
Thor Halfdanarson
@OncoThor
Followers
5K
Following
9K
Media
587
Statuses
3K
🇮🇸Medical Oncologist/Educator, NET/GI/CUP enthusiast. Husband/dadx4 (bad dad jokes). Cyclist. Avant gardener. Professor of Oncology, Mayo Clinic. Tweets mine.
Rochester, Minnesota
Joined December 2016
The presence of carcinoid syndrome (CS) in patients with sbNETs and liver mets undergoing debulking predicts worse survival and is, not surprisingly, associated w/ larger mets. Despite short PFS, OS is still long. Pts w/o CS can develop it over time https://t.co/wdyA2DU4YZ
0
8
27
I know that AI tools for ambient clinical documentation and note-writing shave off time creating notes and completing encounters. I wonder if that gain is lost when trying to decipher said notes later. I miss succinct summaries that show that thought was put into the plan...
5
2
18
Rage, rage against the dying of the light… Night mountain biking in the woods is thrilling and a little creepy… Lots of weird sounds and shadows…
1
1
17
Something for the IHC nerd in me... TRPS1 is an excellent IHC marker for identification of primary breast NETs as almost all tested cases were positive and all lung and pancreatic NETs were negative. https://t.co/w10WYZdI6B
onlinelibrary.wiley.com
TRPS1 is universally expressed in mammary NETs, and it is a valuable marker for distinguishing primary mammary NETs from metastatic NETs of other organs, such as the lung, gastrointestinal tract and...
1
1
13
More on PPIs and gastric NETs. Interesting work from the excellent Moffitt NET Team lead by the incomparable @altoubaht. The next steps should be to try to estimate the risk of NETs in long-term users. https://t.co/11c07OykvW
1
3
18
Here is a hematology review article that I look forward to reading and I suggest you read it too if you want to know more about MGUS from the best…
Just out in the New England Journal of Medicine! Our comprehensive Review on MGUS: Monoclonal Gammopathy of Undetermined Significance @NEJM
https://t.co/vu9REOKBPS 5% of people over age 50 have MGUS. Every physician needs to know and understand MGUS. Lots of Tables and
2
5
18
Charging the batteries before the beginning of next work week… No better way to do that than ride the gravel roads of SE Minnesota…😀 It is a privilege to live within 5 min ride from gravel roads.
0
0
19
Sharing some key Neuroendocrine presentations I’ll be looking for at #ESMO25 (virtually). So excited to see the field moving forward so quickly and kudos to ESMO for making sure rare/uncommon cancers get the spotlight they deserve. 🦓 💯 👏
3
20
53
Treatment Algorithm series: Neuroendocrine Tumors (NETs) with @OncoThor ✅ Work-up ✅ Rx Options/Sequencing ✅ Monitoring Full discussion: - https://t.co/WHz0j1rsCl - Also on the “Oncology Brothers” podcast #HemeTwitter #OncTwitter @OncUpdates
4
21
64
First-line atezo/bev vs. durva/treme in pts w/ advanced HCC. 452 pt retrospective study showing no OS difference, 14 mos vs. 14.6 mos. My apologies for the poor quality OS graph. https://t.co/potNGPTmCK
2
9
50
Type IV gastric NET, the one associated with PPIs... More data pointing to a subset of gastric NETs associated with long-term PPI use, often called type IV. Compared to type III, type IV is much more indolent and less likely to metastasize. https://t.co/uy7NrQw49t
1
12
45
Need a solid review on CUPs. Worry not, this team has you covered.... https://t.co/O9hkj1z5Y6
nature.com
Nature Reviews Clinical Oncology - Cancer of unknown primary (CUP) constitutes a diagnostic quandary and has a dismal prognosis, with standard empirical chemotherapy providing limited benefit. This...
