GeBoosha Profile Banner
Heba Gamil Ahmed Profile
Heba Gamil Ahmed

@GeBoosha

Followers
565
Following
12K
Media
3
Statuses
597

Lecturer and consultant of pathology , Al-Azhar University

Egypt
Joined April 2013
Don't wanna be here? Send us removal request.
@slusagar
Ankur Sangoi
6 months
most folks nailed it! this was indeed the central scar of an oncocytoma, which can show clear cell change & even mucinous secretion importantly: these scars typically show non-onco immunoprofile! (scars usually +CK7/CA9/vimentin, CD117 neg) 🚨a hugh jass pitfall esp on bx!
1
13
43
@Path4People
Jay "Thymocyte" Hwang
1 year
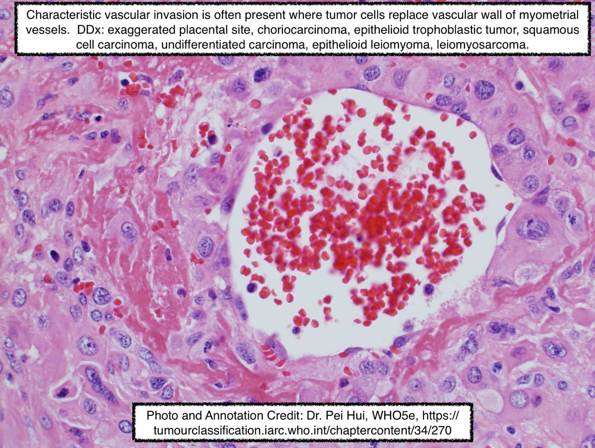
