
Felipe Lopez-Ramirez
@FelipeLopezMD
Followers
138
Following
293
Media
6
Statuses
72
he/him | Universidad de los Andes π¨π΄ | M.D. & Bioengineer | #AI Radiology Researcher | Aspiring Diagnostic Radiologist β MATCH 2026 Applicant
Baltimore, MD
Joined April 2021
Honored to share that we have been awarded the annual Dr. Thomas Weber Colorectal Cancer Research Scholar Award for our presentation at #SSO2023. Thanks to @ColonCancerFdn for the award and @SocSurgOnc for the opportunity to present our work. @ArmandoSardiMD @VadimGushchin6
3
7
34
π What can an elevated pre-surgery #CRP tell about mucinous #AppendixCancer prognosis? Find out in the latest @ejsotweets publication by @ResearchSurgOnc team π©βπ¬π¨ββοΈ Kudos to my amazing co-authors! π πFull text: https://t.co/GGzXahsTr9
@VadimGushchin6 @ArmandoSardiMD
1
8
11
Professors Satomi Kawamoto and Professor Elliot K. Fishman (@ctisus), Associate Professor @LindaChuMD (@LindaChuMD), and Research Fellows Mohammad Yasrab and Juan Felipe Lopez-Ramirez (@FelipeLopezMD), presented an educational exhibit on βThe Challenges in the Detection and
0
2
6
#AudioVisualAbstract : Sufficient #RegionalLymphNode Examination for Staging #Adenocarcinoma of the #Appendix @FelipeLopezMD @VadimGushchin6 @ArmandoSardiMD @MaryCaitKing @ANikiforchin
https://t.co/nXjkeN9oJx
@DrPandalai
@SyedAAhmad5
0
10
10
Can #AI help clinicians revolutionize pancreatic cancer detection? Join @TrevorNoah as he explores how scientists from @hopkinsmedicine are harnessing the power of AI to enhance early detection, with the potential to save 30,000 lives each year. #ThePrompt @Hopkins_Rad
6
20
66
It was an honor to be interviewed on "The Prompt" with Trevor Noah for our work with Microsoft.Β In this episode, Dr. Fishman talks about The Felix Project (a Lustgarten initiative) and how they combine radiology with AI to detect pancreatic cancer in its resectable stages.
1
7
34
Sending special thanks to @acpmpresearch and @SocSurgOnc for the SSO/ACPMP travel award recognition and the great opportunity to present our findings on quality of life after #HIPEC at #ACT2024 π΅π·
0
3
18
Learn more π about the feasibility and postoperative outcomes of #HIPEC in the management of #ovariancancer patients with peritoneal metastasis from rare tumors in our new manuscript! πNow Ahead of Print in P&P @degruyter_pub
https://t.co/A4nisVbTlB
0
3
12
π Time to discover the power of teamwork in advanced #OvarianCancer management! π©ββοΈπ€π¨ββοΈ Our latest study in @ejsotweets breaks down what outcomes a multistep perioperative #collaboration of gynecological & surgical experts in CRS-#HIPEC can lead to: π https://t.co/iqzcXa5hK8
1
13
29
By leveraging the #NCDB, we analyzed the lymph node examination required to stage #AppendixCancer and explored how tumor biology influences diagnostic accuracy. For more details, check our latest publication from @AnnSurgOncol: https://t.co/HrXHdTnBP6
0
11
28
π’ Discover how our recent study on #AppendixCancer challenges the norm - using #NCDB we're rethinking lymph node evaluation for better diagnosis & treatment - https://t.co/Eb3ojvoYxA ποΈ β° Stay tuned for the main text in @AnnSurgOncol dropping soon!
