Dr_Ramon_Balius Profile Banner
Ramon Balius Profile
Ramon Balius

@Dr_Ramon_Balius

Followers
5K
Following
1K
Media
137
Statuses
1K

Born in 1960. Specialist in sports medicine, mainly in MSK ultrasound and clinical prognosis of injuries.

Joined March 2016
Don't wanna be here? Send us removal request.
@Dr_Ramon_Balius
Ramon Balius
7 years
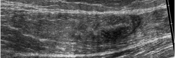
Happy to publish the complete Sonographic Landmarcks of the hamstring muscles. Thanks to @carlespedret @inigoiri for your help. https://t.co/A2P3yywuew https://t.co/WcFz9I7vl5
48
372
915
@javieryanguas
Javier Yanguas Leyes
11 months
Gracias @DrEsparzaRos por la confianza y la invitación a participar en una nueva edición del Máster de Traumatología Deportiva de la @UCAM Un placer compartir jornada con @Dr_Ramon_Balius y @akassarjian
0
2
5
@TeroJrvinen3
Tero Järvinen
10 months
@carlespedret The participation on this article was a huge honor: Thanks for @carlespedret @Dr_Ramon_Balius !
1
1
2
@r_Laus
Robert Laus
10 months
Aponeurosis & Fascia What's the (histological) difference? What's their relation to tendon & muscle? New paper, great read with some excellent reference papers to dig deeper into this subject. @carlespedret @Dr_Ramon_Balius , Jose pena-amaro,Tero Jarvinen https://t.co/8btDp65U4m
link.springer.com
Sports Medicine - Recent years have seen the development of various classifications of muscle injuries, primarily based on the topographic location within the bone-tendon–muscle chain. This...
0
6
15
@TeroJrvinen3
Tero Järvinen
10 months
I am happy to share our article published in the Sports Medicine. We define the different connective tissue structures in the skeletal muscle and their importance for injuries in sports! https://t.co/97eS5fMLAx Huge thanks to @carlespedret @Dr_Ramon_Balius
link.springer.com
Sports Medicine - Recent years have seen the development of various classifications of muscle injuries, primarily based on the topographic location within the bone-tendon–muscle chain. This...
0
3
17
@ResearchTauh
TAUH MSK, Hand & Plastic Surgery Research
10 months
happy to share our article published in the Sports Medicine. We define the different connective tissue structures in the skeletal muscle and their importance for injuries in sports! https://t.co/BPyor49KWo Huge thanks to @carlespedret @Dr_Ramon_Balius for collaboration
link.springer.com
Sports Medicine - Recent years have seen the development of various classifications of muscle injuries, primarily based on the topographic location within the bone-tendon–muscle chain. This...
0
2
4
@IsernKebschull
Jaime Isern Kebschull
1 year
Did you know you can assess muscle synchronization using dynamic MRI sequences? Injuries types 1, 2A, and 3 often display synchronized movement ⚽️🏐🎾🥎 Check out this video of a type 1 medial gastrocnemius injury case! 👀 Want to learn more? 👇🏻 https://t.co/yifCqEwSc8
2
11
26
@drperemir
Dr Pere Mir
1 year
@AdriSirio @TraumaBerga @Dr_Ramon_Balius El año que viene vamos juntos!!!
1
1
2
@DrAleksiJokela
Aleksi Jokela
1 year
Published today in @OJSM_SportsMed ! MRI in hip flexion offers additional value in the diagnosis of proximal hamstring tendinopathy. Thanks for the co-authors @DocXValle @PrunaDoc @carlespedret @Dr_Ramon_Balius and others. Read the article here: https://t.co/v0EKpwqpLN