Placental Site Trophoblastic Tumor • RARE malignant trophoblastic neoplasm from intermediate trophoblasts • Mean Age: 31 • 2/3 cases follow full term pregnancy (median latency 12-18 months) • 🩺: Vaginal 🩸, uterine enlargement • ~25-30% may develop recurrent dz
2
23
68
@Kahlissee
Khalissee
1 year
🇺🇸History will remember today as the day Congress applauded Genocide
1K
14K
34K
@freemonotheist
Paul Williams
2 years
703
40K
158K
@Reza_Neuro
Reza_Neurologist
2 years
@freemonotheist If someone gave you wrong information about the long presence of Jews in Palestine, show them this short film of Jewish refugees immigrateing by ships to Palestine in 1943. #Gaza #FreePalestine #Israel
25
215
350
@science_press
Innovative Science Press
2 years
Signet ring cell change in an eroded tubulovillous adenoma. The cells in question are degenerated sloughed cells in the gland lumina. The are not carcinoma. https://t.co/11aBMJXEmQ
0
11
27
@DrLoupis
Dr. Anastasia Maria Loupis
2 years
Gaza before and after “American Democracy”.
5K
21K
43K
@GeBoosha
Heba Gamil Ahmed
2 years
0
0
3
@jacksonhinklle
Jackson Hinkle 🇺🇸
2 years
🇮🇱 If Israel is launching “defensive airstrikes” as they claim, why did they just bomb 7 children to death in Southern Gaza? The media will never ask this question…
12K
102K
252K
@jacksonhinklle
Jackson Hinkle 🇺🇸
2 years
