
Stefano Trebeschi
@S_Trebeschi
Followers
87
Following
113
Media
35
Statuses
153
(Computer) Scientist at @NKI_nl in #Amsterdam | Post-doctoral researcher | #AI for better follow-up of #cancer #patients ๐ฌ๐ณ๏ธโ๐๐ช๐บ more at https://t.co/51fxt0ttWh
Amsterdam, The Netherlands
Joined January 2021
IโM OFF TWITTER. You can find me on research gate.
researchgate.net
I'm permanent research staff at the Netherlands Cancer Institute, and guest researcher at Maastricht University and Amsterdam University Medical Center. My research focus on the implementation of AI...
0
0
0
Warm welcome to our new #BMCMedImaging Editorial Board Members @S_Trebeschi and @hanu2005. We are looking forward to working with you. Interested in joining #BMCMedImaging? To find out more visit < https://t.co/tzwkHlZTJN>
0
1
0
0
0
0
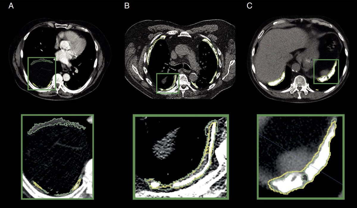
The abstract of Kevin at ESMO presenting his work on AI-based response evaluation in mesothelioma is out! https://t.co/Fy2CW9TO3M
@LipmanKevin @radiology_lab
annalsofoncology.org
Pleural mesothelioma (PM) grows in a crescent shape along the thoracic wall, complicating diameter-based response evaluation. Manual total tumor volume (TTV) monitoring, while promising, is labor-i...
0
3
3
Is RECIST progression accompanied by other systemic changes in the body? Melda and Teresa tried to answer this specific question using blood-based markers. @BuchoTareco @rbeetstan @radiology_lab @NKI_nl
https://t.co/N9ld707ehC
0
0
3
The abstracts of Kalina on volumetric neuroendocrine response criteria and Iris on soft-tissue sarcoma at the #ESMO #RareCancers are out! @radiology_lab @rbeetstan
https://t.co/6YbUmvH81Q &
0
1
0
We know radiologists select different target lesions in RECIST, creating high variability. But *why* do they select different lesions? @BuchoTareco tries to answer that question in her latest work https://t.co/oLpsSMcjvM
@radiology_lab @rbeetstan @NKI_nl
0
2
1
On our cover this week โฌ A Viewpoint on the need for pragmatic, affordable, and practice-changing real-life clinical trials in #oncology: https://t.co/1UQSXT6VEw Full issue in thread ๐งต
22
145
365
We really are ๐ฅน
We are very proud to announce that we have one more Doctor among us ๐ Yesterday, @LipmanKevin defended his PhD thesis โArtificial Intelligence: The Key To Standardizing Respiratory Disease Evaluationโ at @MaastrichtU, supervisors @rbeetstan, @S_Trebeschi and Jacobus Burgers
0
0
3
Academics will get on a 9 hour flight to talk for 15 minutes on a climate emergency panel
22
452
5K
#RECIST should be used only in trials, yet ppl still (want to) use it in clinical routine, despite known problems of observer variability and poor performance in estimating total tumor burden.
insightsimaging.springeropen.com
Objectives To present the results of a survey on the assessment of treatment response with imaging in oncologic patient, in routine clinical practice. The survey was promoted by the European Society...
0
0
0
Laura presenting at the @NKI_nl research club her work on response evaluation methods based on image-to-image registration!! ๐ฉ๐ปโ๐ฌ๐
1
1
6
๐ค #JCO #CommentsAndControversies: It's time to bid farewell to PFS as a primary endpoint in practice-changing trials in advanced cancer โก๏ธ https://t.co/1lsNdaDhZ8
@EAEisenhauer @oncology_bg @ian_tannock
4
20
77
sure AI is going to take over the world, but I would be nice if AI can help MS outlook find the email I'm looking for.
0
0
3
Using computer simulation models, Teresa has estimated the affect of target lesion selection in the reproducibility and accuracy of #RECIST. Her work is published on Investigative Radiology! @BuchoTareco @InvRadiologyOnl
https://t.co/WiDO3T0Dum
0
1
3
Using #AI, Kevin identified an association between pleural plaques volumes and loss of lung function in patients with #asbestosis. His work is published on the Journal of Thoracic Imaging! @LipmanKevin
@ThoracicImaging
https://t.co/bMIRxVkkHF
0
2
3
Love it ๐
1
0
2
During @ESUR2023, our PhD student Joyce Greidanus won โBest Oral Presentationโ for her research in AI-based response prediction for patients with Muscle Invasive Bladder Cancer treated with neoadjuvant immunotherapy ๐๐ Thanks to Professor @VPanebiancoIT for the recognition!
0
6
21