typing, no
0
5
17
@sam_albadri
Sam Albadri, M.D., M.Sc.
1 month
Excited to share that our abstract has been accepted for #USCAP2026! Congratulations to our outstanding renal pathology fellow, Dory @ArevaloDory , who is the first author! @TheUSCAP @MPAlexanderMD
4
0
25
@sam_albadri
Sam Albadri, M.D., M.Sc.
1 month
What a fantastic start to #KSP25! Great sessions, inspiring discussions, and an unforgettable gala dinner at the 77th Annual Fall Meeting of the Korean Society of Pathologists.
0
0
1
@sam_albadri
Sam Albadri, M.D., M.Sc.
2 months
@Sinchita_Roy
Sinchita Roy MD PhD
2 months
Voting is open for the Pathologist Power List 2025 🗳️ Check out these awe-inspiring pathologists and read their stories. @VarshaManuchaMD
0
0
2
@PapSociety
Papanicolaou Society
3 months
Don’t Miss Out! @PapSociety Companion Meeting at #ASCyto25 Hyatt Regency, St. Louis at the Arch Wednesday, Nov 6 at 8:00 to 9:30 am Advances in Head & Neck Cytopathology- featuring an outstanding panel of speakers!! @aakasharmand @AzizaNassar2 @IACytology @ZMaleki_cyto @bfaquin
0
16
33
@parkerMmachine
ParkerMountainMachine
4 days
PMM's Biggest Black Friday sale ever! 25% off PMM parts and Free Shipping. 11/26-12/1. We can not alter pricing for orders placed prior to or after the sale. Don't be that guy...
1
10
36
@PapSociety
Papanicolaou Society
3 months
Case of the month! @PapSociety 38F with post-op f/u after D&E (2nd trimester): h/o prior LEEP for HSIL. ➡️ No visible lesions/discharge ➡️ Co-testing: Pap + HPV ➡️ HPV: negative ❓What’s your diagnosis? Answers here: https://t.co/4RhNuGnsGs @DiagnosticCyto @AzizaNassar2
0
14
23
@Shounak_Gupta
Sounak Gupta
3 months
Multicancer early detection - ready for prime time? https://t.co/Qf2ZPyQwP3
4
14
40
@sam_albadri
Sam Albadri, M.D., M.Sc.
3 months
🚨 Applications are open! Join us at @MayoClinicPath for the Renal Pathology Fellowship (2027–2028). Outstanding case volume, world-class faculty, and unparalleled research opportunities await.
Tweet card summary image
college.mayo.edu
0
0
5
@sam_albadri
Sam Albadri, M.D., M.Sc.
3 months
Scleroderma renal crisis leaves its mark on the kidney: onion-skin arteriolar thickening, fibrinoid necrosis, and vessel narrowing, classic signs of malignant hypertension driven by relentless vascular injury
3
20
59
@CoinMarketCap
CoinMarketCap
3 days
You don’t need more information. You need straight answers. CMC AI gives you the kind of clarity that feels obvious once you see it. 1/2
75
61
227
@sam_albadri
Sam Albadri, M.D., M.Sc.
4 months
BK virus Nephrology: virus 🦠 particles under electronic microscope 🔬
1
8
31
@SethiRenalPath
Sanjeev Sethi
4 months
Membranous nephropathy has undergone a paradigm shift due to the discovery of unique MN antigens. MN has gone from idiopathic to ➡️ primary vs. secondary ➡️ where an antigen can be detected in ~80% of MN. This is a comprehensive review of each antigen. https://t.co/RJFApwsvG0
Tweet card summary image
nature.com
Nature Reviews Nephrology - Since the discovery of PLA2R, several target antigens associated with membranous nephropathy have been identified. This Review describes the distinct clinical...
6
88
206
@sam_albadri
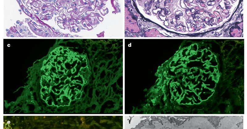
Sam Albadri, M.D., M.Sc.
5 months
Renal Thrombotic Microangiopathy due to Hypertensive Emergency - Perona - 2025 - Case Reports in Nephrology - Wiley Online Library
Tweet card summary image
onlinelibrary.wiley.com
Thrombotic microangiopathy (TMA) is characterized by microvascular thrombosis, microangiopathic hemolytic anemia (MAHA), and thrombocytopenia. TMA can lead to acute kidney injury (AKI) due to the...
0
1
13
@MCFNephFellows
Mayo Clinic Florida Nephrology Fellowship
5 months
@sam_albadri @DrLyleBaker Thank you Dr. Albadri for your unwavering support, time, expertise and wisdom that you so generously provided to training the next generation of nephrologists.
0
1
2
@DoxaseCo
Doxase
20 days
Stop tracking water across the house — this ultra-absorbent, mold-resistant rug keeps floors dry and secure, making every step safer and more comfortable.
0
3
12