🇮🇱🇵🇸 After all the talk about beheaded babies, I can now sadly confirm that I have seen proof that a baby was beheaded today… in Gaza by an Israeli bomb. I will not be posting the photo here (my X account could be censored), but I’m sure it will be shared in the comments ⬇️
4K
21K
68K
@ShaykhSulaiman
Sulaiman Ahmed
2 years
MASSACRE IN GAZA - 70 DEAD AND 200 INJURED - MAJORITY WOMEN AND CHILDREN Palestinians were told to go to southern Gaza. When they embarked on their journey southward, they were mercilessly ambushed. Israel IOF soldiers unleashed 20 missiles on the defenseless civilians. The
756
4K
5K
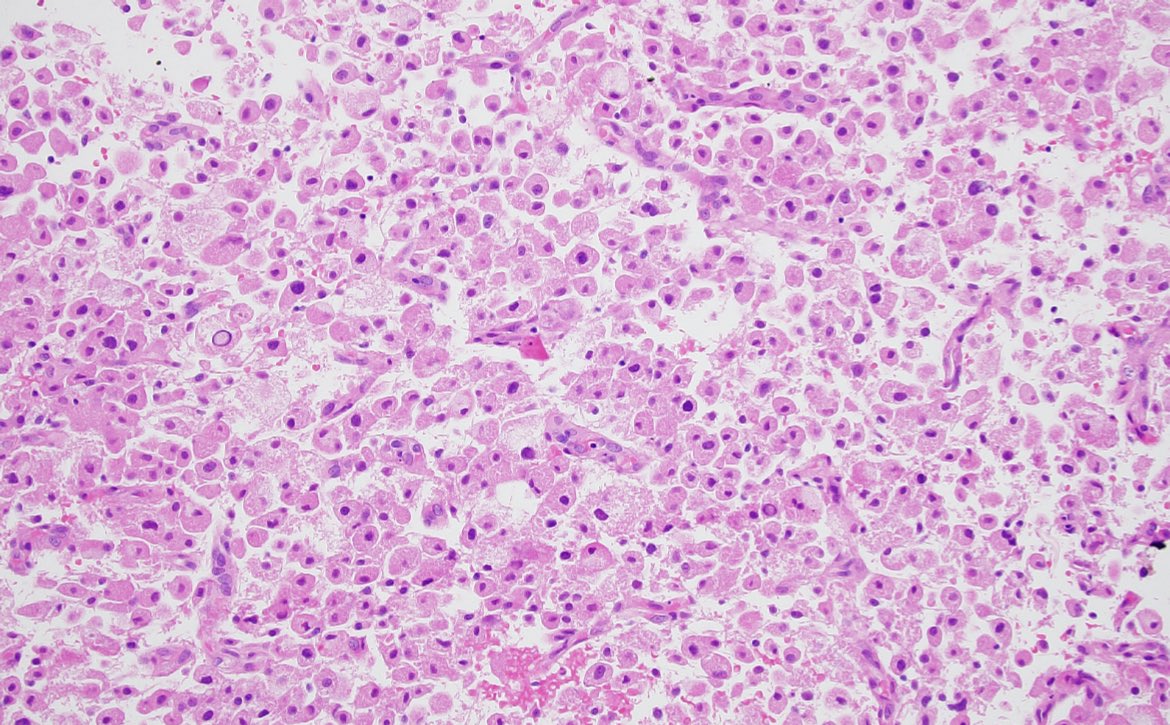
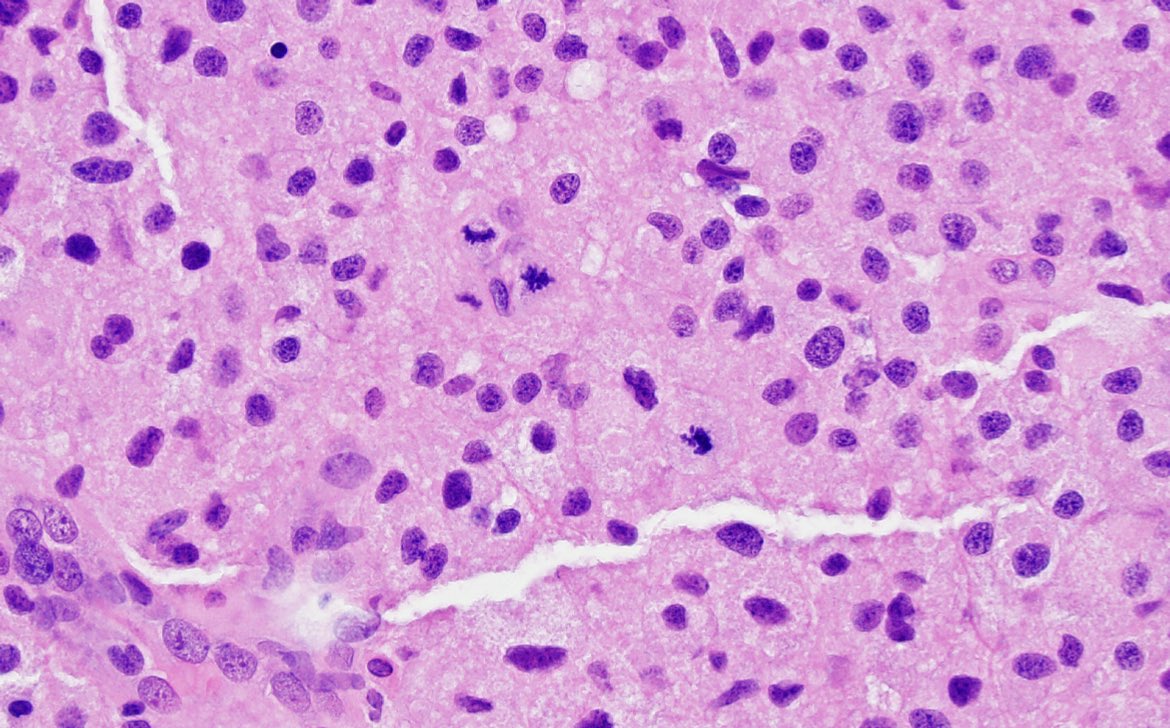
@JaredAhrendsen
Jared T. Ahrendsen MD, PhD (AP/NP/FP)
3 years
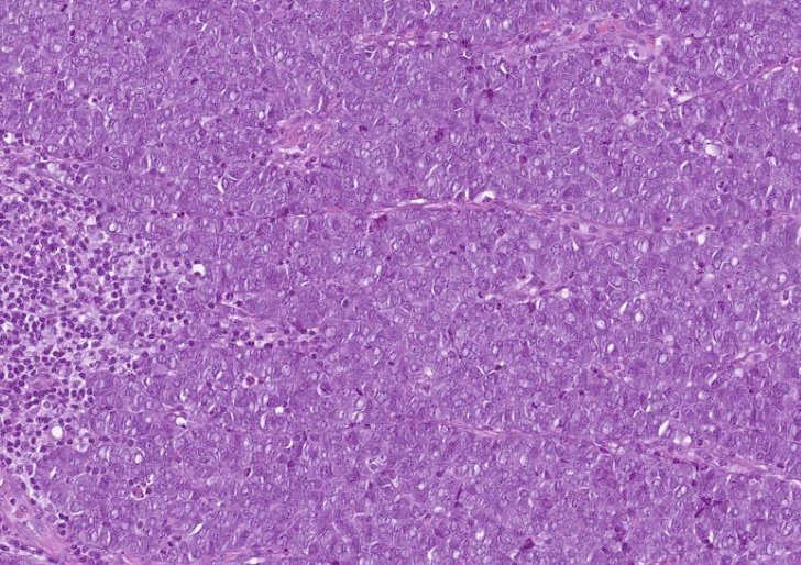
