
Rashid K. Sayyid
@RKSayyid
Followers
965
Following
5K
Media
459
Statuses
3K
MD, MSc | Uro Onc @UAUrology @UAZCancer 🌵| @AUB_Lebanon 🇱🇧 @MCG_Urology @ihpmeuoft @UofTUrology @SUO_YUO @USC_Urology
Tucson, AZ
Joined March 2017
Pre-#ESMO25 Setting the Stage for 6 potentially Practice Changing GU Onc Trials, and the context for the data in the disease space 🎖KN-905/EV-303 🎖ENZARAD 🎖EMBARK OS 🎖PSMAddition 🎖DV + Tori for 1L mUC HER2 exp 🎖IMvigor-011 @urotoday @RKSayyid
Pre-#ESMO25 Highlights. @RKSayyid @UAUrology & @zklaassen_md @GACancerCenter preview six potentially practice-changing ESMO 2025 abstracts spanning genitourinary malignancies. #WatchNow on UroToday > https://t.co/aSZbexKuk5
@myESMO
0
5
16
Pre-#ESMO25 Highlights. @RKSayyid @UAUrology & @zklaassen_md @GACancerCenter preview six potentially practice-changing ESMO 2025 abstracts spanning genitourinary malignancies. #WatchNow on UroToday > https://t.co/aSZbexKuk5
@myESMO
0
3
9
Phase III #PSMAfore trial: Final survival and safety data in #mCRPC. #JournalClub discussion with @RKSayyid @UAUrology & @zklaassen_md @GACancerCenter of the final OS analysis of the PSMAfore trial comparing lutetium-PSMA-617 vs ARPI switch in taxane-naive mCRPC patients.
0
6
16
#PEACE3 trial: Enzalutamide + radium-223 improves survival in #mCRPC. @RKSayyid @UAUrology & @zklaassen_md @GACancerCenter join in this UroToday #JournalClub discussion. #WatchNow > https://t.co/UjEaKiUaWh
0
6
11
#ESMO24 Quick Take Insights: A Focus on the #PEACE3Study PEACE-3 shows that combining radium-223 with enzalutamide boosts rPFS and OS in first-line #mCRPC with bone metastases. Notably, this combo, alongside bone-protective agents, may now be a viable 1st-line treatment for mCRPC
1
4
6
ESMO 2024 Quick Take Insights: Prostate Cancer - #ARANOTE: Darolutamide + ADT shows significant rPFS benefits in mHSPC, offering a new treatment without docetaxel. - #PEACE3Study: Radium-223 + enzalutamide in mCRPC enhances rPFS & OS when used with bone protection in patients
1
17
51
Elevating the patient voice: Understanding treatment preferences in patients with advanced #ProstateCancer #JournalClub. @RKSayyid @UAUrology & @zklaassen_md @GACancerCenter examine a survey addressing patient preferences in advanced prostate cancer treatment. The cross-sectional
0
4
13
Bladder and Post-Prostatectomy Radiation. Presentation by @mouwlab @DanaFarber. #ASTRO25 written coverage by @RKSayyid @UAUrology > https://t.co/owPUYsSQcP
@ASTRO_org
0
6
14
Sequencing short-term hormonal therapy with radiotherapy for #ProstateCancer: What is best? Presentation by T. Martin Ma, MD, PhD @UW. #ASTRO25 written coverage by @zklaassen_md @GACancerCenter > https://t.co/YsCzhKkFb0
@ASTRO_org
1
6
16
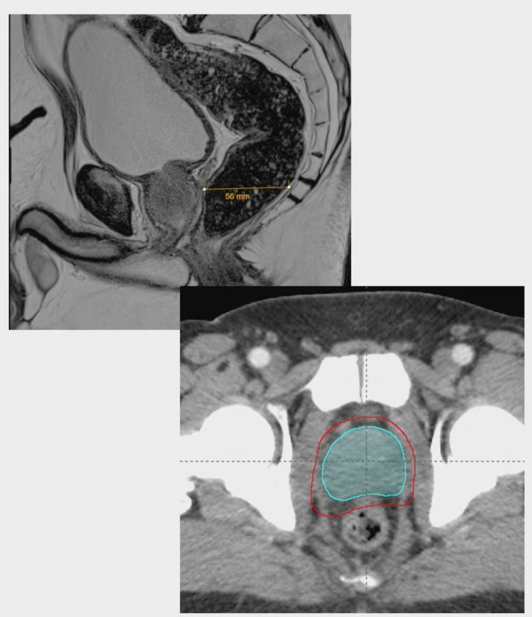
#ASTRO25 Dr. Neil Desai presents hydrogel spacer QA in the multi-center POTEN-C RCT of NV-sparing SAbR for localized PCa: 📊 86% post-spacer MRI 🧪 68% had optimal SQS=1 🧱 74% had no rectal wall infiltration 💥 SQS ↑ = ↓ rectal Dmax (p<0.01) 📉 No short-term GI tox or QoL
0
5
11
#ASTRO25 @whallradonc presents interim results from MOMENTUM (NCT04075305) on daily adaptive MRI-guided RT in prostate cancer 🧑⚕️ n=1373 pts (SABR, 5 fx) 🔁 ATS (daily recontouring, n=1054) vs ATP (no recontouring, n=319) 🧠 PROs via EORTC QLQ-C30 & PR25 📉 ATS = Less urinary
1
7
12
#ASTRO25 Daniel Song presents long-term outcomes from the pivotal phase III BioProtect trial of biodegradable balloon rectal spacers during prostate IMRT. 🧑⚕️ n=222 (2:1 randomization: spacer vs control) 📉 rV70 ↓ from 7.0% ➝ 1.1% (⬇️84.8%) ✅ Met both safety & efficacy
0
3
5
#ASTRO25 @BrianJDavisMDPh presents a randomized phase II trial of hypofractionated RT (IMRT or proton) for nodal recurrent prostate cancer following prior RT or sRT. 🧍♂️ 81 pts | MHF (n=54) vs CF (n=27) | All w/ADT 📍PET-avid pelvic ± para-aortic LN recurrence 💥 SIB to 48–56.25
0
6
7
🚨#ASTRO25 Plenary: Bladder Adj RT (BART): Clinical Outcomes from Phase 3 Multicenter RCT @urotoday @VedangMurthy @RadOncTMC ⚡️n=153; 77 adj RT vs 76 obs ⚡️2-yr LRFS: 87.1% vs 76.0%; HR 0.43, 95% CI 0.20-0.96 ⚡️2-yr DFS: 71.6% vs 58.7%; HR 0.62, 0.36-1.05 ⚡️2-yr Bladder CSS:
1
33
100
Acute toxicity following dose-escalated MRI-guided SBRT vs adapted dose-painted MRI-guided SBRT: A pooled comparison of prospective trials. Presentation by Travis Courtney, MD, MAS @UCLA. #ASTRO25 written coverage by @zklaassen_md @GACancerCenter > https://t.co/prxopmkkVX
0
4
5
EPIC-26 longitudinal analyses of prostatic urethral lift implant with stereotactic ablative body radiotherapy for men with #ProstateCancer and BPH. Presentation by Young Suk Kwon, MD @UTSWMedCenter. #ASTRO25 written coverage by @zklaassen_md @GACancerCenter >
2
4
6
Driving improvement in #ProstateCancer radiotherapy outcomes through a national quality assurance program: Results from a large UK academic center. Presentation by Vishal Manik, FRCR @GSTTnhs. #ASTRO25 written coverage by @zklaassen_md @GACancerCenter > https://t.co/3S6vcykB74
0
4
9