JuliaColemanMD Profile Banner
Julia R Coleman, MD MPH FACS Profile
Julia R Coleman, MD MPH FACS

@JuliaColemanMD

Followers
5K
Following
11K
Media
1K
Statuses
5K

Trauma/ACS surgeon @OhioStateSurg, basic & translational scientist @OhioStateDHLRI. @CUDeptSurg @DenverHealthMed trained. Passion for advocacy & science.

Columbus, OH
Joined April 2017
Don't wanna be here? Send us removal request.
@JuliaColemanMD
Julia R Coleman, MD MPH FACS
3 days
From a pre-K award from @fwgbd in 2018 to NIH K08 in 2025. Grateful for years of support, collaboration, & community with the Foundation for Women and Girls with Blood Disorders. Shout out to ultimate mentor and sponsor Dr. Andra James for shepherding me at @ASH_hematology #ASH25
3
0
13
@JuliaColemanMD
Julia R Coleman, MD MPH FACS
4 days
Grateful for the opportunity to moderate one of the basic and translational platelet research panels at @ASH_hematology #ASH25 on behalf of @OhioStateSurg today. Amazing science from brilliant scientists. Loved the talk about GRK’s inhibitory effect on platelet function. 👏
0
1
12
@JuliaColemanMD
Julia R Coleman, MD MPH FACS
5 days
Thank you to @UMichSurgery & @jdimick1 for hosting me through the Big 10 Junior Faculty Exchange! It was fantastic to present my @OhioStateSurg @OhioStateDHLRI lab’s work at the Center for Basic & Translational Science & spend time with all of your amazing surgeon-scientists!
1
4
18
@JuliaColemanMD
Julia R Coleman, MD MPH FACS
21 days
Happening now! Looking forward to hearing the @shocktrauma experts gets roasted on the hot seat with tough cases at @traumadoctors Grand Rounds!
@traumadoctors
AAST
21 days
Today's the day! Join us at 4:00 PM CST for "Experts on the Hot Seat" Hosted by R. Adams Cowley Shock Trauma Center🔥 Click below to learn more: https://t.co/a0rGSVrFYP
1
2
5
@JuliaColemanMD
Julia R Coleman, MD MPH FACS
23 days
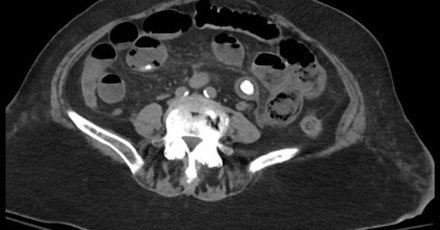
Crazy case! Not all bowel obstructions are what you expect...From pill bottle to operating table: an isolated incident of laparotomy for desiccant retrieval
Tweet card summary image
tsaco.bmj.com
An elderly patient in their 80s presented to the emergency department via urgent care referral with 4 days of oral intolerance, right lower quadrant abdominal pain, nausea, and vomiting. An outside...
0
0
0
@timpawlik
Timothy M. Pawlik
27 days
Dr. @YueyungHu joined us today @OhioStateSurg as our annual Dr. Donna Caniano GR speaker. Fantastic talk on all the important data from the SECOND trial and other work from her research group on resident education, burnout and belonging. #surgery #resident #education
2
7
35
@JuliaColemanMD
Julia R Coleman, MD MPH FACS
27 days
Absolutely fantastic annual @OhioStateSurg Donna Caniano Women in Surgery Grand Rounds, featuring the incredible @YueyungHu on the results of the FIRST and SECOND trial and the future of research in surgeon wellness 👏
0
0
3
@JuliaColemanMD
Julia R Coleman, MD MPH FACS
28 days
Another great annual @OhioStateSurg Donna Caniano Women in Surgery dinner, this year honoring our guest @YueyungHu! Love this #surgfamily of incredible women surgeons!
0
0
5
@JuliaColemanMD
Julia R Coleman, MD MPH FACS
30 days
Join us this Wednesday at 4pm CST for a fantastic line up of speakers at @traumadoctors Grand Rounds on “Crucial Communications: Navigating the Multidisciplinary Multi-Disciplinary Team and Complex Surrogate Situations”. Must see content for anyone in the ICU! @traumadoctorsam
@traumadoctors
AAST
1 month