60s yo with brain mass. H&E and GFAP shown. Differential? Additional studies? Or are you brave enough to make a diagnosis? #neuropath #PathTwitter 🧠🔬
13
33
86
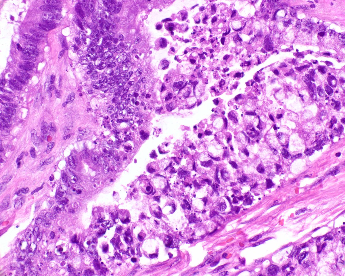
@Immanuel_Paul30
Immanuel Paul
3 years
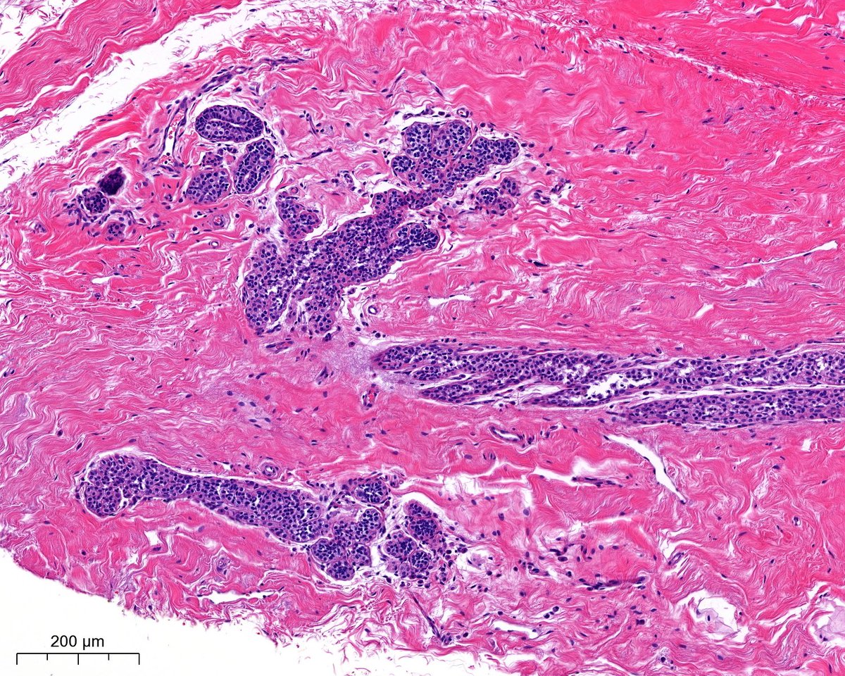
Back online after awhile! 1/M with a mandibular mass What’s the diagnosis ! #PathTwitter #bstpath #headandneckpath #pathresidents
8
52
107
@adelitasabio
Adela Sabio
3 years
I really like when immunostains work as they should: that lovely CK20 perinuclear dot-like staining pattern in Merkel Cell Carcinoma ❤️ #Dermpath #PathTwitter #Pathologist
0
23
75
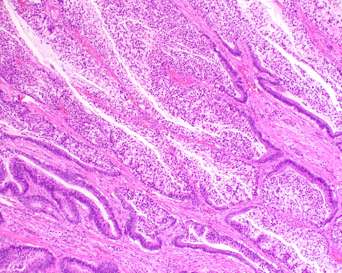
@MAHoureih
