
Sam.Payabvash
@SamPayabvash
Followers
2K
Following
6K
Media
115
Statuses
1K
Associate Professor @columbiaimaging @ColumbiaMed #Neurorad
New York, NY
Joined December 2011
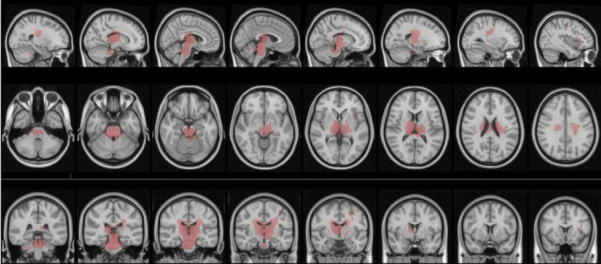
Our automated ICH risk stratification maps identities brain bleed locations on admission head CT that independently predict poor outcomes - adjusting for hematoma volume and known risk factors
Automated Hematoma Location Mapping β The Future of Intracerebral Hemorrhage Risk Stratification? In this #BloggingStroke post, @drchloemutimer discusses #Stroke article by Abou Karam et al. #AHAJournals
https://t.co/eg0ci5Vloj
0
0
10
1
10
15
We showed that a childβs ZIP code shapes their π§ brain microstructure & connectivity - even after accounting for family income, race, & ethnicity | Childhood Neighborhood Deprivation on White Matter and Functional Connectivity During Adolescence
onlinelibrary.wiley.com
Background and Purpose Socioeconomic determinants of health impact childhood development and adult health outcomes. One key aspect is the physical environment and neighborhood where children live...
0
3
20
Our #NeuroPET consensus statement is now out in @TheAJNR! π Amazing collaboration across disciplines and continents. Thanks to our entire team, especially @LabBarajas πͺ and to @TheASNR leadership for their support. https://t.co/h0nm3GrQIH
@WCMRadiology @OHSUKnight
5
36
80
@TheASNR @theASFNR @NancyPhamMD @EMiddlebrooksMD @GaurangShahMD @BianciardiMarta @PaechDC @Rajagopalan_Pri 7T MRI webinar on August 20: π 7:00am Honolulu ππ»ββοΈ π 10:00am Los Angeles π€© π 10:00am Phoenix π¦βπ₯ π 11:00am Denver π΄ π 12:00 noon Austin π€ π 12:00 noon Chicago π¬οΈ π 1:00pm New York π½ Register: https://t.co/reInymyWcB Ultra-High Field MRI is awesome! Donβt be late!π
0
5
13
Hematoma Expansion is a key treatment target in intracerebral hemorrhage #ICH (hemorrhagic #stroke) Learn about the visual markers of expansion and our work in improving deep learning prediction robustness in this @TheAJNR article
1/Talk about bad blood! Do you know when a hematoma is going to expand? Read on for monthβs @theAJNR SCANtastic on all you need to know about imaging intracranial hemorrhage! https://t.co/P473wzmPf3
0
6
18
#ASFNR25 looks awesome September 19-21! Registration: https://t.co/7O88Sfl6aF π€ Pre-Conference Hands-On Workshops September 18: ππ BOLD fMRI ππ Perfusion Imaging ππ PET/MRI https://t.co/sVD62FrFms π§ #BeyondBOLD
1
11
22
Congratulations to @DrChrisWhitlow and @YaleRadiology π
#Welcome and #congratulations to Christopher Whitlow, MD, PhD, MHA, who has accepted the position of #chair of @YaleRadiology and assistant dean for Translational Research at YSM. Dr. Whitlow will step into his new role starting October 20.
0
1
16
#Welcome and #congratulations to Christopher Whitlow, MD, PhD, MHA, who has accepted the position of #chair of @YaleRadiology and assistant dean for Translational Research at YSM. Dr. Whitlow will step into his new role starting October 20.
4
12
54
π₯³ New #SpecialIssue βMultimodal Artificial Intelligence/Machine Learning Applications in Malignant Tumors: Diagnosis, Prognosis, and Managementβ edited by Dr. Sam Payabvash and Dr. Stefan Haider, which is open for submissions! π More details π : https://t.co/nFuelWQdZt
0
1
2
our work on Automatic Detection and Classification of Cerebral #Microbleeds on SWI series Using YOLO and 3D CNN @GuidoFalconeMD @san_murthy @columbiaimaging @YaleNeuroICU @WCMCNeurology
https://t.co/ZBAfhT6WOS
2
9
22
"Improving the Robustness of Deep Learning Models in Predicting Hematoma Expansion from Admission Head CT" https://t.co/sT7txGipjH
@SamPayabvash @columbiaimaging
1
4
7
News: NIH to crack down on excessive publisher fees for publicly funded research https://t.co/vzCCoumf5S
13
88
343
There's still time to register and join us tomorrow (7/9) for the #ASNR and #ASFNR webinar. Join us at 1:00 pm ET (note the different time) for Seeing The Invisible: PET/MRI Advancements in Brain Tumor Evaluation (Presented by ASNR and ASFNR). Register: https://t.co/T19vAvw8f0
2
10
32
Description by @WSJ of findings from our paper ( https://t.co/LXABLrbn4E) done in collaboration with @prenuvo and @PacificNeuroPNI
https://t.co/U7posb44u7 Thanks @AlexLJanin for the excellent overview on our growing understanding of brain age as a key brain health metric.
wsj.com
Research on lifestyle changes and the development of preventive approaches are presenting an opportunity.
0
4
19
The new @CIMBIDColumbia, led by @DespinaKontos, will advance research, education, & clinical translation in AI-driven imaging biomarkers and integrated diagnostics. Read more: https://t.co/z67lYXRXKc
@ColumbiaMed @columbiacancer @ColumbiaMSPH @ColumbiaDBMI #ColumbiaAI @Columbia
1
3
12
Exciting news! The American Journal of Neuroradiology has reached a new milestone: our 2025 impact factor has jumped from 3.1 to 3.7! π This underscores the growing impact of our journal and the exceptional research our authors, reviewers, and editors consistently deliver.
3
17
87
Data and AI will be transformative for medicine, diagnostics, and improving health. DSI is proud to be a part of the newly launched @CIMBIDColumbia, led by @DespinaKontos. @ColumbiaMed @columbiacancer @ColumbiaMSPH @ColumbiaDBMI #ColumbiaAI @Columbia
Today we're so excited to be launching the Center for Innovation in Imaging Biomarkers and Integrated Diagnostics (CIMBID), led by @DespinaKontos. Stay tuned here for updates on the day's events or follow us at @CIMBIDColumbia! @DataSciColumbia @ColumbiaMed @columbiacancer
0
4
8
π§΅#STROKE Highlights for June are here: πGet With the Guidelines-Stroke registry analysis shows that minimally invasive surgery was associated with lower mortality and favorable outcome compared with BMT among patients with acute ICH.
1
8
23
We are thrilled to announce our next Chief of Neuroradiology, Hediyeh Baradaran, MD, MS! https://t.co/4HvJbvLBIt
columbiaradiology.org
Baradaranβs extensive expertise encompasses a wide range of clinical, research, and education activities. She will begin her role as chief of neuroradiology at Columbia on September 1, 2025.
1
3
60