1
6
8
@agmendes_physio
André Mendes
1 year
⬇️⬇️⬇️
0
3
4
@agmendes_physio
André Mendes
1 year
Why do some injuries tend to develop differently? During my experience with this type of injury, I've often had cases where the injury seemed more serious and the progression seemed to be different from what I expected. My research led me to the studies of @carlespedret . The
1
22
78
@PhysioButler
Stuart Butler
1 year
And to finish up the day @carlespedret scanning Rectus Femoris with possibly the biggest second screen ever seen in POCUS 📺 !!! #SMC2024 @CMyersPhysio @SportsMedConf @SMUGcourses
0
2
23
@inigoiri
Iñigo Iriarte Posse
1 year
Trabajando en mis charlas para el Curso de Ecografía ARS 2024. Como muestra, aquí os dejo una imagen del ligamento peroneoastragalino anterior en una visión anterior Nos vemos en el curso ARS!
4
12
83
@Aspetar
Aspetar سبيتار
1 year
Key Ultrasound Findings in Thigh Muscle Injuries 🩺🦵 with Dr. Iñigo Iriarte. Summarizing crucial features for accurate diagnosis. #AspetarIRC24 🔗 Meet in Doha 👉 https://t.co/aCISsnIiMc
0
5
14
@inigoiri
Iñigo Iriarte Posse
1 year
El Dr. Saiz y yo tendremos el honor de impartir este curso de Intervencionismo ecoguiado en Perú. El formato será fantástico: únicamente dos grupos reducidos y posibilidad de realizar infiltraciones con pacientes reales. No es fácil encontrar cursos así.
1
5
26
@carlespedret
carlespedret
2 years
I can't imagine a better way to start to publish in 2024 than with a @BJSM_BMJ paper. @mechomeca @Dr_Ramon_Balius @DrGulraizAhmad 🥂 And the best is yet to come... always forward! 💪🏻 https://t.co/lPVywyQaAO
2
4
38
@SETRADEORG
SETRADE (Soc.Esp. de Traumatología del Deporte)
2 years
🔵PROGRAMA🔵 🔶MESA 1: ISQUISURALES (9h) Modera: @AlvarezRey_Dr · ANATOMÍA RADIOLÓGICA (US/RM) Y CLASIFICACIÓN (BAMIC) Eva Llopis · TRATAMIENTO QUIRÚRGICO ¿CÓMO USO LA IMAGEN? Jordi Puigdellívol · RECUPERACIÓN - RTP: VALOR DE LA IMAGEN Telmo Firmino
@SETRADEORG
SETRADE (Soc.Esp. de Traumatología del Deporte)
2 years
🔵ABRIMOS INSCRIPCIONES IV JORNADA NACIONAL SETRADE🔵 Si en tu especialidad estás implicado en la lesión MSK, ¡este es tu foro de interés para 2024! 🗓️5/04/24 📍Pamplona 👉🏻Tarifa especial socios SETRADE y @MskSerme ¡Plazas limitadas!📲 https://t.co/FEOg9kmKEj
1
2
3
@MskSerme
SERME
2 years
IV JORNADA NACIONAL SETRADE Si en tu especialidad estás implicado en la lesión MSK, ¡este es tu foro de interés para 2024! 🗓️5/04/24 📍Pamplona 👉🏻Tarifa especial socios SETRADE y @MskSerme ¡Plazas limitadas! 👇🏻👇🏻👇🏻 https://t.co/FYu2v0oPoC
1
3
12
@SETRADEORG
SETRADE (Soc.Esp. de Traumatología del Deporte)
2 years
🔶MESA 5: TENDINOPATÍA ROTULIANA Modera: @tomasfernandezj · ANATOMÍA RADIOLÓGICA (US/RM) @Dr_Ramon_Balius · RECUPERACIÓN-RTP: VALOR DE LA IMAGEN Igor Setuain · TRATAMIENTO QUIRÚRGICO, ¿CÓMO USO LA IMAGEN? @ardevol_jordi
1
2
4
@Dr_Ramon_Balius
Ramon Balius
2 years
Desde @clinicadiagonal con muchas ganas de ver a mis amigos de la @MskSerme y de la @SERAM_RX
0
2
6
@carlespedret
carlespedret
2 years
Do you need a special gift for someone special? 👇🏻👇🏻 https://t.co/MDSBXJhACM
0
5
18