NeurOktay Profile Banner
Oktay Genel Profile
Oktay Genel

@NeurOktay

Followers
241
Following
541
Media
25
Statuses
101

F2 Doctor @CUH_NHS @KingsCollegeLon graduate. Aspiring neurosurgeon.

London, UK
Joined August 2021
Don't wanna be here? Send us removal request.
@NeurOktay
Oktay Genel
23 days
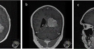
Happy to have presented our latest work on anti-epileptics and glioblastoma at the recent SBNS meeting in Bristol. @lavrador_jose @KingsNeuro
1
3
8
@lavrador_jose
José Pedro Lavrador
4 months
Very important publication! Great works and the authors must be congratulated. SupTR is not a nice thing to do but a game changer for our patients. @KingsNeuro @EANSonline50 @The_SBNS
@NeurosurgeryCNS
Neurosurgery Publications
4 months
#ONSReview Supratotal Resection Versus Gross Total Resection for Isocitrate Dehydrogenase-Wildtype Glioblastoma and Grade 4 Isocitrate Dehydrogenase-Mutant Astrocytoma: Meta-Analysis of Individual Patient Data https://t.co/xoTF3OJPVa by @GabrielVerly_MD et al @hucff_ufrj
0
1
4
@NeurOktay
Oktay Genel
4 months
Amazing talks this morning at the 30th Anniversary of King's Neurosciences! @KingsNeuro
0
1
6
@KingsNeuro
King's Neurosurgery
4 months
Excited to start welcoming invited speakers and delegates in a few short hours to kick off the 30th anniversary academic meeting #Kings30
2
7
21
@mtlawton
Michael T. Lawton, MD
4 months
When I think angst-inducing places to operate in the nervous system, thalamus, spinal cord, optic nerves come to mind. 1 bad move > deficits will follow. Here’s a cavernoma in optic chiasm in a youngster already nearly blind in R eye. But bleeding cavernomas injure optic nerves &
2
11
66
@NeurOktay
Oktay Genel
5 months
Very happy to have attended the Cambridge Lectures in Neurosurgical Anatomy last weekend, 2 years after my first edition. Great faculty and beautiful anatomy as always!
0
0
5
@EANSonline50
European Association of Neurosurgical Societies
5 months
In Memoriam: Professor M. Gazi Yaşargil (1925-2025) The world of neurosurgery mourns the passing of Professor Mahmut Gazi Yaşargil, who died today at the age of 99, just one month before what would have been his 100th birthday celebration. Born on July 6, 1925, in Turkey,
21
577
2K
@KingsNeuro
King's Neurosurgery
6 months
We have published a milestone multicentre study on "Genomic landscape of diffuse glioma revealed by whole genome sequencing" @NatureComms paper: https://t.co/LfziVbatIS 👉identified an extended catalogue of recurrent coding and non-coding genetic mutations
0
5
23
@NeurOktay
Oktay Genel
8 months
No words. Optic chiasm AVM, signed @mtlawton. https://t.co/dzj57sVDwp
0
0
1
@TheJNS
Journal of Neurosurgery
8 months
#OnlineFirst: Focused ultrasound therapy as a strategy for improving glioma treatment. https://t.co/HfkRZNnswp.
1
56
183
@Ahmadbahy_Neuro
Ahmed Abougamil
9 months
Publication Alert ⚠️ 📢 Is Knosp enough? A new era in Acromegaly classification! 🔬 Read the full study here: https://t.co/9jHljoEaLW Our study introduces the MI Ratio, a novel metric that enhances cure predictions. But what else did we find? 🧵👇 1️⃣ Do pre-op meds matter?
1
2
6
@NeurOktay
Oktay Genel
11 months
"General surgery" nights on-call...
0
0
1
@KingsNeuroLab
King’s Neurosurgery Skills Lab
1 year
@KingsNeuroLab is thrilled to have held the first neurosurgical human tissue dissection course at the mock OR in KCL's SIE. This first installment focused on White Matter dissection. Thank you to our invited speakers and delegates for a great day!
2
7
18
@DrOJeelani
Noor Ul Owase Jeelani
1 year
Why Turkiye?
@SkyNews
Sky News
1 year
"The odds for both twins have to be good." Paediatric neurosurgeon Professor Owase Jeelani reflects on the ethical challenges of separating conjoined twins after a successful 14-hour surgery. https://t.co/PAiZ4D1jU3 📺 Sky 501, Virgin 602, Freeview 233 and YouTube
1
2
11
@KingsNeuro
King's Neurosurgery
1 year
Latest Publication Alert!‼️ A Technical Note on use of O-Arm navigation in tubular retractor-associated MIPS approach in @JSCR_OUP. Read more: https://t.co/LXLRsh6OAM 👌@aelhagSN @NeurOktay @lavrador_jose @saspist
@NeurOktay
Oktay Genel
1 year
Very happy to share our latest publication, describing the intra-operative use of the O-Arm to aid tubular retractor localisation during minimally-invasive parafascicular surgery (MIPS). Thank you @lavrador_jose @saspist @KingsNeuro https://t.co/UaO41rIXCv
1
6
14
@NeurOktay
Oktay Genel
1 year
Very happy to share our latest publication, describing the intra-operative use of the O-Arm to aid tubular retractor localisation during minimally-invasive parafascicular surgery (MIPS). Thank you @lavrador_jose @saspist @KingsNeuro https://t.co/UaO41rIXCv
Tweet card summary image
academic.oup.com
Abstract. Trans-sulcal minimally invasive parafascicular surgery is an emerging technique to approach deep lesions with minimal brain retraction. Localizat
1
1
12
@NeurOktay
Oktay Genel
2 years
Thank you @NeurosurgeryCNS @CNS_Update for selecting our work on lumbar fusion in elderly patients as Editor's choice! See below for description.
@NeurosurgeryCNS
Neurosurgery Publications
2 years
Frailty as a Predictor of Postoperative Morbidity & Mortality in Patients Aged 80 Years & Older Undergoing Instrumented Fusion https://t.co/vjpkkjM9Pn @diogo_mgarcia et al evaluated the predictive power of frailty indices on postop outcomes for pts 80+ undergoing lumbar fusion.
0
2
7
@diogo_mgarcia
Diogo Moniz Garcia
2 years
@NeurosurgeryCNS Thank you for highlighting our recent work showcasing the specific considerations with lumbar fusion in patients aged 80 and older! @MayoClinicNeuro @NeurOktay @nourutoo @selbychenmd
@NeurosurgeryCNS
Neurosurgery Publications
2 years
Frailty as a Predictor of Postoperative Morbidity & Mortality in Patients Aged 80 Years & Older Undergoing Instrumented Fusion https://t.co/vjpkkjM9Pn @diogo_mgarcia et al evaluated the predictive power of frailty indices on postop outcomes for pts 80+ undergoing lumbar fusion.
0
3
6
@NeurOktay
Oktay Genel
2 years
End of an amazing month of sub-internship at the Johns Hopkins Neurosurgery department. A massive thank you to all the residents, attendings, PAs and nurses for making this experience memorable. @HopkinsNsurg
2
4
94
@NeurOktay
Oktay Genel
2 years
Very happy to have presented our work at #SBNSEdinburgh2024. 1) Predicting success in re-do TSS for CSF leak repair. 2) The role of anti-epileptics in patients with GBM. Special thanks to @Ahmadbahy_Neuro @lavrador_jose for their invaluable support and mentorship. @KingsNeuro
0
3
12