M Adib Houreih, M.D, DipRCPath محمد أديب حورية
4 years
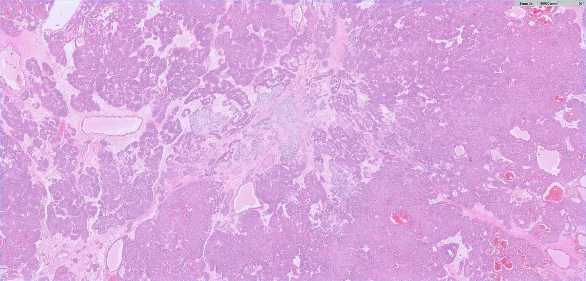
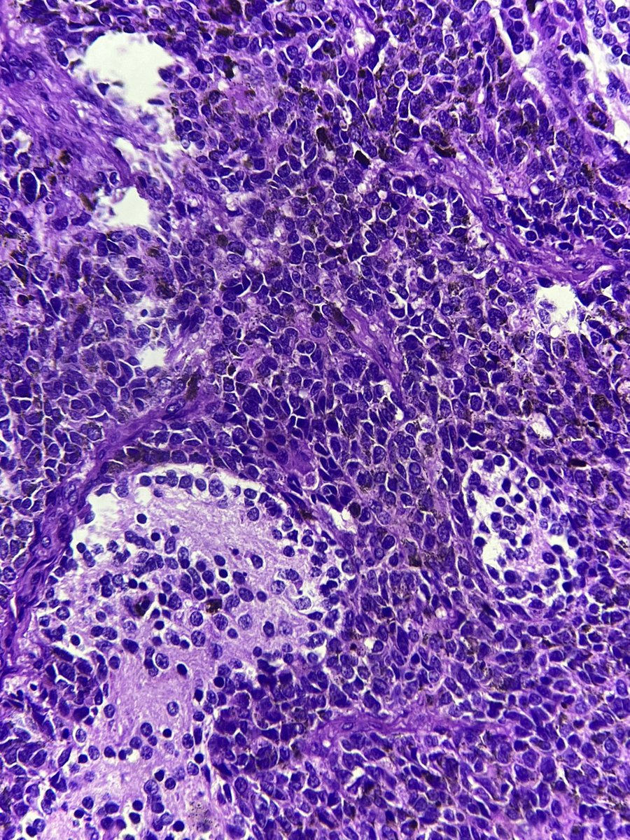
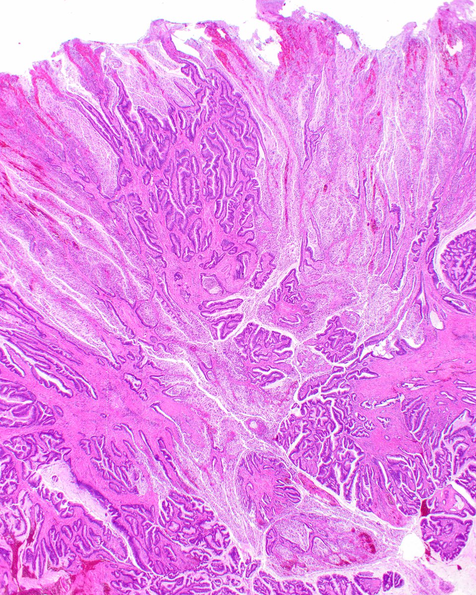
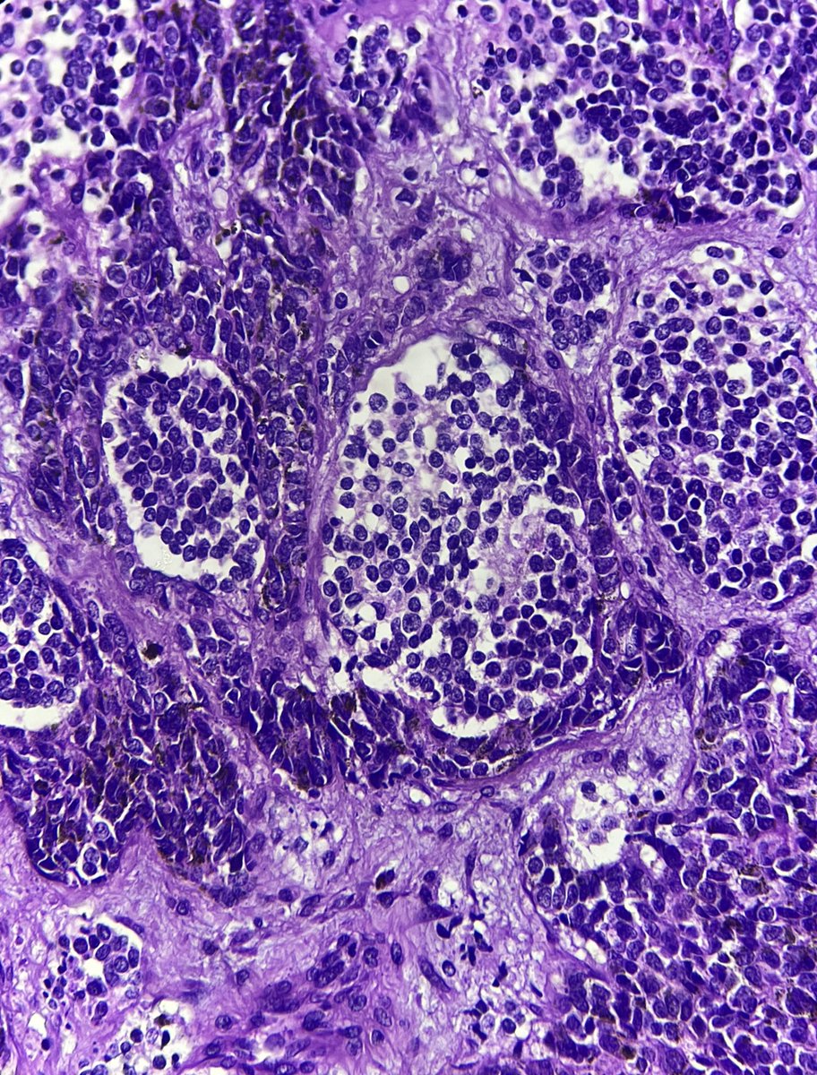
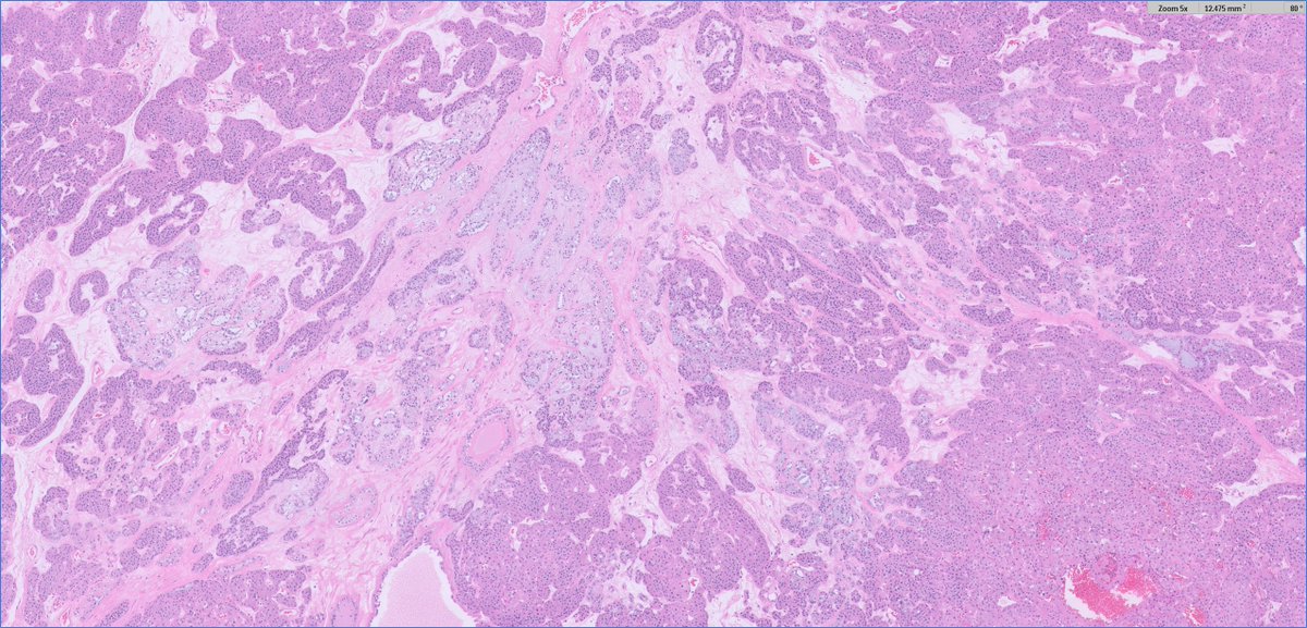
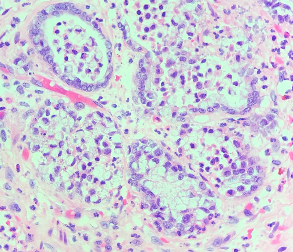
1/7 #GIpath 6th decade female. Very unusual case. Sigmoidectomy + Liver nodule excision. Dx: Neuroendocrine carcinoma with squamous differentiation vs. poorly differentiated colonic carcinoma with neuroendocrine and squamous differenitation!
9
65
141
@TaisiaVitkovski
Taisia Vitkovski
5 years
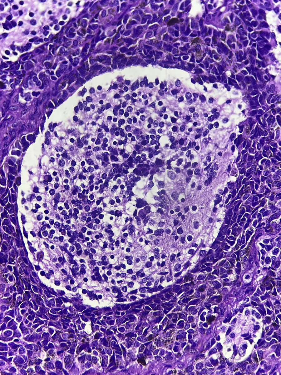
Oh me oh my 😱 what is happening in this gallbladder #GIpath
10
25
61