Nischitha Sushanth Profile
Nischitha Sushanth

@NischithaSusha1

Followers
46
Following
31
Media
1
Statuses
11

Joined April 2020
Don't wanna be here? Send us removal request.
@NischithaSusha1
Nischitha Sushanth
25 days
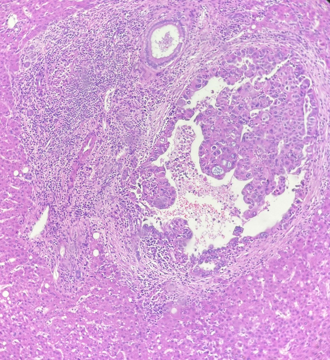
Hepatic surface deposit excision in post-neoadjuvant high-grade serous ovarian carcinoma. Liver capsular deposit (3 Γ— 1.5 cm) extends into the parenchyma and involves portal tracts. Should it be classified as parenchymal metastasis(pM1b) or considered as capsular deposit (pT3c)?
0
0
5
@pranavp01
Pranav Patwardhan
3 years
As a continuation to the previous Tweetorials on Immunohistochemistry in lymph node evaluations, here is a list of immunostains and their interpretation that I created. Hope this is helpful! So delighted to meet some of you at CAP22!! #PathEd #PathTwitter
1
16
51
@atman_ci
Dr. Luca
3 years
A great lecture on #GUPath #kidney #cancer workup by Prof C. Magi-Galluzzi has enlightened the 2nd day of the Surgical Pathology of the genitourinary system Pezcoller Seminar Which new entities have been introduced? Which are their features?How to manage with IHC/molecular tests?
4
61
135
@smbenlazar
Benlazar S M A
3 years
Morphological characterization of acute myeloid leukaemia with t(11;17)(q23;q21)/ZBTB16::RARA fusion https://t.co/BGaE0Yw3SV
2
45
193
@pranavp01
Pranav Patwardhan
3 years
A blueprint to the approach to small round blue cell tumors: Some of my notes! #PathEd
4
36
163
@thejourneymate
Felipe Templo Jr. ,MD, MBA πŸ•Š
3 years
Normal Bone Marrow Cytology πŸ”¬ https://t.co/tgtzoTiAqi
12
180
606
The Routine by Courteney Cox & Ed Sheeran #Friends #FriendsReunion
217
4K
21K
@TheKarenPinto
Karen Pinto DNB, FRCPath
5 years
Role of the #ALK gene in Non-small cell #lung adenocarcinoma (#NSCLC) #pathology #molecular #MolPath
12
76
146
@KelseyMansheim
Kelsey Mansheim
5 years
Had a great example of Rosen triad today! Notice the sneaky tubules 😳#breastpath #pathology #pathboards
5
75
148
@TheKarenPinto
Karen Pinto DNB, FRCPath
6 years
Synovial sarcoma There are quite a few sarcomas (especially locally aggressive tumors with no / minimal risk of metastasis) which are not assigned an AJCC stage
1
2
13
@curemeso
Mesothelioma Applied Research Foundation
7 years
Who says pathologists don’t have a sense of humor?? The below illustration β€” authored by Natasha Rekhtman, Justin Bishop and Diana Molavi β€” tells us what pathology reports say and what they mean. #curemeso
2
41
106