0
1
5
📌 Advances in the treatment of HCC 📊 Review in CA: A Cancer Journal for Clinicians 💉 Surgery, transplant, locoregional & systemic therapies 🧬 IO + targeted agents changing practice ⚖️ Downstaging → curative options | Patient-centered toxicity considerations 🔗
1
29
83
This sentence is from a just-published paper on the efficacy of liposomal irinotecan in biliary tract cancer (BTC) in a very respectable journal. In the words of my program director, Tim Moynihan 20 years ago "Patients do not fail therapy. The therapy fails the patient"
3
6
57
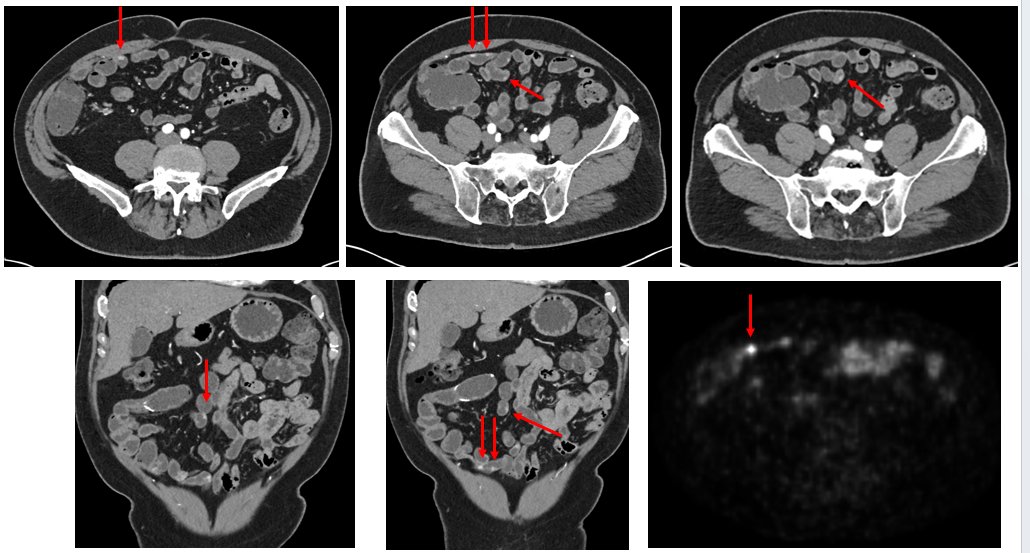
The difference quality imaging makes in the assessment of localized small ileal NETs... CT enterography... Patient who had ileal resection for multifocal G1 NETs 7 years ago (remember >50% are multifocal). Postoperative imaging showed residual multifocal NETs. On observation.
2
3
16
🔊 New academic trial from @GrupoGetne. New hopes for patients with endocrine/neuroendocrine tumors. From national #CABATEN to international #ZEUS for ATC patients 💪🏻 @aecat_es @VHIO @drenriquegrande @vallhebron
aacrjournals.org
AbstractPurpose:. Multikinase inhibitors have shown efficacy in endocrine neoplasms, and synergism with immune checkpoint inhibitors has been noted in other tumors.Patients and Methods:. This is a...
1
11
39
Are you like I, struggling with sequencing systemic therapies in G2/G3 GEPNETs and wondering where PRRT fits in that picture...? If so, you might find this paper helpful. Sure, we need better data but here is what we know. @AmanChauhanMD @NVijayvergiaMD
https://t.co/e5ZXgRGlpy
mdpi.com
The prognosis of high-grade gastroenteropancreatic neuroendocrine tumors (GEP-NETs) is highly variable and reported median overall survival remains low. There is no established standard of care for...
4
5
33
Morning commute on overgrown single track listening to Jesse Welles (who I just discovered this weekend). If you don’t know Welles, you should check him out. A little Dylanesque music. Fantastic songwriting and lyrics, taking on some of the current issues.
1
0
12
Experience the 2025 International Symposium of Gastrointestinal Oncology (ISGIO) LIVE in Austin Tx or Streamed ONLINE ! REGISTER HERE👉 https://t.co/PdCaAuCZy1 🚨 FREE HCP Registration (USE CODE: ONCOALERT ) Chairs @GIcancerDoc @EileenMOReilly Faculty @OncoThor
@HardingJJMD
0
5
11