Dhruv15Patel Profile Banner
Dhruv Patel MBBS FRANZCR Profile
Dhruv Patel MBBS FRANZCR

@Dhruv15Patel

Followers
738
Following
1K
Media
24
Statuses
285

Interventional Radiology Fellow @CCFIR_ED. Love ๐Ÿ Cricket! ๐Ÿ‡ฎ๐Ÿ‡ณ ๐Ÿ‡ฆ๐Ÿ‡บ

Cleveland, USA
Joined November 2013
Don't wanna be here? Send us removal request.
#ScratchTheCortexWithRajanJain A unique new venture organized by @thecortexclub in #collaboration with @CoolAsANeuroRad to teach and mentor #radres and #neuroradiology learners the strategy to tackle real-life clinical cases. In its true #international spirit @thecortexclub has
2
21
40
@Dhruv15Patel
Dhruv Patel MBBS FRANZCR
3 years
See who I bumped into at AKL airport! What a humble man, just how you went about piling runs and breaking records @RossLTaylor. Inspiration to a whole new generation of young cricketers. Thank you so much. PS I never realised how tall you are watching you on TV.
0
0
8
@Dhruv15Patel
Dhruv Patel MBBS FRANZCR
3 years
Haempotysis pt, you're abt to start bronchial art embolisation. But you spot something "fishy" in trachea on the CT. Resp team gets portable bronchoscope in IR angio suite! Yoohoo..doesn't need embolisation anymore. More people gathered to watch this than our embolisation!
0
0
7
#MCWNeuroradBTW 092Ans:Hemangioblastoma #TeachingMoment on DD of Cyst w/ mural nodule Thanks @drSurjthVattoth for NCC image Don't forget @thecortexclub webinar at 11AM Central time TODAY by @RamVaidhyanath! @aaronrutman @AwanRad @TheASNR @BSHNI_UK @ESNRad @ShivaprakashBH4
3
43
105
@Dhruv15Patel
Dhruv Patel MBBS FRANZCR
3 years
Miracle! Dedicated Thyroid US with no nodule seen. I thought I was never gonna see this day!!!
1
0
7
@Dhruv15Patel
Dhruv Patel MBBS FRANZCR
3 years
So difficult to say good bye to a colleague & friend. Can't stop thinking about the time spent with him, battles we fought side by side - be it ED's unreasonable request, the long reporting lists or exams. You will be missed, Adrian. Cheers to ur @RANZCRcollege Fellowship mate!
0
0
6
@samrad77
Sameer Raniga
3 years
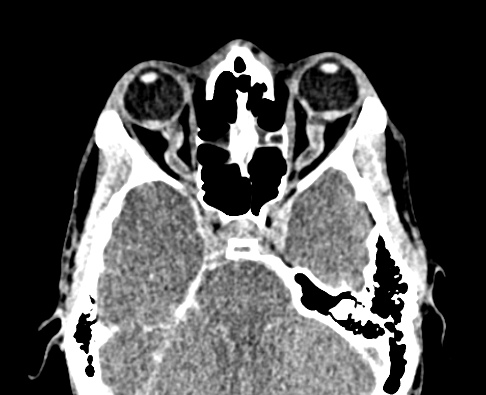
Massive SAH. What is going on in optic nerve sheath and globe? Lets take a poll.. @SRT @TheASNR
10
7
51
#MCWNeuroradBTW 081: CJD Did not post a quiz this Monday but here is an interesting case with #TeachingMoment on rapid cognitive decline #FOAMed #radres #MedEd @TheASNR @ARRS_Radiology @BSHNI_UK @ESNRad @BshniTrainees @ESHNRSociety @bdoop3210 @MCWNeurorad @AwanRad @aaronrutman
6
56
143
@Dhruv15Patel
Dhruv Patel MBBS FRANZCR
3 years
Just paid a plumber $800 for a 45 min job. #MedTwitter, please tell me I am not in a wrong business! In fact, I will pay another $800 to whoever convinces me!
4
0
8
@Dhruv15Patel
Dhruv Patel MBBS FRANZCR
3 years
"Intradural Small Bowel Herniation." ED and NeuroSx going "what??..that can't be true..must be a typo"
2
0
4
@Dhruv15Patel
Dhruv Patel MBBS FRANZCR
4 years
#radres This is gem! Thank you @aaronrutman
@aaronrutman
Aaron Rutman, MD
4 years
Pterygopalatine fossa๐Ÿงต- inspired by ?s from med students in neuroanatomy lab & a resident w/ case of perineural tumor spread on same day! #meded #FOAMrad #medtwitter #medstudents #radiology #neurorad #HNrad #radres #neurology #ENT #temporalbone #neurosurgery #neuroanatomy 1/22
1
1
7
@fazalabul
kazi ferdous
4 years
๐Ÿ‘ฉโ€๐Ÿฆฐ20 y. Started exercises in the gym 3 weeks ago, now she has pain and edema in her right arm.
48
375
2K
@Dhruv15Patel
Dhruv Patel MBBS FRANZCR
4 years
Uncommon presentation of not so uncommon pathology! SBO due to Tubo-Ovarian Abscess. Intra Op findings - distal ileum adhered to the right TOA. @mharisinghani is it common for TOA to cause SBO? #radres #MedTwitter #obgyntwitter #gensurg #radiology
2
13
84
@Dhruv15Patel
Dhruv Patel MBBS FRANZCR
4 years
Congratulations to all #futureradres who have matched into #Radiology. Welcome to the best specialty! But more importantly, for those who haven't YET; remember, this race is not over until you win! Get back on the horse, show them what you're made off. #perseverance #Match2022
0
0
8
@Dhruv15Patel
Dhruv Patel MBBS FRANZCR
4 years
Just one word.. Respect! #Ukraine Ukraine president says "I need ammunition, not a ride" as he rejects evacuation
Tweet card summary image
mirror.co.uk
President Volodymyr Zelensky has allegedly refused President Joe Biden's offer of safe passage out of his country, as Russian forces moved in to take the Ukrainian capital
0
0
1
@Dhruv15Patel
Dhruv Patel MBBS FRANZCR
4 years
Once again extremely humbled by @MohitAgNeurorad and @MCWNeurorad 's gesture. I could not attend the RSNA 2021 so told him I will collect the plaque next year. Instead..they shipped it me all the way across the pacific! Thank you very very much. #TheCortexClub
4
2
20
@SidTavri
Sidhartha Tavri, MBBS DABR FSIR
4 years
Merry Christmas and Happy Holidays from your neighborhood IR Santa. We are here for you and we tend to find a way to reach you- always!
2
5
52