Join the upcoming Virtual Grand Rounds🚨 Join us for "Crucial Communications: Navigating the Multi-disciplinary Team and Complex Surrogate Situations" hosted by the Communications, Palliative Care, Critical Care, and Geriatrics Committees. Click below to learn more:
0
0
2
@JuliaColemanMD
Julia R Coleman, MD MPH FACS
1 month
Timely update at @AmCollSurgeons #TQIP25 with @acsTrauma on the newest Best Practice Guidelines for management of chest wall injuries. Great discussion of latest literature on SSRF and the nuanced decision algorithm for who best benefits from operative rib fixation 👏
0
0
3
@JuliaColemanMD
Julia R Coleman, MD MPH FACS
1 month
Eye opening talk by @scrubbedin at @AmCollSurgeons #TQIP25 with @acsTrauma on ACS practice models, defining FTE, addressing staffing crises, and division culture 👏
0
0
5
@JuliaColemanMD
Julia R Coleman, MD MPH FACS
1 month
Opening of “Investing Wisely: Building Teams for Long Term Impact” session at #TQIP25 by @AmCollSurgeons CEO @pturnermd. Teamwork should be the goal, measured, and optimized to advance patient care.
0
0
3
@JuliaColemanMD
Julia R Coleman, MD MPH FACS
1 month
Day 2 of @AmCollSurgeons #TQIP25 with @acsTrauma, starting with IR session, led by COT Chair Dr. Kristan Staudenmayer. Nice to see how other trauma centers are leveraging interdisciplinary collaboration to meet the 60 minute consult to puncture mark!
1
1
3
@JuliaColemanMD
Julia R Coleman, MD MPH FACS
1 month
Day 1 of @AmCollSurgeons Trauma Quality Improvement Program w/ the @acsTrauma launches! So far best part was the keynote speaker Coach Donnie Campbell @Coach_DCampbell on what it means to lead a team & inspire through positivity. Now I see why Ted Lasso was based off of him 👏
0
1
9
@JuliaColemanMD
Julia R Coleman, MD MPH FACS
1 month
Fantastic @OhioStateSurg Grand Rounds by our own pediatric surgeon leader @DrNwomeh on Bridging the Gap: Surgical Capacity Building in Low Resource Settings 👏 @GailBesner @timpawlik
0
1
11
@JuliaColemanMD
Julia R Coleman, MD MPH FACS
1 month
This is what leadership looks like - Dean of the College of Medicine @OhioStateMed @CarolBradfordMD is an amazing surgeon-scientist and leader who is an inspiration to early career surgeons like myself. So grateful for her advice and mentorship!
1
6
22
@JuliaColemanMD
Julia R Coleman, MD MPH FACS
2 months
The future is bright! Shout out to the @OhioStateMed Women in Medicine group for organizing a great networking brunch today to talk about careers in medicine and life as a wife-mom-surgeon-scientist! @MayaIyerMD @AmyMMooreMD
0
2
6
@JuliaColemanMD
Julia R Coleman, MD MPH FACS
2 months
Had a great day today celebrating the 25th anniversary of @OhioStateDHLRI, including nearly 100 posters from our amazing trainees & rising superstars in medical science! Shout out to my rockstar mentor @andrew_kanj for presenting our @OhioStateSurg work on cold stored platelets!
0
0
2
@JuliaColemanMD
Julia R Coleman, MD MPH FACS
2 months
Absolutely fantastic @OhioStateSurg Grand Rounds by University of Arizona Surgical Oncology Division Chief Dr. Taylor Riall. Had to make collages to do justice and capture her top 10 lessons! 👏 @UofAZSurgery
0
6
12
@JuliaColemanMD
Julia R Coleman, MD MPH FACS
2 months
Are you a fellow or early career surgeon considering a new job, applying for a grant, starting a new program or lab, etc? This is a great opportunity for targeted advice and mentorship!
@traumadoctorsam
AAST Associate Members
2 months
Deadline Approaching: The Sounding Board AAST fellows and associate members are invited to connect with senior leaders in trauma, acute care surgery, and critical care through one-on-one or small group conversations. These focused, one-hour sessions provide: ✔️ Feedback on ideas
0
2
4