0
7
13
November is #PancreaticCancer Awareness Month and we're proud to contribute by releasing a new #OncoWiki chapter ποΈ https://t.co/KIKSDWK8H3 A big shoutout to the authors, editors, #nenaprasno team, and our amazing donors for making this happen π Image: https://t.co/Q4LV1C0xk4
1
4
11
How can we use #AI to aid patient selection for major surgical procedures like #HIPEC ? Thanks to @PSOGI_EC for the opportunity to present our work! #PSOGI2023
1
4
25
Join me at the poster session in @PSOGI_EC congress 2023. Dr @ArmandoSardiMD and his insight on the technical surgical issues on PMP management. #PSOGI
0
5
23
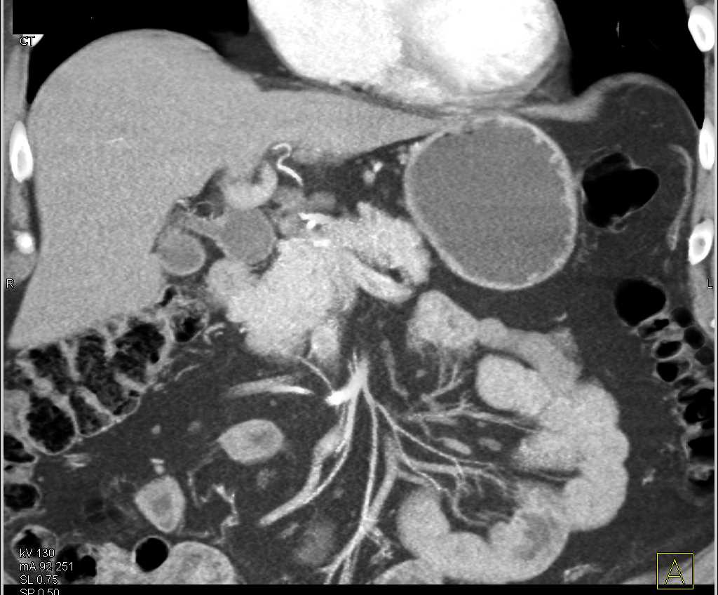
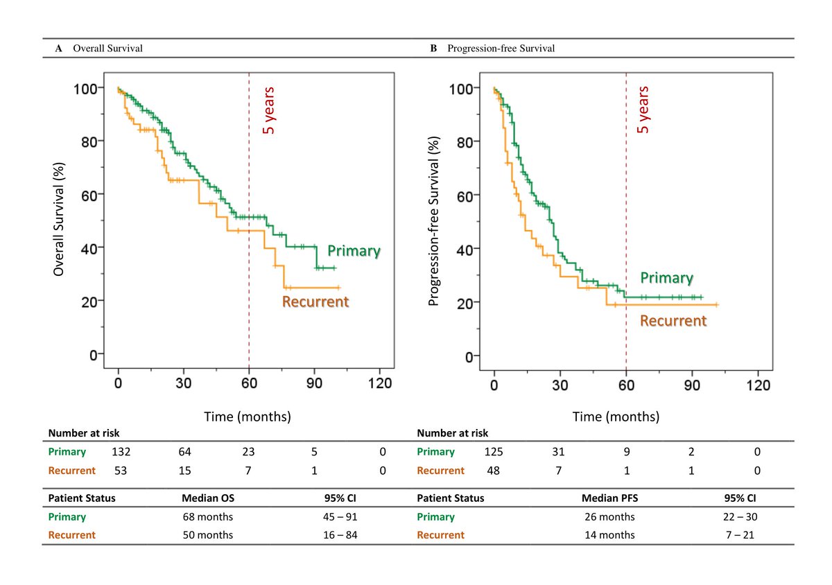
The wait is over! Our @ResearchSurgOnc team π§ββοΈπ©βπ¬ proudly presents the findings on #AppendixCancer recurrence after a complete CRS/#HIPEC π₯ Discover relapse patterns, histology influence, & other valuable insights in this must-read @AnnSurgOncol paper π https://t.co/hfTxBerzVV
πΌοΈJust unveiled: our ASO #VisualAbstract! Get a vibrant glimpse of our upcoming findings. Full paper in @AnnSurgOncol dropping soon! Hang tight π§ ASO VA link: https://t.co/agolM7oZh1
#AppendixCancer #HIPEC #CytoreductiveSurgery
1
14
25
πΌοΈJust unveiled: our ASO #VisualAbstract! Get a vibrant glimpse of our upcoming findings. Full paper in @AnnSurgOncol dropping soon! Hang tight π§ ASO VA link: https://t.co/agolM7oZh1
#AppendixCancer #HIPEC #CytoreductiveSurgery
π Final proofs sent to the publisher! Our in-depth paper on #AppendixCancer recurrence patterns after complete CRS/#HIPEC is landing soon in @AnnSurgOncol π Check out the #AuthorReflections teaser https://t.co/dpGThIjo8k & stay tuned for the full scoop π€
0
10
21
Immensely proud of my brilliant research buddies @FelipeLopezMD & @lfallazuniga! This October they'll be gracing @PSOGI_EC 2023 in Venice with their groundbreaking presentations! π Trust me, you don't wanna miss the chance to hear these outstanding guys in action! π₯ #PSOGI2023
1
4
17
Is CRS/#HIPEC a viable alternative for patients with advanced stage #ovarian carcinosarcoma? Check our work in the following link: https://t.co/FcCpQ7MkJE Thanks to @ejsotweets for publishing our work!
0
8
20