RGovindiah Profile Banner
Govindiah R DMRD(DNB) Profile
Govindiah R DMRD(DNB)

@RGovindiah

Followers
174
Following
2K
Media
72
Statuses
449

Radiologist. Guntur Medical College, Gandhi Medical college & LTMMC Sion.

Guntur AP, India šŸ‡®šŸ‡³
Joined June 2013
Don't wanna be here? Send us removal request.
@RGovindiah
Govindiah R DMRD(DNB)
3 months
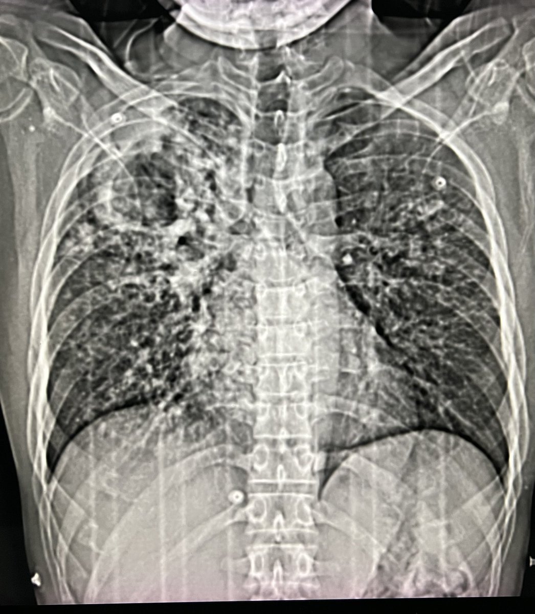
Active Pulmonary Kochs
0
0
0
@Rheumat_Aravind
Aravind Palraj
4 months
🧵 10 Radiological Signs Every Rheumatologist Must Know Imaging doesn’t lie. Sometimes, it screams. Here are 10 classic radiological signs in rheumatology you should never miss šŸ‘‡ #RheumTwitter #Radiology #MedTwitter #MSKImaging #Autoimmune @DrAkhilX @IhabFathiSulima
3
106
396
@teachplaygrub
Lea Alhilali, MD
5 months
1/Does trying to memorize inflammatory myelopathies leave you inflamed? Do you say ā€œOh my!ā€ when you see my-elopathy?? Never fear, read on for this month’s @theAJNR SCANtastic for all you need to know: https://t.co/pdLmKjTY64
1
82
299
@theliverdr
TheLiverDocā„¢
6 months
Yesterday, my account was hacked for a while and strangely, my most viral tweet was deleted. So here it is, updated for 2025 for science and health-illiterates. To summarize: 1. One whole egg with yolk a day does not increase blood cholesterol 2. Green tea does not help
871
3K
13K
@nirmalregency
Nirmal Pandey MD DM Neurologist
8 months
Another Learning Sunday Case Presentation. One does see this often. We saw it for the 1st time. A 🧵Ahead. Having all the classical features inā˜ļøsingle patient. That too in a ♀24yrs. This patient was referred for routine #MRI cervical spine from elsewhere to our hospital.
27
154
770
@francisdeng
Francis Deng, MD
10 months
30yo with recurrent persistent headaches Prior surgical history: Chiari decompression (didn't help), pituitary surgery (normal tissue) This is a subtle diagnosis that was initially overlooked. What do you suspect? Answer to follow
12
64
334
@drSurjthVattoth
Surjith Vattoth
11 months
Imaging Pearl 26: Ocular imaging: COLOBOMA versus STAPHYLOMA
1
54
204
@mehtanikhil
Dr. Nikhil R M (NeuroRad)
11 months
This is a case of Tumefactive Demyelinating Lesion given the morphology, perfusion and spectroscopy findings. Attached is the follow-up scan post 3 months treatment. Teaching File: https://t.co/fBT8fq3YAw
0
1
7
@teachplaygrub
Lea Alhilali, MD
1 year
1/Time to FESS up! Do you understand functional endoscopic sinus surgery (FESS)? If you read sinus CTs, you better know what the surgeon is doing or you won’t know what you’re doing! Here’s a thread to make sure you always make the important findings!
23
134
583
@teachplaygrub
Lea Alhilali, MD
1 year
Have MULTIPLE questions about MULTIPLE sclerosis? Having trouble seeing neuromyelitis optica? In a fog about MOG? Here’s the cheat sheet you NEED to distinguish the demyelinating diseases! Demyelinating diseases predominantly involve the optic nerves, brain, & spine. Three
10
216
678
@RGovindiah
Govindiah R DMRD(DNB)
1 year
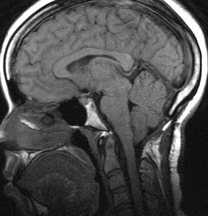
TB granuloma
0
0
2
@teachplaygrub
Lea Alhilali, MD
2 years
1/Having trouble remembering what you should look for in vascular dementia on imaging? Almost everyone worked up for dementia has infarcts. Which ones are important? Here’s a thread on the key findings in vascular dementia!
12
143
569
@drmankad
Dr Kish Mankad
2 years
Tip of the day šŸ’”: T2 hypo-intense core with peripheral ring enhancement are hallmarks of tuberculosis- even in this Caucasian child. With population movements, any disease can be found anywhere in the world without stereotypes. Travel with care this weekend.
5
26
130
@RGovindiah
Govindiah R DMRD(DNB)
2 years
0
0
0
@teachplaygrub
Lea Alhilali, MD
2 years
1/Your baby’s all grown up! Cerebellum may mean ā€œlittle cerebrumā€ but its jobs are anything but little How well do YOU know cerebellar anatomy? Do you just say ā€œcerebellar hemisphereā€ & hope nobody asks? Here’s a thread to teach you the key cerebellar functional anatomy!
5
142
610
@RGovindiah
Govindiah R DMRD(DNB)
2 years
0
0
2
@RGovindiah
Govindiah R DMRD(DNB)
2 years
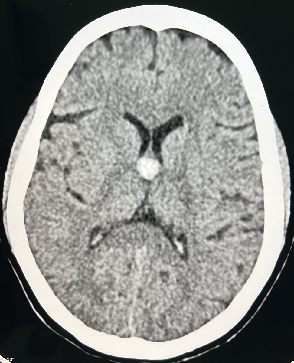
IIH #radres
1
0
2
@theliverdr
TheLiverDocā„¢
3 years
ā€˜Hepatology case’? I ask the ER doc ā€˜Not sure doc’, he replies ā€˜Severe pancreatitis, but something is off.’ I think your Unit needs to look at it ā€˜Liver looks coarse & thers fluid in abdomen’ & we prepare ourselves for a confrontation so sinister, we did not know we'd lose...
103
387
1K
@RGovindiah
Govindiah R DMRD(DNB)
2 years
0
0
1
@theliverdr
TheLiverDocā„¢
2 years
Alternative medicine practitioners allege that I have a propaganda against them through my X handle. They claim that my clinical practice and "business of healthcare" suffer because alternative medicine is now favored more and I'm losing patients. On the contrary, my handle and
711
1K
8K